病例荟萃第二期|王勉:Telescope™导引延长导管在前降支CTO中的应用一例

王勉 四川大学华西医院


简要病史


患者,女,72岁。

主诉:反复胸闷、胸痛5年,心累1年。

LV 56    EF 38%。


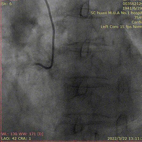
冠脉造影

造影说明:前降支开口重度狭窄,近段闭塞,入口不清,闭塞段长,走形不清。自身可见桥侧支形成,远端血管细小。

造影说明:右冠近段中度狭窄,向前降支无明显侧枝。

手术策略和器械选择

手术策略:前降支近段闭塞,扭曲伴钙化,闭塞段走形不清,右冠无侧枝供血前降支。可见自身侧枝循环,远端血管细小。首先考虑正向,必要时IVUS指导,选择亲水导丝,避免选择穿刺导丝。如果正向导丝重回真腔困难,可考虑ADR。

介入经过及结果

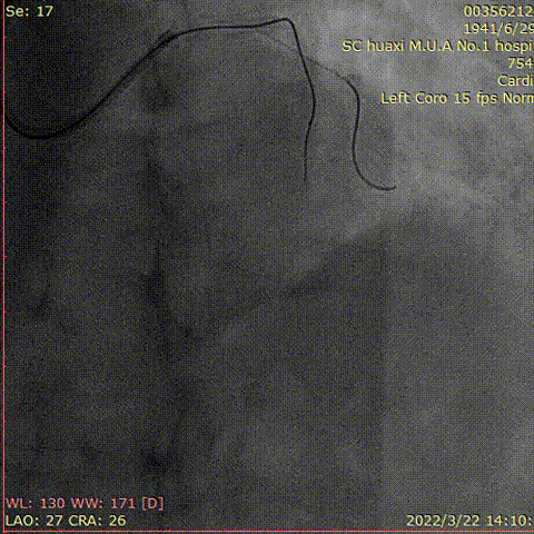
说明:XB3.0指引导管,Finecross微导管,XTR,XTA导丝反复调整,导丝进入闭塞段,前进阻力大,考虑在内膜下。

说明:先后使用XTA,Pilot200,导丝仍在内膜下。

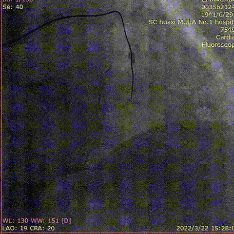
说明:IVUS确定真腔入口,XTA导丝进入,Pilot200,CP穿刺,仍在假腔。

说明:多体位确定导丝与真腔的关系,2.0球囊扩张近段,交换为ADR球囊。

说明:CP穿刺成功,交换为工作导丝,2.5球囊扩张前降支。

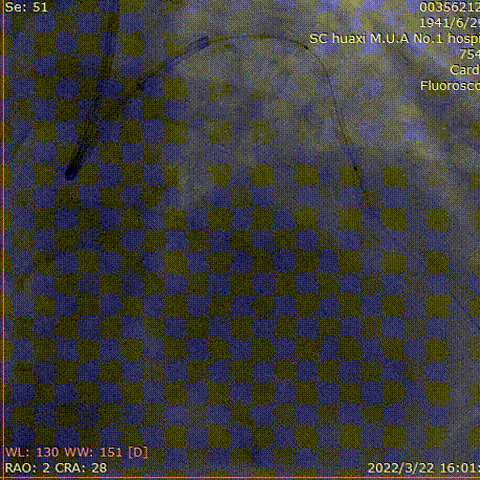
说明:高压球囊扩张后,支架仍无法通过,2.5预扩球囊锚定,送入Telescope™导引延长导管到前降支中远段。

说明:沿Telescope™导引延长导管输送支架。

说明:评估前降支开口及左主干病变,球囊拘禁对角支,植入左主干到前降支支架。

说明:最后造影结果。

Telescope™操作体会

1.Telescope™管身柔软顺滑,通过性好。

2.连接处结合紧宻,支架易通过。

3.支撑力强,输送器械方便。

专家介绍

-  王勉  -

四川大学华西医院

医学硕士。四川大学华西医院心内科副教授。中华医学会代谢学组委员,国家冠心病介入培训基地导师,中国医师协会女医师工作组委员,中国胸痛中心飞检专家,成都市医学会冠脉学组秘书,四川省康复医学会心血管专委会委员,四川省医学促进会心血管专委会委员,四川省心血管质控中心质控专家。从事心内科临床工作20年,具丰富临床经验。擅长各种心血管疑难重症的诊治以及复杂冠脉病变的介入治疗,熟练掌握CTO介入,钙化病变旋磨,血管内超声等介入技术。

长按二维码关注“一脉同行”

阅读数: 1484