浙江邵逸夫医院心外科团队完成二尖瓣人工瓣膜衰败后经心尖瓣中瓣治疗手术

二尖瓣瓣中瓣手术最初是通过心尖入路实施,随着TAVR技术的发展,经股静脉穿房间隔入路的尝试也逐渐增多,但目前来看经心尖入路仍然是相对更合适的,因该路径距离短、易操作、定位准、同轴性好等优势大大降低瓣膜移位的风险。

近日,浙江大学医学院附属邵逸夫医院钱希明教授所带领的心外科团队成功为一位高龄二尖瓣人工瓣衰败患者通过经心尖入路的瓣中瓣TMVR-VIV治疗方式完成救治,在手术策略充分的准备和影像学辅助指导下,手术过程顺利,患者即刻获益。

患者情况

患者70岁女性,十年前接受二尖瓣生物瓣置换+三尖瓣成形+射频消融术,近期无诱因下出现胸闷气急,经心脏彩超提示:二尖瓣人工瓣流速偏快、跨瓣压差稍增高;三尖瓣成形术后轻度反流伴轻度肺动脉高压,肺动脉增宽;升主动脉增宽;轻度主动脉反流,双房增大,心率不齐。胸部CT显示:心脏术后,全心增大,主肺动脉增宽,两肺渗出伴间质增厚,右侧叶间裂积液,两侧少量胸水,提示间质性肺水肿。

影像评估

1. 二尖瓣生物瓣换瓣术后:原生物瓣金属环周长折算内径26.5mm,外径30.5mm(金属环存在重建错位),瓣架高度20.6mm;

2. AV-MV double S curve :RAO 42°/ CAU 47°,此角度为二尖瓣主动脉瓣最佳观察位;

3. 左心室和二尖瓣轴线角度:146°;

4. 主动脉与二尖瓣角度:133°;

5. 术中最佳投射角度:RAO 37° / CRA 20°;

6. 左室大小:80.2*47.0*39.5mm。

生物瓣金属环周长折算内径26.5mm,外径30.5mm

术中最佳投射角度:RAO 37° / CRA 20°

主动脉与二尖瓣角度:133°

经心尖同轴性良好

手术策略

经心尖植入一枚#25J-Valve瓣膜,需注意术中可能出现定位件入窦困难问题。

手术过程

DSA引导下定位心尖,心尖穿刺后置入泥鳅导丝及导管。利用导丝导管配合,穿过二尖瓣生物瓣。通过二尖瓣后置换加硬导丝。沿加硬导丝,置入J-Valve植入器。

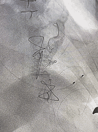
术中,术者可以通过观察定位件跳动的形态判断瓣膜位置,同时可以清晰感觉到力的反馈。经过几次调试,定位件稳稳锚定原瓣架,可看到三个定位件随着心脏搏动而自然摆动。确定好位置后释放瓣膜,锁丝脱钩,瓣膜与植入器完全分离。观察瓣周漏与瓣膜形态,经食管超声心动图显示瓣膜位置合适,形态良好,无瓣周漏和反流。

总结

心脏二尖瓣置换是心脏外科手术最常见术式之一,随着中国社会老龄化进展和患者生活质量要求不断提高,二尖瓣生物瓣患者比例越来越多,在欧美国家生物瓣比例已经占到80%。生物瓣患者都会面临多年后的生物瓣毁损和再次手术问题,而往往这些高龄患者很多体制虚弱或合并多脏器功能不全,再次体外循环开胸心脏停跳手术会面临手术时间长、创伤大、恢复慢,死亡率和并发症风险高,因此以往很多老年生物瓣毁损患者只能进行保守治疗,失去了再次手术的机会。

而近年来微创介入瓣膜技术的迅速发展给这些老年和复杂重症患者提供了再生的机会。目前J-Valve在全球应用于TMVR-VIV的治疗已趋于成熟,独特的设计优势保障其临床表现安全有效:定位件可将原来的瓣叶压低,降低LVOT梗阻发生率;无需oversize,短瓣架,不阻挡流出道;直径小,传导阻滞发生率低;有定位件保护,植入位置可以更深入左房,为LVOT留出空间。

浙江大学医学院附属邵逸夫医院心脏大血管外科钱希明教授筹建了浙江省第一个用于微创介入治疗的杂交手术室,为省内外病人提供有特色的心脏大血管疾病微创和介入治疗服务。在冠心病、瓣膜病、先心病、大血管疾病外科治疗及心脏移植手术等领域一直居国内先进或浙江省领先水平。同时,在国内率先开展无输血孙氏手术、尿毒症患者冠状动脉搭桥手术、肺癌根治食管癌根治和冠状动脉搭桥同期手术;在浙江省内率先开展胸腔镜下微创心脏手术、心血管疾病杂交手术。目前在心脏单器官移植手术上目前仍然保持100%成功率。 

专家简介

钱希明

浙江大学医学院附属邵逸夫医院

心外科主任,心脏中心主任;亚洲瓣膜病协会中国医院学会心脏瓣膜病学专业委员会常委;中国医师协会器官移植医师分会委员国家心血管病专家委员会微创心血管外科专业委员会委员;国家科技信息资源综合利用与公共服务中心心脏外科大数据联合实验室专家委员会委员;中国医药教育协会心脏外科专业委员会导师;中国医学救援协会心血管急救分会理事;中国医师协会腔内血管专业委员会心脏瓣膜疾病专业委员会委员;浙江省医学会医学鉴定专家;浙江省医师协会心血管分会副会长;中华医学会浙江省胸心外科分会常委。

阅读数: 2184