邵逸夫傅国胜教授团队成功完成首例二尖瓣广泛脱垂MitraClip™手术

2022年08月04日,浙江大学医学院附属邵逸夫医院傅国胜教授率领心脏瓣膜介入团队,使用雅培经导管二尖瓣夹及可操控导引导管系统MitraClip™,成功为一例二尖瓣关闭不全伴重度反流的患者实施了经导管二尖瓣缘对缘修复手术。在麻醉科、超声影像团队、心脏重症监护室、介入护理团队等多学科的共同协助配合下,手术顺利完成。患者术后即刻效果显著,术毕即刻拔管,术后三天即出院。

术前排气准备

患者病史

此次手术的患者为一名76岁的老年女性,因“反复胸闷气急不适1年加重”门诊检查。患者10年高血压史,一年前无诱因出现胸闷气急不适,活动后明显,持续数分钟后缓解。当时未予重视,后症状反复,未见明显好转。入院后行经胸超声发现二尖瓣后叶脱垂伴腱索断裂,重度关闭不全。进一步诊疗,拟“二尖瓣重度关闭不全”入院。

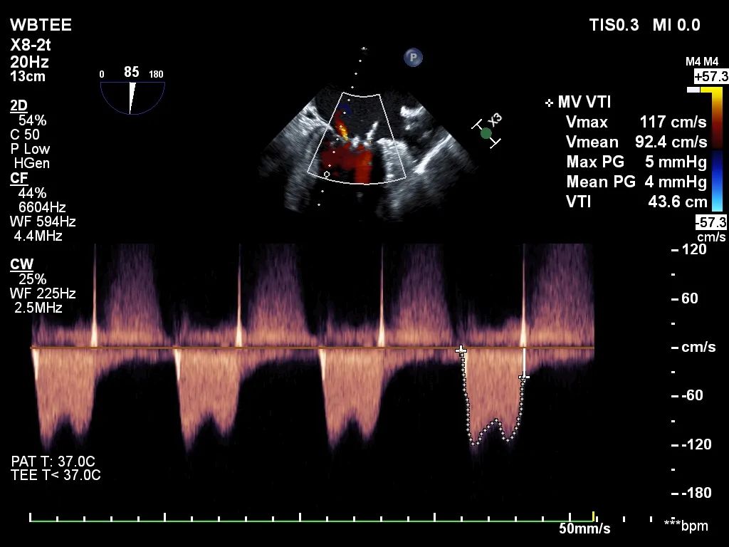
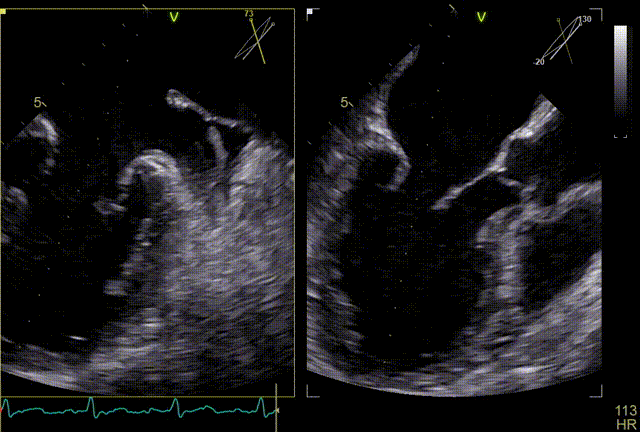
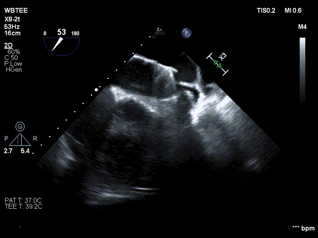
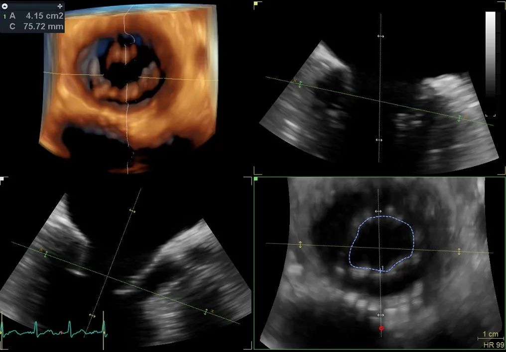
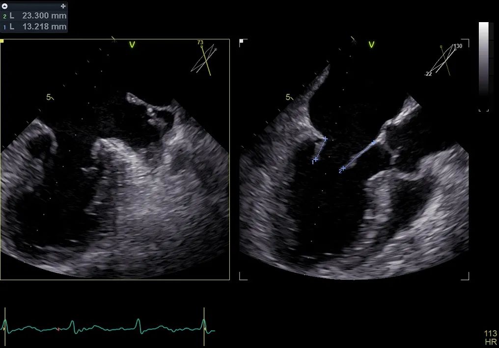
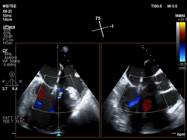
术前行经食道超声评估

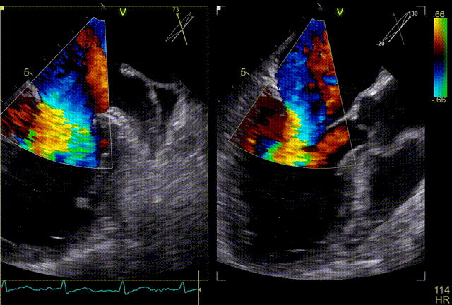
原发性二尖瓣反流,反流程度4+;二尖瓣瓣口面积4.15cm²,平均跨瓣压差5mmHg,二尖瓣前叶(A2)长度23.35mm,二尖瓣后叶长度(P2)长度13.2mm;左室射血分数67%。患者手术风险高,操作难度大,经心脏瓣膜团队多次充分讨论评估后,决定行经导管二尖瓣缘对缘修复治疗。

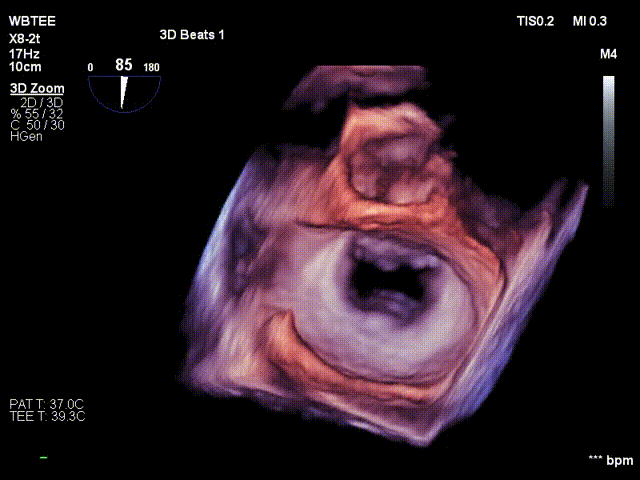
术前MDT策略:从解剖结构来看二尖瓣后叶脱垂伴连枷涉及整个2区,累及3区和1区,宽度15mm左右,且连枷高度甩起高度有7-8mm,可见长达10.4mm的飘样回声,术前策略预计使用两个二尖瓣夹,较小的二尖瓣口面积和较高平均跨瓣压差,是一次高难度的挑战。

手术过程

患者全身麻醉消毒铺巾后,建立右侧股静脉入路,在经食道超声指导下精准穿刺房间隔。将可操控导引导管和二尖瓣夹XTR输送系统送入左心房

标准房间隔穿刺

XTR进入左心房

置入SGC系统

调整二尖瓣夹轨迹和方向,使其轨迹垂直于二尖瓣环平面且指向心尖,定位于二尖瓣2区且6-12点钟方位

XTR弹道轨迹测试

XTR定位12-6点

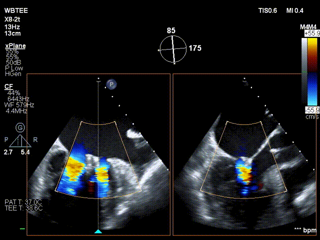
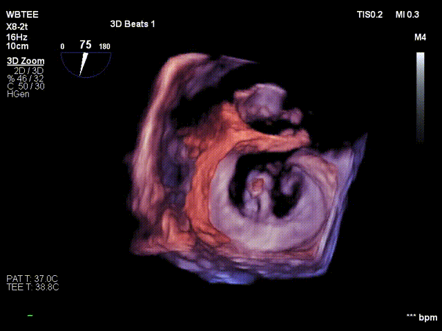
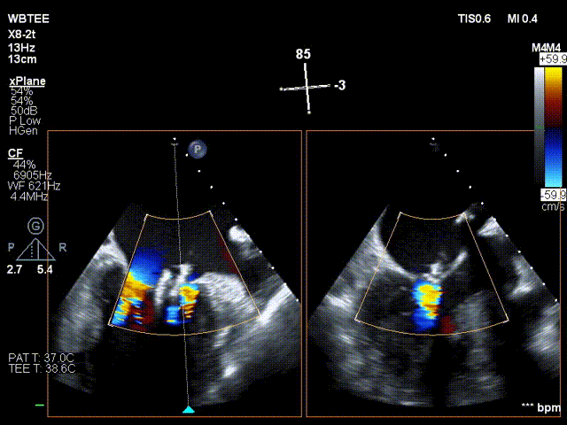
在食道超声王蓓主任的紧密配合下,经食道超声引导后傅国胜教授使用二尖瓣夹准确成功捕获前叶A2和后叶P2反流最严重区域,并予夹合,使二尖瓣在收缩期由大的单孔变成小的双孔,显著减少了二尖瓣反流。

捕捞瓣叶

夹持瓣叶并关紧夹臂

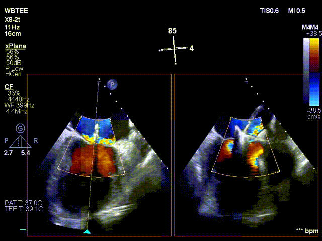
反复测试二尖瓣钳夹的稳定性,超声复查提示二尖瓣夹内侧反流有效改善,外侧仍有部分反流,平均跨瓣压差2mmHg,肺静脉收缩期逆流频谱恢复正向,傅国胜教授团队与超声影像团队充分沟通讨论,计划在二尖瓣夹外侧再置入第二枚二尖瓣夹,遂精准释放第一个二尖瓣夹。

傅国胜教授继续在食道超声影像引导下进行高难度操作,在第一个二尖瓣夹外侧再置入第二枚二尖瓣夹NTR。

再次反复测试第二枚二尖瓣钳夹的稳定性,超声复查提示二尖瓣反流明显改善,平均跨瓣压差4mmHg。

术后点评

傅国胜教授:

简便安全,精准优效

傅国胜教授评价道:“该病例为高难度的原发性二尖瓣反流患者,二尖瓣脱垂伴连枷范围广,二尖瓣口面积小及平均跨瓣压差高,有很大手术挑战,MitraClip™经导管二尖瓣夹的结果令人非常满意。


俞飞成教授:

操控顺滑,精准施夹

俞飞成教授评价道:“MitraClip™对于二尖瓣关闭不全的治疗有了新的选择,无需开胸、创伤小、手术时间短、无需体外循环支持、手术安全性高、术后恢复快,可用于心功能严受损、全身情况较差的高危患者。

二尖瓣反流(MR)是全球范围内最常见的心脏瓣膜疾病。当二尖瓣无法充分闭合,导致左心室收缩时血液回流进左心房,出现二尖瓣反流。患者存在各种衰弱症状,如呼吸短促、心悸、头晕和疲劳。这些患者面临生活质量差、活动明显受限、因心力衰竭反复住院和死亡率增加等风险。MitraClip™系统是一种基于外科缘对缘修补技术的经导管治疗系统,也是首款获准上市的基于导管的二尖瓣治疗器械。

该技术对患者症状的近远期改善效果在全世界已经有了充分的临床证据,使更多的高危患者具备了手术条件,值得推广和普及。

专家简介

傅国胜

浙江大学医学院附属邵逸夫医院

留德医学博士、教授、主任医师、博士研究生导师。

担任浙江省医学会心血管分会主任委员,浙江省心血管介入与再生修复研究重点实验室主任,浙江省医学重点学科心血管再生医学创新学科带头人,浙江省卒中学会副会长,心血管病学分会主任委员,浙江大学心血管研究所副所长,中华医学会心血管病学会委员会委员,心血管病影像学组副组长,中国医师协会心血管内科医师分会常务委员,冠心病介入专业委员会副主任委员,中国医疗保健国际交流促进会心血管健康医学分会副主任委员,浙江大学“求是”特聘医师。

第一完成人获2015年度浙江省科技进步一等奖1项,2000年度浙江省科技进步奖二等奖1项,主/副主编学术专著5部,获发明专利5项,培养硕/博研究生90余人,发表SCI论文120余篇。

王蓓

浙江大学医学院附属邵逸夫医院

浙江大学医学院附属邵逸夫医院超声科;浙江省超声医学工程学会心脏超声委员会常务委员;
浙江省胎儿心超诊断技术指导中心副主任委员;浙江省医学会超声分会心脏学组委员;浙江省医学会超声分会小儿学组委员;浙江省医学会心血管病分会第八届委员会心脏瓣膜病学组委员;浙江省医学会呼吸系病分会肺血管联盟委员;中国医药教育协会重症超声学组委员;浙江省医学会小儿外科学分会完全性大血管转位协作组委员、秘书;浙江省数理学会心脏大血管超声委员会委员;浙江省数理医学学会精准超声介入与智能诊断专业委员会委员;
专业方向:超声心动图、经食管超声心动图、胎儿超声心动图检查与诊断,心脏声学造影,各类心脏手术的术前、术中、术后及长期随访的心超检查与评估。

阅读数: 4032