
由浙江省医学会、浙江大学医学院附属邵逸夫医院共同举办的“2022西子心血管联席会议(XIZI-JCC)”于2022年8月5日-7日在杭州隆重举办。在8月6日上午的冠心病介入论坛(手术演示)环节,来自浙江大学医学院附属邵逸夫医院的高静主任进行了使用冲击波球囊处理冠状动脉粥样硬化性心脏病患者前降支钙化的直播手术。
患者为老年女性,因反复胸闷一年入院,既往有高血压病史。一个月前造影指示前降支及右冠均有明显狭窄及钙化,之前已处理过右冠病变,此次手术主要处理前降支钙化及狭窄病变。
当日直播手术中行IVUS检查,提示患者前降支全程弥漫性钙化伴狭窄,近中段最重85%-90%狭窄、360度钙化、严重钙化病变长度32mm。由于钙化长度长、钙化非常严重、患者高龄、病变局部有扭曲、且钙化环管腔残余直径达2mm,都增加了手术的难度和风险,传统的钙化处理工具已经无法解决,所以高静主任选择用最新的冲击波球囊处理钙化病变。
术前造影指示 前降支近、中段严重钙化及狭窄
术前IVUS 下可见360度钙化环
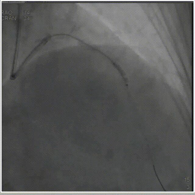
手术过程中,经2.0mm*15mm 球囊预扩前降支近、中段病变后,使用谱创医疗Sonico-CX 2.5mm*12mm 冲击波球囊置入前降支病变处,先后触发60次冲击波(6个周期,每个周期分别以4 atm 激发冲击波,再以8 atm 扩张成形)实施钙化斑块碎裂术,DSA下可见随着冲击波释放,球囊形状慢慢扩张。谱创医疗Sonico-CX冲击波球囊处理后复查IVUS,显示原钙化环断裂。经过充分的冲击波球囊预处理后,因钙化环得到松解,为进一步扩大管腔面积,用2.5mm *15mm高压球囊进一步扩开前降支近、中段病变,最后顺利放入药物洗脱支架。复查IVUS显示支架膨胀完全、贴壁良好,支架两端未见夹层及血肿,残余狭窄0%,复查造影显示远端血流通畅。
使用冲击波球囊处理中
钙化环被冲击波打断
支架植入后造影
支架膨胀完全、贴壁良好,残余狭窄0%
术后点评环节,各专家对冲击波球囊处理钙化病变效果均给予了充分肯定。钙化病变作为冠脉介入最难攻破的难题,目前并没有完全满意的解决方法。而冲击波球囊因其效果明显、操作简便、安全性高的特点,为医生提供了冠脉介入治疗钙化病变的又一把有利武器!
点击视频观看更多手术详情
关于谱创医疗
谱创医疗科技(上海)有限公司成立于2019年3月,由在心血管器械领域深耕多年的归国华侨所创办,总部位于上海,是一家专注于心脏和泛血管有源微创介入技术的平台型创新医疗科技企业。公司以尖端科技驱动医疗创新、提高生命质量为使命,以成为具有国际视野的医疗科技创新者为愿景,致力为血管介入治疗提供全面性的解决方案。公司的核心产品“冲击波球囊”是唯一一款国产自主研发并获得专利授权的产品。
谱创医疗拥有国内和海外两个研发中心,核心团队成员专业背景涵盖了电气、机械、声学、生物工程、生物材料等多学科,与国内外知名的医学专家有深入合作。上海的研发中心及生产基地拥有500平米研发实验室、2000平米GMP厂房以及3间万级净化车间,具备完整的研发,测试与生产能力。位于新加坡的海外研发中心专注于早期产品的设计和开发。
公司自主研发的可支持广泛临床应用的创新技术平台着力于克服血管钙化的各种挑战,此技术已申请多项发明专利,并首先运用在治疗外周下肢动脉和冠状动脉的狭窄性病变上。谱创医疗致力于成为业界领先的心脏与泛血管有源介入治疗的医疗器械企业,以医工结合解决真实临床痛点,除现有临床在研产品外也积极布局多项创新器械。未来,公司将同步推动产品在国内和国际市场的商业化进程,以国际视野、尖端科技不断驱动医疗创新,提高患者的生命质量。
关于浙江大学医学院附属邵逸夫医院
浙江大学医学院附属邵逸夫医院是由香港知名实业家邵逸夫爵士捐资、浙江省人民政府配套建设,集医疗、教学和科研为一体的公立综合性三级甲等医院。