北京安贞医院张海波教授团队应用圣德医疗Xcor瓣膜成功完成横位心高钙化二叶瓣高难度TAVR手术

2022年8月2日,在纪智礼书记张宏家院长等院领导大力支持下,首都医科大学附属北京安贞医院心外科瓣膜中心团队成功应用南京圣德医疗科技有限公司研制的带结构贴合锚定及全新释放方式的自膨式TAVR产品Xcor,为一位Type 0型二叶瓣、瓣环极重度钙化并蔓延到LVOT、重度横位心合并冠脉多支病变、严重脊柱侧弯和肺气肿的重度主动脉瓣狭窄合并中度主动脉瓣关闭不全患者实施了经导管主动脉瓣膜置换联合冠脉介入一站式手术。

术后患者心功能即明显改善,跨瓣压差及瓣口流速亦大幅度降低,手术圆满结束。这例危重高难度患者的成功救治,既体现了团队对术式的深刻理解,也体现出对圣德医疗Xcor创新结构设计和释放方式的高度信任。

基本情况

患者67岁,男性,入院前1年余出现活动后胸闷气短症状,偶伴有胸痛。因脊柱异常改变和活动后胸闷严重而轮椅入院。

超声心动图提示:主动脉瓣瓣缘明显增厚、钙化、黏连,回声增强,开放受限,为二叶瓣;主动脉瓣上峰值流速:5.76m/s,平均压差:69mmHg;舒张期主动脉瓣下见中量反流;室间隔与左室后壁对称性增厚,TAPSE:28mm。

临床诊断:重度主动脉瓣狭窄合并中度主动脉瓣关闭不全;二尖瓣反流;心功能Ⅱ—Ⅲ级(NYHA分级);冠状动脉粥样硬化性心脏病;原发性高血压;脊柱侧弯;肺气肿。

术前评估

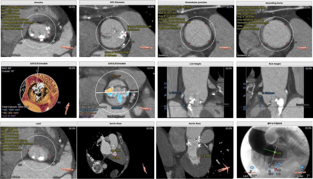
主动脉根部、升主动脉、冠脉及左室评估

经外周血管入路评估

应用基于人工智能技术的术前分析辅助决策软件进行术前评估

手术策略

通过术前测量,对病例深入分析,结合人工智能术前分析辅助决策软件进行三维和二维图像融合,安贞医院心外科瓣膜中心王坚刚主任王盛宇主任郑帅医师孟斐医师胡秋明医师李岳环医师沈经纶医师吴凯胜医师等团队多次讨论,并经过侯晓彤副院长朱俊明主任等医院心外科质量委员会专家集体讨论,认为本例手术不管是进行外科生物瓣置换还是行经导管瓣膜置换术,均存在极高的手术风险。主要包括:

● Type 0型二叶瓣(AP亚型),瓣叶明显增厚,极重度钙化,瓣叶钙化分布不均匀,瓣膜锚定难度高;

● 瓣环到LVOT层面可见大量钙化斑块影,球扩以及瓣膜植入过程中存在诱发恶性心律失常以及瓣环破裂风险;

● 严重脊柱侧弯,外周血管条件差,严重横位心,经股入路难度高;

● 心室腔体明显缩小,存在术中循环崩溃风险;

● 左右冠脉明显钙化狭窄,警惕冠状动脉阻塞风险,术中需先行冠脉处理。

经过多科室团队的深入分析及讨论,团队制定详细的手术策略:

1.首先对左冠及右冠血管病变进行PCI治疗。改善患者冠脉血供。

2.体外循环机器湿备,股动静脉游离切开备用,相关人员到场。

3.针对小左室在主动脉瓣膜处理前充分进行补液扩容治疗。

4.经由心尖入路,先行22mm球囊预扩,注意观察主动脉瓣叶评估冠脉梗阻风险、LVOT、心包等情况,做好应对心律失常的准备。

5.经由心尖入路采取0位释放的方式,植入Xcor-26经导管主动脉瓣膜系统瓣膜,完成TAVR手术治疗。

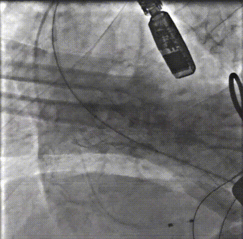
TAVR关键步骤结果

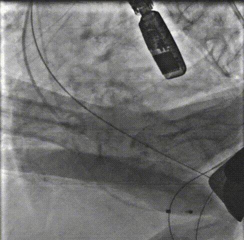
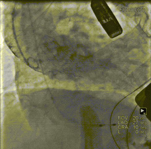
主动脉根部造影:主动脉根部造影可见主动脉瓣运动受限,伴有明显反流,瓣环平面上下可见大量团块状钙化。重度横位心。

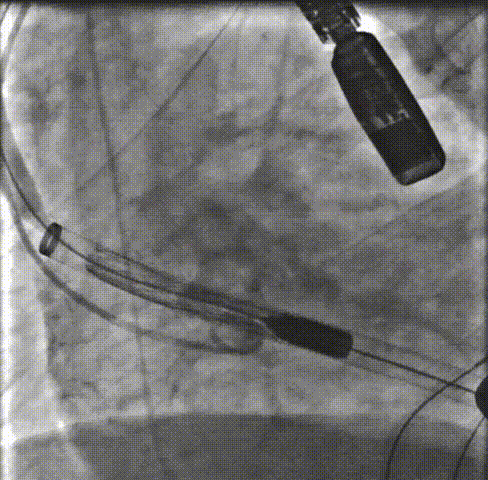
预扩张:22mm球囊预扩后,患者出现室颤,电复律后转为窦性。

释放支撑臂:0位匀速释放Xcor-26瓣膜流出端。

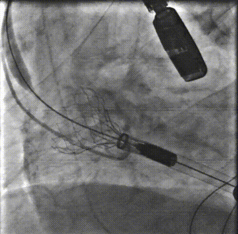
瓣膜释放前根部造影瓣膜打开到80%,再次行主动脉根部造影,支架高度和植入深度满意,不需要回收,直接释放瓣膜。

释放瓣膜:0位匀速释放Xcor-26瓣膜流入端。

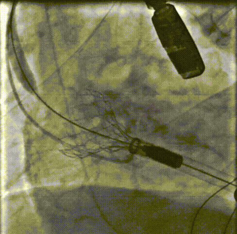
后扩张:22mm球囊后扩张,支架膨胀形态良好,未见支架回弹,未见移位。

术后造影:最终主动脉根部造影示支架瓣膜释放位置佳,瓣叶运动良好,支架内未见明显反流,轻度瓣周漏。

术后评价

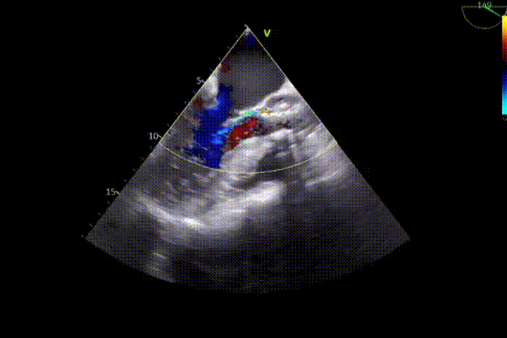
患者术后即刻食道超声和造影可见支架位置固定良好,支架扩张形态均匀一致,瓣叶启闭运动好。植入主动面瓣膜最大峰值血流速为1.4m/s,平均跨瓣压差为8mmHg,瓣口面积约为2.4cm²,支架内未见明显反流,瓣架前后缘轻度瓣周漏。

患者心功能明显改善,恢复状态良好,手术圆满成功。

术后即刻TEE

术后第4天超声提示人工支架瓣膜位置良好,无移位,瓣膜活动度佳。舒张期主动脉瓣周微量反流。

术者寄语

首都医科大学附属北京安贞医院张海波教授:

在张宏家院长和心外科中心朱俊明主任,心外科瓣膜中心首席专家孟旭教授大力支持下,以及心外科瓣膜中心李岩教授、王坚刚教授协助下,麻醉、体外、手术室、重症监护、超声、影像等多学科团队齐心协力,我们成功完成了本例高难度病例入组。

本例手术有以下特点:

● Type 0型二叶瓣和偏心性钙化是目前TAVR手术的难点,本例手术Xcor展现了很好的植入稳定性和优秀的径向支撑力,手术后植入的效果满意。

● LVOT的重度钙化斑块,增加本例手术在瓣膜锚定以及瓣环破裂的风险。Xcor独特的支撑臂设计,使支架不完全依赖径向支撑力,形成了双层锚定的机制,避免了手术并发症的发生。

● 本例患者脊柱侧弯,外周血管扭曲,瓣环夹角超过70度,重度横位心。Xcor作为新一代的自膨胀瓣膜,在支架长度和支架宽度上做了适合中国患者的改良,手术操作安全,展现了独特的优势。

● 患者心室腔体明显缩小,存在术中循环崩溃的风险。团队整体做了充分的术前讨论和术中准备,为患者保驾护航。Xcor瓣膜装瓣迅速,学习曲线短,快速简单释放的方式也很好的避免了风险的发生。

德意志慕尼黑心脏中心Lange院长点评:

● 祝贺Xcor挑战这样的病例并成功完成人体植入。安贞医院张海波教授团队展现了极强的团队组织和优秀的手术操作。

● Xcor的临床试验已经成功挑战了三叶瓣、type-1二叶瓣、type-0二叶瓣等不同病例。并且展现出了在高度钙化、不对称钙化、冠脉高风险、横位心、瓣环破裂高风险等高危病例中的优势。并且每例手术都在5-10分钟内完成从瓣膜进入体内到最终造影。

● 南京圣德医疗自主设计研发的Xcor经导管主动脉瓣膜植入系统在释放简单安全、容易定位、径向支撑力合适、学习曲线短以及血流动力学改善明显等方面展现了独特的优势。

结构贴合经导管主动脉瓣膜系统Xcor

阅读数: 3627