武汉同济医院魏翔教授团队同期完成心脏不停跳小切口冠脉搭桥联合经心尖TAVR手术

近日,华中科技大学同济医学院附属同济医院魏翔教授带领的心血管外科团队,成功应用J-Valve系统为一例横位心患者全程心脏不停跳进行冠状动脉搭桥联合介入瓣膜置换(MICS-CABG+TAVR),手术效果满意,术后患者恢复瓣膜功能,心绞痛症状明显缓解。

瓣膜病合并冠心病需同期处理瓣膜和冠脉的患者越来越多,对于这类高危病患,手术操作更复杂,心肌缺血和体外循环时间延长,最终导致手术死亡率明显高于单纯行冠脉搭桥或心脏瓣膜手术。小切口心脏不停跳冠状动脉搭桥术(MICS-CABG)相较于传统手术有诸多优势,近十年在全球范围内得到迅速推广。患者术后恢复快、损伤小、并发症少,同时经导管主动脉瓣置换避免心脏停跳,极大程度地减少缺氧损伤和再灌注损伤,缩短体外循环时间,具有临床效果满意、术后并发症少等优点。

患者基本情况

患者因胃恶性肿瘤心脏彩超发现主动脉瓣重度关闭不全伴左心扩大,冠脉造影提示冠状动脉三支病变,活动后心前区呈针扎样病痛,伴胸闷。术前诊断为主动脉重度关闭不全;二尖瓣中度关闭不全;左室肥大;升主动脉近端增宽。

影像评估

1.主动脉瓣三叶式。瓣叶基本等大,瓣叶增厚、未见明显钙化;

2.主动脉瓣环周长折算直径约29.1mm;

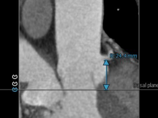
3.双侧冠脉开口高度可 LCA:18.5mm,RCA: 24.4mm;

4.术中造影角度RAO:13°,CAU:14°;

5.降主动脉及双侧髂总动脉散在钙化。

瓣环直径:29.1mm

瓣上4.8mm处直径:30mm

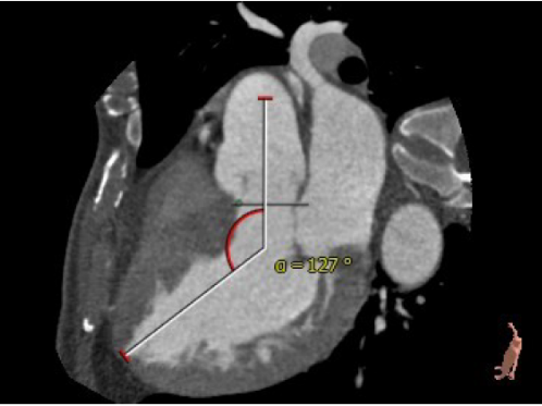
主动脉与左心室夹角:127°

主动脉瓣环平面水平夹角:60°

左冠高度:18.5mm

右冠高度:24.4mm

左室流出道直径:29.8mm

窦部直径:40.5/39.8/41.8mm

窦管交界处直径:29.7mm

升主动脉直径:63.7mm

手术策略

先行小切口不停跳搭桥,后行经心尖TAVR,植入一枚29mm的J-Valve瓣膜。

手术过程

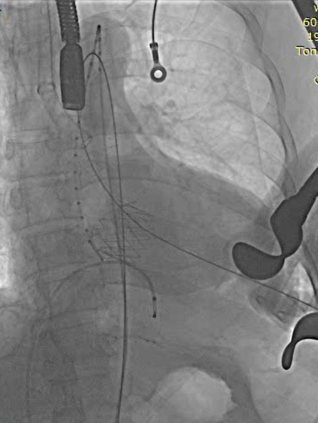
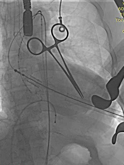
全麻后取仰卧位,消毒。取左前胸第5肋间切口进胸,腔镜辅助下游离左侧乳内动脉(LIMA)备用。肝素化。显露左前降支动脉(LAD),于其狭窄远段切开,将LIMA与之端侧吻合。血管桥排气后开放,测桥血流量满意。经股静脉植入心脏临时起搏器并确认正常工作。经股动脉置入造影导管至升主动脉根部,造影显示主动脉瓣大量反流,窦部结构可。3-0 Porlene线带毛毡片做荷包,经单弯导管引导超滑导丝至降主动脉,更换加硬导丝,导丝尖端于髂动脉分叉处。置入带主动脉瓣输送系统,造影定位下,准确释放29# J-Valve至主动脉瓣瓣环处,造影显示左右冠脉血流正常,TEE证实瓣膜位置可,未见明显反流。撤出输送系统,收紧荷包并缝合止血。放置胸管,逐层关闭各切口。

MICS-CABG

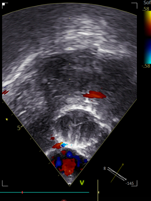
TEE显示主动脉瓣大量反流


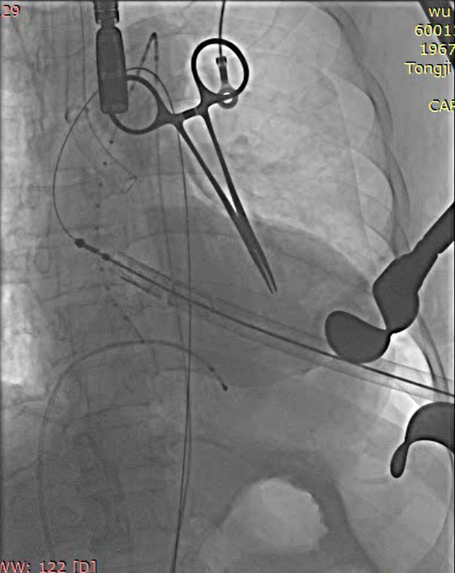
植入器进入升主动脉

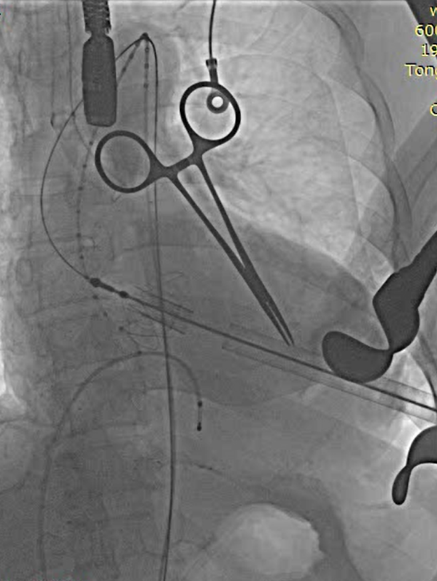
定位件入窦

瓣膜落座瓣环平面

释放瓣膜,撤离输送系统

DSA显示无瓣周漏

TEE显示瓣膜形态良好,无瓣周漏

总结

不停跳冠脉的搭桥心肌保护技术相对于其他术式而言,最大的优势为:缩短心脏停跳的时间,在并行循环心脏跳动下完成冠脉搭桥术,比传统方法节省了冠脉搭桥期间的心脏停跳时间,大大减少了心肌缺血损伤;关注液分布均匀,冠脉搭桥后实现完全再血管化,保证灌注液在心肌均匀分布,心肌保护确切。

本例患者为横位心重度主动脉瓣反流,升主动脉近端增宽,其特殊的解剖结构会增加手术难度,甚至可能影响手术成功率。如采取传统常规的经股入路,经导管介入瓣膜很难保持与主动脉瓣环平面垂直的同轴性,跨瓣环平面的难度大。经心尖途径的J-Valve系统距离短,操作方便,对于横位心的患者依然可以较好的保持瓣膜支架的同轴性。同时其短支架设计,以及形似 “皇冠”的支架顶部设计为冠脉口留有充足空间,起到很好的冠脉保护作用。

武汉同济医院魏翔教授及心血管外科团队进行了完整的手术策略及充分的术前准备,大大减轻了患者和家属的顾虑,手术过程顺利,患者获益良好,恢复健康。

团队介绍


华中科技大学同济医学院附属同济医院心脏大血管外科是中南地区最早成立的心血管外科疾病治疗专科,常规开展先天性心脏病外科,冠脉外科,大血管外科,瓣膜外科,心肺移植以及微创心脏外科等手术治疗,多项技术居国内乃至国际先进水平。在国际上率先开展微创肥厚心肌切除术,在国内率先开展小儿心脏移植术、修心换肺治疗艾森曼格综合征、国内年龄最小(出生不满20小时)的完全性大动脉转位动脉调转术、无输血心脏移植术、肺移植、尿毒症患者冠脉搭桥手术等,在中南地区率先开展婴幼儿复杂危重先天性心脏病手术,心脏移植术,全主动脉置换术,胸腔镜心脏手术和心血管疾病杂交手术,在湖北省率先开展不停跳冠脉搭桥、微创搭桥、全动脉化搭桥、心肺联合移植术,为全国一流心脏大血管外科专科之一。

专家简介

魏翔

华中科技大学同济医学院

附属同济医院

心脏大血管外科主任,同济心肺移植研究所所长,三级教授,主任医师,博士生导师。承担国家自然科学基金4项,国家重点研发计划1项(300万),国家重大仪器开发1项(200万),总研究经费>1000万。发表论文100余篇,SCI 40余篇,包括:Nature Communication、Hepatology、Hypertension,获国家专利三项,获教育部科技进步奖一等奖,获湖北省和武汉市进步奖一等奖。

担任湖北省政府专项津贴专家,湖北省医师协会心血管外科分会候任主委,中国医师协会心外科分会心脏移植专业委员会副主任委员,,中华医学会湖北省胸心血管外科分会副主任委员,中华医学会器官移植分会心肺移植学组委员,中华医学会武汉市器官移植分会常委,国家微创心血管外科专业委员会常委,欧美同学会医师协会大血管疾病分会主任委员。

擅长各种先心病、瓣膜病、冠心病、大血管疾病的外科治疗。尤其擅长不停跳搭桥、全动脉化搭桥、微创搭桥和急危重症冠心病手术;主动脉瘤、主动脉夹层的血管置换和杂交手术,胸腔镜和微创小切口心脏手术;复杂瓣膜病置换和修补术,婴幼儿和复杂先心病手术,心脏移植、肺移植和心肺联合移植手术。在全国范围内首次成功为合并有尿毒症的冠心病患者进行不停跳冠脉搭桥手术,完成了中南地区首例A型主动脉夹层的全主动脉置换手术,中南地区的首次运用杂交技术治疗主动脉夹层。现完成心脏移植例数至2019年达到200余例,并实现了多次心肺移植手术的新突破:完成中南地区首例“零”输血心脏移植,完成全国年龄最小儿童心脏移植(患者年仅2岁),完成华中地区年龄最大患者的肺移植手术(患者年龄63岁),完成华中地区首例单肺移植+心脏修补治疗艾森曼格综合征。作为心脏大血管外科主任,带领科室全体医护人员,不断提高手术例数和手术质量,年心脏大血管年手术量可达2500台,疗效达国内领先水平。

阅读数: 2027