阜外医院潘湘斌教授团队成功完成K-Clip®经导管三尖瓣环修复系统首植

近日, 中国医学科学院阜外医院潘湘斌教授领衔的结构性心脏病团队,成功使用汇禾医疗自主研发的K-Clip®三尖瓣环修复系统,为一位高危三尖瓣重度反流患者进行三尖瓣环修复。

手术过程顺利,患者术后反流由重度(4+)下降到轻中度(1~2+),手术时间在1小时内完成。

本次阜外医院的成功入组,对于具有全球自主知识产权的K-Clip®具有重要意义。

基本情况

患者为一名74岁的老年男性,5个月前出现胸闷、心悸。

该患者早年行二尖瓣成形术、右冠状动脉支架植入术。超声提示“三尖瓣重度关闭不全、陈旧性心肌梗死、心房扑动、冠状动脉粥样硬化性心脏病”,心功能III级(NYHA分级),经多学科讨论判定为传统外科手术高危患者,决定行经导管三尖瓣环成形术。

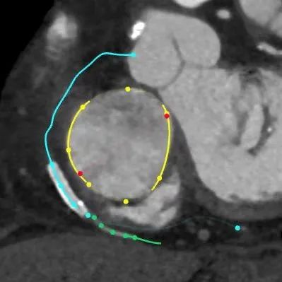
术前CTA

经过术前分析,患者的手术具有很大的挑战。不仅有曾经开胸手术史,右冠的整个后瓣环区有一个支架,给手术带来了很大的难度。经过潘湘斌教授心脏团队的讨论,决定在后瓣靠近隔瓣的位置,植入K-Clip®,进行后隔瓣环的缩环成形,以期改善反流。

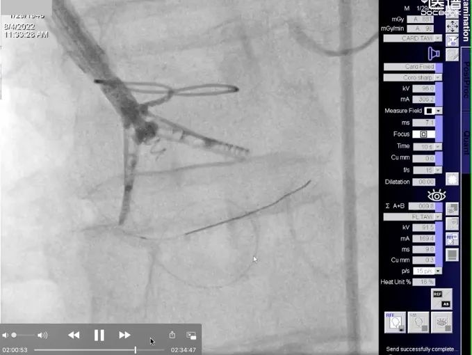
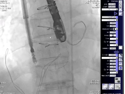
手术过程

患者全麻后,右侧颈静脉穿刺,将K-Clip®输送系统送达右心房内。在超声医生指引下,对K-Clip®的输送系统进行调姿,将K-Clip®锚定到位。

到位后,将K-Clip®夹持臂打开到最大,对目标瓣环位置进行夹合。判定三尖瓣反流减少程度满意后,解离夹合件,退出输送系统。

术后评估三尖瓣反流程度从重度反流(4+)下降为轻中度(1~2+)反流,评估冠脉血流通畅,令人满意,即结束手术。手术在1小时内完成,器械操作时间30分钟。

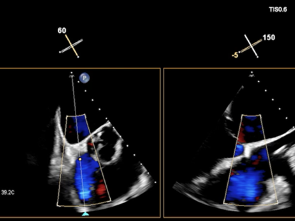
术前超声

重度三尖瓣反流(4+)。

术后超声

轻中度三尖瓣反流(1~2+)。

三尖瓣反流是一种高发、常见的心脏疾病。

临床表现三尖瓣关闭不全的症状和体征与瓣膜关闭不全的程度有关。轻度关闭不全临床上不易觉察。较严重者可有疲乏、胃纳不佳、肝区胀痛、腹部膨胀和下肢水肿等。

三尖瓣一般为肺动脉高压,右室扩大,三尖瓣环扩张引起,临床上常以三尖瓣的病因(左心衰,肺动脉高压等)的表现为主,出现三尖瓣后,乏力,腹水,水肿,肝区疼痛,消化不良,纳差等右心衰症状加重。

K-Clip®是汇禾医疗自主研发的经导管三尖瓣环修复系统,复刻经典外科手术,经血管穿刺入路,不需要开胸、创伤小、恢复快、操作简单,使患者得到最大程度的获益。目前K-Clip®确证性临床研究已在全国多中心正式开展。

专家简介

潘湘斌

中国医学科学院阜外医院

阜外医院院长助理,结构性心脏病中心主任,云南省阜外心血管病医院执行院长,华中阜外医院总院长助理。复合型心血管病专家,发明15项世界首创技术,获得25项国内外专利,多项产品在国内外上市,以中国技术、中国产品构建了具有完全自主知识产权的中国方案。其发明成果得到国际同行的广泛认可,受聘担任美国胸外科医生协会(STS)、心血管介入协会(SCAI)及美国心脏病学院(ACC)外籍资深专家。 

阅读数: 3325