嘉境 · 瓣旅|辽阳辽化医院崔广凯教授团队成功应用TaurusElite为主动脉瓣重度狭窄的高危患者完成TAVR治疗

2022年8月3日,辽阳辽化医院崔广凯教授团队成功为一名主动脉瓣重度狭窄的高危患者进行了经导管主动脉瓣置换术(以下简称“TAVR”)。在多学科通力合作和心外科专家的支持下,手术顺利完成,瓣膜植入后患者血流动力学有效改善,手术效果理想,从根本上解决了困扰患者多年的痛苦,为患者的寿命及生活质量均带来极大的获益。

患者基本情况 

患者为76岁老年女性,因“心前区不适、憋闷等症状”入院。

入院后完善相关辅助检查如下:

心脏超声示:主动脉瓣狭窄(重度),PGmax 105mmHg,PGmean 69mmHg;二尖瓣退行性病变并轻度狭窄,三尖瓣反流(中度),左房大,EF 72%。

CT动态预览

主动脉根部测量

CT特点:中重度钙化三叶式主动脉瓣,瓣叶明显增生肥厚。左右冠开口高度可,无冗长瓣叶;非横位心,心室肌肥厚。

瓣上测量

瓣上测量:窦部发育均匀,瓣叶中重度钙化并明显增生肥厚,钙化分布相对均匀,主要分布在瓣叶边缘及管壁附着缘,左无窦间有部分钙化粘连。

弓部及入路评估

入路血管:主动脉弓有明显立体成角,腹主有明显迂曲,成角约87度;双侧髂动脉轻度扭曲,未见明显钙化,入路血管直径良好。

手术策略

1. 采取全麻监测,经食道超声的手术方式;

2. 右侧股动脉为主入路,左侧为辅助入路;

3. 依据瓣环及瓣上测量结果,采用20mm球囊预扩张,预装AV23瓣膜; 

4. 释放:左右重合位,瓣环下0位释放,结合正交体位进一步明确瓣膜植入深度;

5. 术前适当补液,术中密切关注血流动力学变化,警惕循环崩溃风险;

6. 术后经胸超声进一步评估瓣膜植入深度、跨瓣压差、有无瓣周漏等相关参数;常规生命体征监测,密观病情变化。

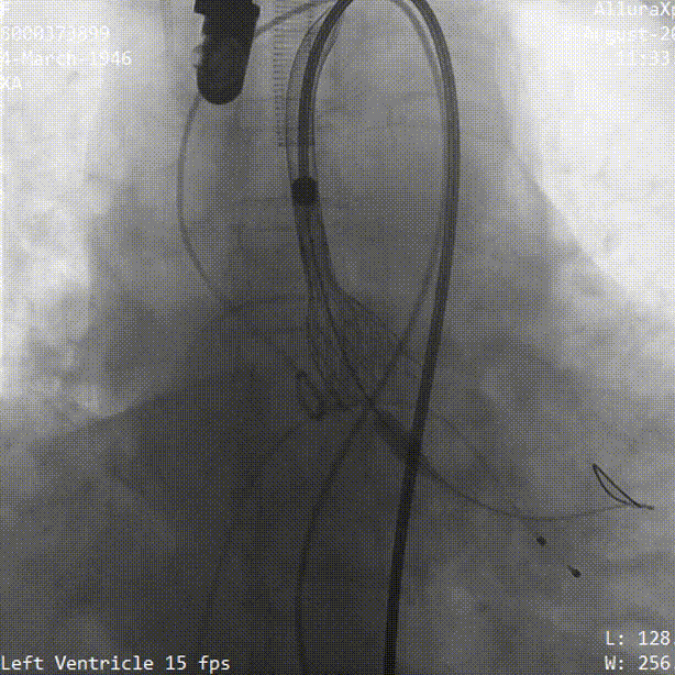
术中影像

导丝顺利跨瓣 

 TaurusAtlas 20mm球囊充分预扩张,无明显腰征 无漏

TaurusElite输送器顺利过弓

TaurusElite AV23瓣膜初始定位

瓣膜逐步释放至工作位过程

工作位造影 瓣膜位置良好

冠脉灌注良好

瓣膜稳定脱钩过程

最终位造影 形态良好 位置理想

无瓣周漏 即刻跨瓣压差为3mmHg

术者团队寄语

近日,我院成功开展了辽阳市首例经导管主动脉瓣置换术(TAVR)。TAVR手术难度大,团队协作要求高,本次手术非常顺利也得益于多学科的通力合作和术前的充分准备。

患者是一名76岁的老年女性,近年来表现为劳力型心绞痛。今年4月,心前区不适、憋闷等症状再次发作,心电图提示为心房颤动、心肌缺血,心肌酶学轻度增高,疑诊急性心肌梗死入住辽化医院心内科。但经冠状动脉造影检查,冠状动脉未见明显异常。后经心脏超声检查,明确病因为主动脉瓣重度狭窄。心内科与患者及家属充分沟通后,在放射等多学科的配合下,为患者制定了经导管主动脉瓣置换术的治疗方案。最后辽化医院心血管内科多学科合作,并在心血管外科专家的支持下,完成了经导管主动脉瓣置换术。目前患者已撤出心脏临时起搏器,已能下床活动且无心绞痛发作。此项技术的成功开展,标志着辽阳地区结构性心脏病诊治技术水平,已进入该领域的先进行列。

以往主动脉瓣狭窄治疗,需要外科开胸,传统外科开胸手术的治疗流程是在建立体外循环、心脏停跳后,医生直视心脏并在主动脉处切口,暴露主动脉瓣后将其剪除;随后植入人工瓣膜并缝合,心脏复苏,最终完成手术。但根据流行病学调查显示,约有三分之一左右的患者人群因年龄大、身体虚弱、有糖尿病等基础疾病的体弱患者身体无法耐受这样高挑战的外科开胸手术,因而经导管主动脉瓣置换这一微创术式是给予这样的外科高危患者治疗的唯一机会,其具有创伤小、风险低、并发症少、术后恢复快、住院周期短等特点,给众多外科手术高危甚至禁忌患者带来了新的机会。此项技术必将进一步发展和普及,为更多主动脉瓣狭窄患者带来“心”的希望。

专家简介

崔广凯

辽阳辽化医院

辽阳辽化医院心血管内科主任,介入导管室主任,主任医师,辽阳市名医。

任辽阳市医学会心电生理与起搏分会主任委员,辽宁省心血管疾病诊疗质控中心委员。曾获辽宁省医疗扶贫先进个人、辽阳市卫生系统先进工作者、宝石花优秀医师等多个荣誉称号。获得省自然科学成果奖、市科技进步奖、国家专利等科研成果。在《中华心血管病杂志》等国家专业期刊上发表论文30余篇。开展或参加了“卫生部十年规划项目”等多项科研课题的研究。

阅读数: 548