逊志时敏 弘德善医|安医大一附院经心尖TAVR培训班圆满落幕

“ 心脏瓣膜介入技术进入快速发展时代,我们初衷是普及经心尖TAVR这项技术,不曾想如此多的业内同道甚至资深前辈一起来交流探讨,让我们倍感荣幸,对未来的TAVR事业发展充满期待。”

——张成鑫教授

7月31日,由安徽医科大学第一附属医院心脏大血管外科举办的首届经心尖TAVR培训班圆满结束。本次培训班在标准规范的前提下进行TAVR技术推广普及,提供专业的课程教学以及现场手术观摩,理论与实践充分融合,来自省内5家中心16名学员纷纷参与交流、深入探讨,对本次培训活动给予了高度认可。

安医大一附院心脏大血管外科主任葛圣林教授亲自到场专业指导,为大家答疑解惑。

专家点评

皖南医学院弋矶山医院胸心外科科室主任张大发教授表示:“我们作为心外科是安徽省自主率先开展经股动脉TAVR手术的团队,也应当熟悉多元化的TAVR手术路径,为患者确定最适合他们的精准治疗方案。这次会议课程新颖,让我们了解了经心尖TAVR的操作规范和临床优势,值得作为一个有意义的培训活动长期办下去。”

蚌埠医学院第一附属医院心脏大血管外科科室主任施超教授认为:“这期培训班办的踏踏实实,学术氛围非常好,能切实让大家了解到经心尖TAVR这项技术,将来会有更多的省内以及周边患者能够获益于这项高新技术带来的健康保障!”

病例回顾

Case 1 患者为横位心重度返流,左锁骨下动脉-主动脉弓动脉瘤,降主动脉走形迂曲,胸-腹主动脉成角64度,左室流出道有凸出。经股入路成为禁忌,情况十分艰险。但在团队充分的术前准备和完整的手术策略支持下,成功经心尖植入一枚J-Valve介入瓣膜,完成了救治,患者获益良好。

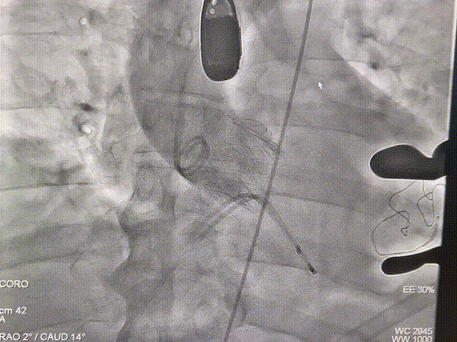
Case 2 二叶瓣畸形病人,横位心,重度钙化伴返流,左室流出道重度钙化且伴有凸出,EF只有30%。安医大一附院TAVR团队凭借丰富的手术经验,默契配合,成功完成手术,术后造影显示,瓣膜位置立项,极轻微瓣周漏,冠脉血流通常。

医院介绍


安徽医科大学第一附属医院心脏大血管外科是安徽省规模最大的集医、教、研为一体的心脏大血管病诊疗中心,为中华医学会安徽省心脏大血管外科学分会候任主任委员单位、安徽省重点专科、安徽医科大学重点学科;与美、欧等多个心脏大血管中心保持学术技术交流;对省内多家三甲医院心脏大血管外科的建立及人员培训给予巨大帮助。2017年高新院区心脏大血管诊治中心的启用,为更多的患者提供更优质的服务。

学有时而行未止,安医大一附院心外科TAVR团队再次感谢所有出席的专家学者对本次培训班的大力支持,欢迎未来有更多的团队和同道加入TAVR事业,继续关注经心尖TAVR培训班的后续进展。

阅读数: 1249