西安交通大学第一附属医院袁祖贻教授、韩克教授团队完成Evolut PRO TAVR植入

2022年8月2日,西安交通大学第一附属医院袁祖贻教授、韩克教授团队成功完成一例高难度Type0型二叶瓣TAVR手术植入。

主动脉瓣二叶畸形在亚洲人群中占比较大,此类患者结构复杂、手术难度大。因此针对二叶瓣,尤其是Type0型二叶瓣的TAVR手术,需要细致的术前评估,术者稳定的技术操作,配合性能良好的TAVR产品,方能获得优异的手术结果。

基本情况:

该病例为75岁男性,间歇性胸闷气短1年,病情加重20天后来院就诊,经超声等诊断为主动脉瓣二叶畸形,重度狭窄。

术前袁祖贻教授、韩克教授团队针对此例复杂病例制定周密预案,全面考虑手术难点:

1.Type0型二叶式主动脉瓣;

2.瓣叶增厚,偏心性钙化,瓣膜定位困难; 

3.近主动脉弓处降主大弯侧血肿,器械通过需避开对此区域的压迫;

4.心肌肥厚导致心尖变薄,增加心室穿孔风险;

5.左右髂总存在斑块、钙化。

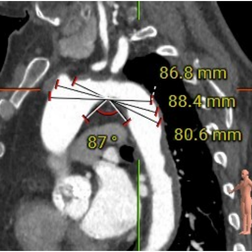
CT分析

主动脉根部结构

主动脉弓分析

弓分析

入路情况

手术策略采用右侧股动脉为主入路,全麻配合食道超声进行。根据瓣环测量数据,初步确定选择Evolut PRO 29mm瓣膜。是否需要针对Type0型二叶瓣采用downsize策略,团队进行了详尽探讨,决定先行20mm球囊扩张,根据球囊形态和瓣周漏情况决定最终选型。

球扩后发现20mm球囊并未将瓣环开口填满,球囊没有显现收腰,且有明显瓣周漏,因此团队决定采用Evolut PRO 29mm瓣膜。

球囊预扩张

Evolut PRO 的递送系统对入路要求小,顺应性出色,装载瓣膜后仍能良好地顺应工作导丝形态,有效避免了对该患者降主动脉水肿部位的压迫,轻松抵达释放位置。

递送到达释放位

Type0型二叶瓣伴偏心性钙化导致瓣膜定位困难,如果释放位置偏浅,瓣膜蹦出风险高。术者利用Evolut PRO稳定的多次可回收功能,通过调整瓣膜植入深度,确保瓣膜流入端稳固锚定在瓣环根部。通过造影评估,瓣膜植入位置理想,因此进行过最后缓慢释放,瓣膜顺利达到目标植入深度。

首次释放

二次释放

评估

最终释放

术后造影

结合术中食道超声可见,Evolut PRO瓣膜与患者自身解剖结构贴合良好,无瓣周漏,跨瓣压差由术前110mm Hg即刻降至10mm Hg,峰值流速由5m/s降至1.8m/s,手术取得圆满成功。

西安交通大学第一附属医院简介

1937年抗日战争爆发,北平大学医学院部分师生西迁,组建西安临时大学医学院,附属医院随之诞生,2000年随着与西安交通大学合校,现定名为西安交通大学第一附属医院。经几代人接续奋斗,医院取得了长足发展,成为我国西北地区规模最大的集医疗、教学、科研、康复、预防保健为一体的国家卫生健康委员会委管大型综合性三级甲等医院。

医院学科设置齐全,有医疗医技科室57个,其中医疗46个,医技科室11个。神经疾病、心血管病、传染病、妇产、癌症、精神6个专业被确定为国家区域医疗中心牵头建设单位。医院注重专科和技术发展,在先进技术应用及复杂疾病的内外科治疗方面形成了鲜明特色。在心脑血管疾病防治领域,完成世界首例“完全可降解卵圆孔未闭封堵器植入手术”、“主动脉瓣置换+右室憩室修补+Peek材料3D打印全胸骨再造术”,研发可降解心耳封堵器打破国外技术垄断。开展心脏不停跳下冠脉搭桥、心脏不停跳下二尖瓣置换等多项高难度手术,并与国际水平接轨;开展微创多瓣膜置换、瓣膜置换(成形)+Bentall术+房缺修补、复合切口下瓣膜置换+冠脉搭桥等多项国内首例高难度多病种复合性心脏微创手术。

医院是“全国五一劳动奖状”单位、国家卫健委“改善医疗服务示范医院”,2020年医院党委荣获全国先进基层党组织、全国抗击新冠肺炎疫情先进集体。始终以护佑人民群众的生命健康为己任,以高质量发展为契机,以国家医学中心建设为抓手,逐步建设成为具有中国特色的世界一流名院。

专家简介

袁祖贻

西安交通大学第一附属医院

主任医师、教授、博士生导师,现任西安交通大学第一附属医院副院长、心血管病医院院长、西安交通大学内科学系系主任。日本京都大学博士后。国家杰出青年基金获得者。

中华医学会心血管病分会常委兼动脉粥样硬化与冠心病学组组长、中国医师协会心血管内科医师分会副会长兼指南与共识工作组组长、中国老年医学会心血管病分会副主任委员、国际动脉粥样学会(IAS)中国分会副主席、陕西省医学会心血管病分会主任委员、中国胸痛中心联盟副主席/陕西省胸痛中心联盟主席、陕西省心血管专科医师联盟主席。中国动脉粥样硬化杂志副主编、中国分子心脏病学杂志副主编、中国介入心脏病学杂志副主编。主要从事动脉粥样硬化发生与发展机制研究、以及冠心病发病的基础与临床研究,先后承担国家“973”项目、国科金重点与杰青项目、科技部重点研发项目、科技部重大慢病管理项目等,在国际顶级刊物包括Nature Medicine, Circulation, JACC, Cir Res, Euro Heart J, AJRCC等发表论文200余篇,获卫生部有突出贡献专家称号,享受国务院政府津贴。

韩克

西安交通大学第一附属医院

心血管内科副主任医师。1999年毕业留校工作至今,主要研究方向冠心病、结构性心脏病介入治疗,心脏疾病的超声及影像学诊断。现任中华医学会心血管病学分会结构性心脏病学组委员,亚洲青年结构性心脏病俱乐部委员,陕西省医学会心血管分会介入学组委员、秘书,陕西省超声医学工程学会委员,曾任陕西省医学会超声分会委员。每年完成冠心病、结构性心脏病及起搏电生理介入治疗数百例。擅长CTO、分叉病变等复杂冠脉介入治疗,ASD、VSD、PDA、PFO等先天性心脏病介入治疗,率先在西北地区开展TAVR及LAAC手术,熟练掌握IVUS、OCT等腔内影像学技术。作为主要研究人员参与多项国家自然科学基金项目、陕西省科技攻关项目、陕西省卫生厅科研基金项目。

阅读数: 819