沧州市首例|沧州市中心医院为一位冠脉高风险重度主动脉瓣狭窄患者完成沧州市首例PCI+TAVR一站式治疗


 经典病例

2022年7月26日,沧州市中心医院在心血管内五科张军主任团队带领下为一位高冠脉风险患者完成沧州市首例一站式PCI+TAVR手术,在医院多学科的共同协助和配合下,手术顺利完成,目前患者恢复良好。此次高难度手术的顺利完成也标志着沧州市中心医院在结构性心脏病介入治疗,这个崭新的领域全面启航。


患者为72岁女性患者, 冠脉造影示LAD中段狭窄95%病变, 超声显示主动脉瓣严重狭窄。沧州市中心医院手术团队经过术前评估,进行了细致的术前分析和反复讨论,制定适宜的手术策略,最终成功完成挑战,术后患者血流动力学得到明显改善,延长了患者生存期,提高了患者生活质量。

患者信息

患者女,72岁



临床症状患者于6年前劳累后出现心前区不适,伴胸痛,持续数分钟,休息后可缓解,曾就诊于沧州市中心医院行冠脉造影示LAD中段狭窄95%病变,此后进行药物治疗,现患者再发上述症状,为求进一步诊治,于沧州市中心医院住院治疗。



既往史:高血压病史30余年,血压最高达180mmhg,平素口服乐卡地平,硝苯地平缓释片II控制血压,自述血压控制可。

术前评估

心脏超声

  • 主动脉瓣重度狭窄伴轻度反流;

  • 左心房扩大,间隔室肥厚;

  • 二、三尖瓣少量反流;

  • 升主动脉扩张;

  • 左室舒张功能减低;

  • LVEF: 70%;

  • 左室舒张末期内径(LVD):48mm;

  • 主动脉瓣瓣口峰值流速:505cm/s;平均跨瓣压差:55mmHg。

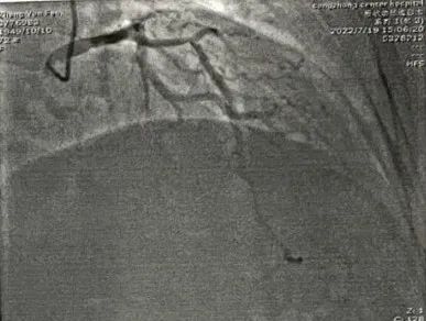
冠脉造影

冠脉硬化

LAD病变

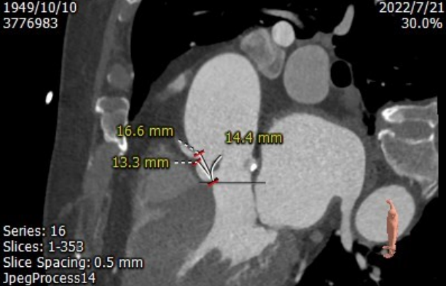
CT测量

主动脉根部CT测量

左室流出道周长:71.5mm

瓣环周长:72.1mm

横心位:58°

升主动脉扩张,周长:139.7mm

右冠高度:13.3mm;瓣叶长度:14.4mm

左冠高度:13.4mm;瓣叶长度:12.6mm

手术过程

术前讨论

术前张军主任组织讨论并总结归纳此病例特点:

  • 该患者为高龄患者,瓣膜为三叶瓣;

  • 主动脉瓣重度狭窄伴少量反流;

  • 右冠开口尚可,瓣叶较长,若选择24瓣膜,冠脉风险低;若选择27瓣膜,则存在冠脉风险,建议球扩关注冠脉是否需要保护;

  • 横心位角度较大,在过弓时或可遇到困难;

  • 升主动脉增宽,存在破裂风险,建议准备圈套器;

  • 主动脉瓣钙化严重,存在瓣周漏风险。

术前策略制定

针对此例冠脉高风险患者,张军主任带领心脏病团队和多科室组织了术前讨论会。经过临床严谨的评估以及充分的讨论,手术团队制定了完备的术前策略:

  • 拟以右侧股动脉为主入路,22F大鞘;

  • 先行PCI处理LAD病变;

  • 22球囊于右无重叠角度扩张,植入24瓣膜;

  • 剪内联鞘备snare,做chimney支架准备。

术中操作

冠脉处理前

冠脉处理后

冠脉处理前后对比

球囊扩张

瓣膜释放

术后评估

术后超声:峰值流速202m/s,跨瓣压差12mmHg

术后(内容)

术后讨论

针对此次冠脉高风险的手术病例,张军主任团队在沧州市中心医院各兄弟科室的大力支持下,经过整个心脏团队术前对CT的慎密的分析,制定了完备的手术策略。术中临危不乱,协调默契,最终TAVR+PCI手术取得圆满成功,这离不开心脏多学科的通力合作,也离不开患者对TAVR、对沧州市中心医院的信任。同时,极大地提高了团队的自信心,医院可以根据患者情况,做出更精确地选择,对于提高手术的安全性,及患者的预后有极大地帮助。对于团队来说,将更好的手术效果带给广大患者,为区域内的患者造福。

专家信息


张军

沧州市中心医院

沧州市中心医院心血管内五科主任,沧州市中心医院盐山分院心内科主任,心血管内科院士工作站站长,国家心血管疾病临床医学研究中心沧州中心主任


◎擅长领域◎

冠心病、高血压、心律失常、各种心肌病及心力衰竭等疾病的诊断及治疗,尤其擅长冠脉造影、心绞痛和心肌梗死的支架置入及心脏起搏器置入等,在国内首先应用PMY及 MJBT技术治疗冠状动脉分叉病变。

◎学会任职◎

中华医学会心血管病分会介入学组委员;中华医学会心血管病学分会预防学组委员;中华医学会行为医学分会行为临床学组委员。





付金国

沧州市中心医院

沧州市中心医院心内五科副主任


◎擅长领域◎

冠心病、先天性心脏病、高血压、冠心病、心肌病、心律失常及各种心力衰竭的诊断及治疗,尤其擅长冠心病(心绞痛、急性心梗)的介入治疗,先心病及周围血管病的介入治疗,冠心病慢性完全闭塞(CTO)病变的介入治疗。

◎学会任职◎

河北省临床工程心脑介入技术分会常务委员

河北省血管健康与技术分会结构性心脏病专业委员会委员、北京医学会心血管病学分会第九届委员会委员。






牛和平

沧州市中心医院

沧州市中心医院心血管内五科心血管内科专家


◎擅长领域◎

冠心病、高血压病、先心病、心律失常、心衰、瓣膜病、周围血管病的诊断与治疗,以及冠脉造影、冠脉支架植入、先心病介入封堵、周围血管病的介入治疗,尤其擅长冠脉复杂病变和急性心肌梗死的急诊介入治疗。

◎学会任职◎

中国医促会高血压分会青年委员

河北省血管健康与技术协会心血管介入专业委员会委员。




袁琛

沧州市中心医院

沧州市中心医院心内五科副主任

河北省“三三三人才工程”第三层次人才


◎擅长领域◎

心血管急危重症的抢救,冠心病的介入治疗,缓慢心律失常的起搏治疗,快速心律失常的射频消融治疗。

◎学会任职◎

河北省内科学会青年委员

河北省心律学会委员

河北省老年医学会委员

阅读数: 859