广西首例!广西医科大学第一附属医院李浪教授团队成功完成Shockwave冲击波球囊钙化斑块碎裂术

8月2日,广西医科大学第一附属医院心内科李浪教授团队成功完成广西首例冠状动脉血管内钙化斑块碎裂术。这是今年5月Shockwave冲击波球囊国内获批上市后广西地区首例临床应用于治疗重度冠心病钙化狭窄病变介入治疗,这也是李浪教授带领团队继开展广西首例腔内影像学(OCT、IVUS)指导下钙化病变旋磨术、旋切术等介入治疗系列新技术后,又一次在复杂冠心病的精准介入治疗新技术领域的成功实践,标志团队在冠脉重度钙化病变介入治疗进入新阶段,继续引领广西复杂冠心病的精准介入治疗,造福广大患者。 

患者病史

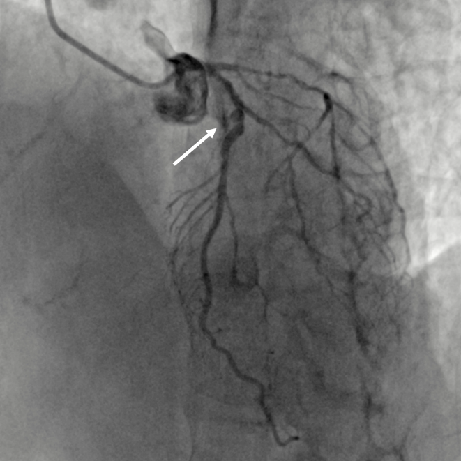
患者女,71岁,因“反复胸痛、胸闷4年余,加重”入院。患者入院诊断:冠心病不稳定心绞痛。入院完善相关检查后,患者2022年7月22日行冠脉造影提示:左主干无狭窄,前降支近段至中段90%狭窄伴钙化;回旋支近-中段弥漫性狭窄约70-90%;右冠近段至中段弥漫性狭窄约60-80%。拟对冠脉三支严重病变进行介入治疗。前降支近端至中段重度狭窄伴明显钙化。在使用2.5*15mm高压球囊,2.5*15mm切割球囊8-16atm反复预扩张后,仍无法充分扩张病变,考虑到前降支最重钙化病变处呈“小波浪”迂曲,行钙化病变旋磨术并发症风险较大,决定先完成左回旋支、右冠脉介入治疗后,择期再次对前降支严重钙化狭窄行介入治疗。

前降支造影:严重钙化狭窄病变处呈“小波浪”迂曲

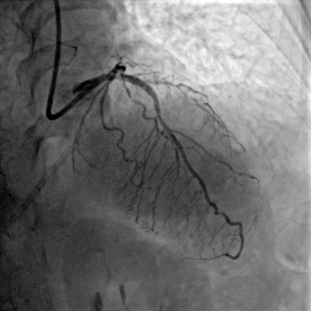
前降支近段反复以高压球囊、切割球囊预扩张无法充分膨胀

再次手术前,李浪团队根据患者冠脉病变特点制订了细致的手术计划。考虑到该患者此前手术未能成功原因:采用了高压球囊、切割球囊均未能充分扩张前降支严重钙化迂曲病变,判断该病变为较为严重的钙化病变。并且钙化病变血管迂曲,若采用旋磨技术,冠脉穿孔风险较大。因此,李浪教授团队决定采用目前最先进的冠脉钙化斑块碎裂术,即采用来解决该例病例的困局。通过先进的冠脉光学相干断层成像(OCT)与冠脉造影融合技术精准指导介入治疗,进一步准确评估冠脉病变钙化严重程度及病变特征,同时采用国内刚上市的Shockwave冲击波球囊方案,精准碎裂严重冠状动脉钙化斑块,使用OCT精准评估冠脉钙化斑块碎裂术效果,指导支架植入。

再次手术过程

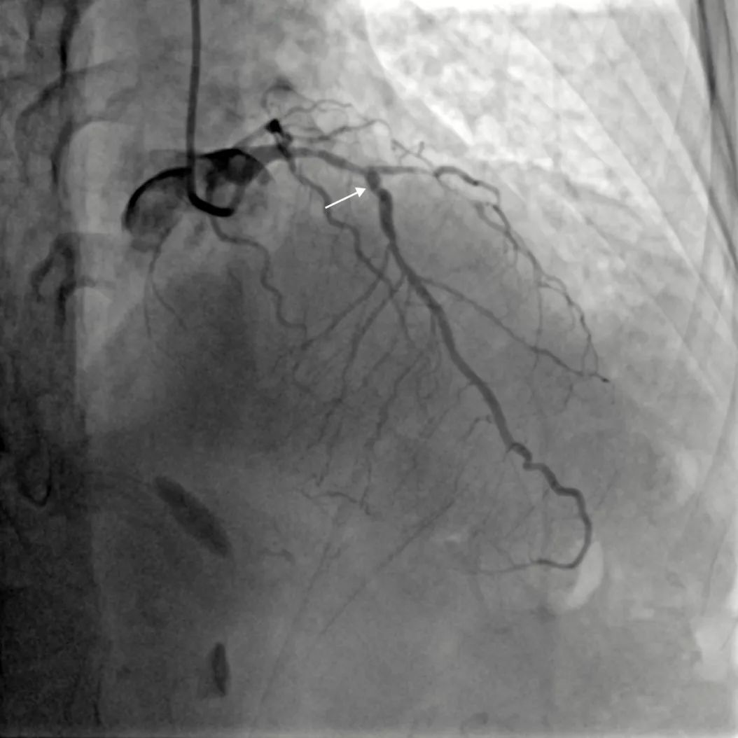
经过充分的术前准备,术前OCT检查提示:前降近中段钙化病变处可见90-360°环形钙化,钙化厚度约0.38mm-0.6mm,长度约10mm,局部可见钙化小结。较厚的环形钙化是导致上次手术使用高压球囊及切割球囊无法顺利打开病变的原因。针对病变特点,在OCT的精确定位下,启用3.5x12mm Shockwave冲击波球囊技术在环形钙化处精准震荡扩张,启动脉冲发生器,持续激发脉冲10S,可见球囊逐渐膨胀充分,随后以6atm扩张震波球囊,可见球囊扩张满意。重新定位冲击波球囊,重复脉冲3个周期共4个周期脉冲优化震波碎裂疗效,复查OCT清楚可见环形钙化斑块碎裂松解,局部未见明显夹层,获得较大管腔,满足支架植入条件。成功于左前降支近段植入3.5mm*13mm药物洗脱支架1枚。

图为李浪教授团队在手术

发射脉冲震波球囊膨胀过程

手术耗时约40分钟,并顺利完成前降支支架植入。术后患者症状缓解,并于近日出院。

Shockwave球囊治疗前后OCT成像对比:

Shockwave球囊治疗前

Shockwave球囊治疗后

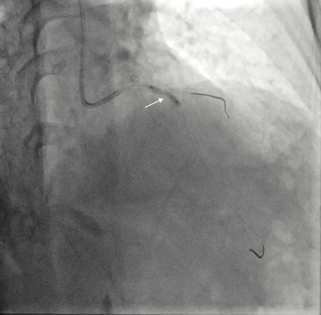
Shockwave球囊充分预处理后,顺利植入支架

李浪教授指出:流行病学数据表明,冠状动脉钙化在40~49岁人群中的发生率约为50%,在60~69岁人群中的发生率约为80%,随着人口老年化日趋严重,近年来冠心病钙化狭窄病变患者明显增多。冠状动脉钙化病变明显增加了冠心病介入治疗的难度、风险与并发症,是心血管介入医师所面临的主要挑战之一,尤其是严重钙化病变或伴有扭曲、成角、弥漫的严重钙化病变,手术即刻的并发症以及远期主要不良心血管事件的发生率明显升高。目前处理钙化病变的常用技术主要有非顺应性球囊、棘突球囊、切割球囊、准分子激光冠状动脉斑块消蚀以及冠状动脉斑块旋磨术等技术,以上技术仍然有各自的局限性。

李浪教授介绍说:今年5月,冠状动脉血管内钙化斑块碎裂术(intravscular lithotripsy,IVL)进入国内临床应用。它在工作原理上区别于传统的钙化病变治疗技术, 主要通过在球囊低压扩张时向病变提供未聚焦、 圆周和脉冲式的机械能以高效和安全地破坏浅表与深层钙化,从而明显改善血管顺应性,为冠状动脉钙化病变的治疗提供了一种全新选择和有力“武器”,是冠脉钙化病变介入治疗的有效补充手段, 并有望成为冠状动脉钙化病变的“终结者”。Shockwave冲击波球囊目前已在国内上市,尤其对于深层血管钙化是目前唯一安全有效的治疗手段。《2021版冠状动脉钙化诊治中国专家共识》指出,冠脉内冲击波钙化碎裂技术较其他钙化处理技术更为安全、有效和简便。

李浪教授表示,广西医科大学第一附属医院作为广西心血管介入治疗技术质控中心和国家卫健委冠心病介入诊疗技术培训基地,我们将加强该技术的规范化操作与应用的培训,推广普及该项技术。随着冠状动脉血管内钙化斑块碎裂技术进入广西地区,相信会给越来越多的冠心病严重钙化狭窄患者介入治疗带来福音。

专家简介

李浪

广西医科大学第一附属医院

二级教授、主任医师、博士生导师。广西医科大学第一附属医院副院长,国家卫生健康突出贡献中青年专家,中华医学会心血管病学分会委员、心血管急重症学组副组长,中国医师协会心血管内科医师分会常委、指南与专家共识学组副组长,中国医促会心血管健康医学分会副主委,国家心血管病临床医学研究中心分中心主任,国家放射与治疗临床医学研究中心分中心主任,美国心脏病学会专家会员(FACC)、欧洲心脏病学会专家会员(FESC),亚太介入心脏病学会委员(FAICT)、《中华心血管病杂志》等杂志编委,广西心血管疾病介入诊疗技术质控中心主任、广西胸痛中心联盟主席,广西优秀专家、广西高层次人才、广西医学高层次人才领军人才

阅读数: 7506