近日,西安国际医学中心医院心脏病医院在王海昌院长的支持下,以及张金洲副院长的指导下,由杨金保博士负责的TAVR团队成功完成了一例高风险Type2型二叶畸形Evolut PRO手术植入。
此患者解剖结构复杂:1)升主动脉明显增宽,平均直径达到54.5mm。
该结构需谨慎评估血管夹层和破裂风险,对瓣膜系统的通过性能要求极高。
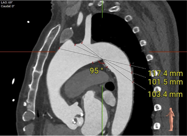
2)患者主动脉根部结构复杂,为Type 2型二叶瓣畸形,左右对合缘、右无对合缘处均可见钙化融合嵴,瓣环平面可见严重钙化,左冠窦底钙化灶延伸至左室流出道,且左室腔小。
瓣叶钙化严重,且增厚增长。
冠脉情况和其他入路尚可。
手术采用全麻配合食道超声,经右侧股动脉为主入路,得益于术者丰富经验,配合Evolut PRO优良的过弓性能及精准的器械跟踪性能,瓣膜系统很快到达预期位置。
球囊预扩张
递送到达释放位
因患者自身主动脉根部结构特殊,导致定位困难:严重的钙化灶使得猪尾导管很难送至窦底;但凭借Evolut PRO稳定的多次可回收功能,术者通过对瓣膜的回收及再释放,最终找到最佳释放位置,获得最佳疗效。
瓣膜释放
评估
释放后造影
在释放过程中,手术团队严密监控各项体征,经充分评估后完全释放瓣膜。释放后评估未见冠脉阻挡,无传导阻滞,无瓣周返流,跨瓣压差由术前的160 mmHg降至10mmHg,血流动力学稳定。出导管室前即拔除气管插管,患者后自诉症状明显改善。手术获得圆满成功。
西安国际医学中心医院心脏外科简介
西安国际医学中心医院心脏外科住院部开设有3个心脏外科病房、2个ICU病房;可开展床位200余张。现有医护人员70余人,核心技术人员均来自西京医院;拥有四代达芬奇手术机器人、索林S5体外循环机、ECMO、IABP、射频消融仪等先进外科手术设备。目前可开展所有常规心血管外科手术,其中,心肌桥旁路移植手术为张金洲教授国际首创术式;杂交技术治疗54岁成人法四根治术、经股主动脉瓣置换(TAVR)+经皮主动脉腔内隔绝手术(TEVAR)术为国内首次报道;机器人辅助下心脏手术数量已居西北之首;另外,目前已经开展小切口冠脉搭桥、小切口瓣膜置换以及主动脉夹层/先心病的介入/开刀杂交手术。
专家简介
张金洲
西安国际医学中心医院心脏病医院
副院长、心脏外科主任;医学博士、主任医师、研究生导师、留美博士后;美国克利夫兰医院心胸外科访问学者;陕西省肥厚型心肌病多学科诊治中心副主任;陕西省非公医协心血管外科专委会主任委员;中国非公医协心血管外科专委会常委;中国非公医协体外生命支持专委会常委;原第四军医大学西京医院心脏外科主任医师、副教授;
承担国家、军队和省级科研课题10余项,获陕西省科技进步一等奖1项,国家发明及实用专利6项,军队三等功1次;发表论文60余篇,发表SCI13篇;主编参编专著5部。中华胸心血管外科学分会青年医师菁英奖。西安市高新区“优秀共产党员”,国际医学集团“优秀管理者”。
在第四军医大学西京医院心脏外科从事医疗、教学及科研工作20余年,共救治约6000例病人,熟练掌握婴幼儿先天性心脏病、心脏瓣膜病、冠心病、动脉瘤和肥厚型心肌病的外科诊治技术。2013年完成西北首例改良Morrow手术治疗肥厚梗阻型心肌病,现主刀完成150余例,手术量和手术效果全国前列。2020年国际首创心肌桥旁路移植手术治疗严重心肌桥,疗效满意,得到国内外认可。
杨金保
西安国际医学中心医院心脏病医院
心脏外科TAVR专业组组长;医学博士,副主任医师;中国非公立医疗结构协会心血管外科专业委会委员;陕西省非公立医疗机构协会心血管外科专业委员会常委、秘书长;陕西省非公立医疗机构协会心电专业委员会常务委员;陕西省健康促进与教育协会体外生命支持分会委员;陕西省健康促进与教育协会结构性心脏病专业委员会委员;西安医学会心血管外科学分会委员;西安市癌症康复协会肿瘤筛查与早诊早治专业委员会委员;原第四军医大学西京医院心血管外科主治医师;主持院级课题1项,参与国家自然科学基金项目3项、陕西省自然科学基础研究计划项目2项;获得实用新型专利3项。发表医学核心期刊论文12篇,其中SCl收录2篇,参编专著1部。从事先天性心脏病、冠心病、肥厚梗阻性心肌病、心脏瓣膜病和主动脉夹层、深静脉血栓等大血管/外周血管疾病外科手术治疗10余年。

