2022年6月15日,中南大学湘雅二医院顺利召开了申淇淇麟®经导管二尖瓣夹及可操控导引导管FMR(功能性二尖瓣反流)和DMR(退行性二尖瓣反流)两项上市前注册临床试验启动会,标志着由韩雅玲院士牵头的两项全国多中心研究正式开启。近日,湘雅二医院顺利完成了该注册临床试验的首例患者入组。
2022年7月25日,经过充分的术前评估与准备,周胜华教授团队方臻飞教授、胡信群教授及湘雅二院结构心手术团队在美国西奈山医疗系统Dr. Gilbert Tang教授线上指导下,运用全新一代经导管二尖瓣缘对缘修复系统 – 申淇淇麟®系统,为一位原发性二尖瓣反流患者成功实施了股静脉途径经导管二尖瓣介入修复术。团队配合密切,手术过程顺利。
A2区前叶长度23.3mm,后叶长度15.3mm,连迦宽度12.7mm,间隙9.5mm,反流口面积0.75cm²,有效瓣口面积5.64cm²。
二尖瓣重度关闭不全,考虑DMR。
经顾问评估后决定采用申淇淇麟®经导管二尖瓣夹及可操控导引导管,在心脏超声引导下施行经皮二尖瓣钳夹术。
术前TEE显示二尖瓣重度反流,确认二尖瓣后瓣(P2)脱垂
患者全麻后,在经食道超声心动图和X射线引导下,经股静脉入路,将申淇淇麟®系统瓣膜夹顺利送至二尖瓣瓣上区域,在超声辅助下夹闭二尖瓣病变区域(P3区域)。而夹闭后,患者的3区偏2区侧仍存在大量反流,方臻飞主任根据自身临床经验和患者情况进行充分评估后,决定释放二尖瓣夹合器,撒出输送系统、并进行第二次夹合。在超声引导并再次放入瓣膜夹输送系统,方臻飞教授凭借其精湛的手术技艺以及对器械特点的深刻理解,成功夹闭P2区域脱垂瓣叶,使反流量明显减轻。
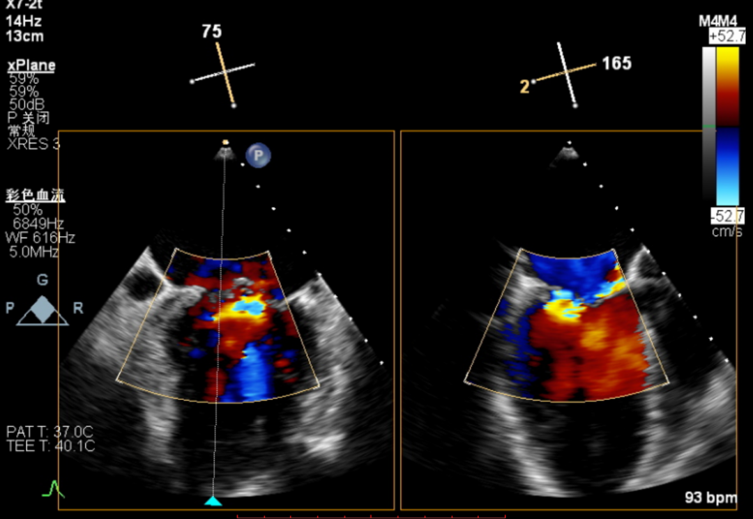
TEE显示,第二枚二尖瓣夹植入后反流减少
手术由湘雅二医院周胜华教授团队独立完成,团队核心成员方臻飞教授、胡信群教授带领超声医师等共同参与,在麻醉科李志坚教授的配合下高效完成手术。
二尖瓣病变是发病率最高、介入治疗难度最大的瓣膜疾病。据不完全统计,我国二尖瓣病变潜在患者人数逾千万,治疗缺口极大。同时,由DMR及FMR二尖瓣关闭不全构成的复杂二尖瓣反流疾病谱,也大大增加了该类瓣膜病变治疗难度。介入二尖瓣诊疗器械的研发已成为全球心血管介入诊疗领域的热点及难点,而目前唯一成熟的介入二尖瓣技术便是经股静脉途径经导管二尖瓣缘对缘修复(TEER),以雅培的MitraClip™系列产品为代表,其已被FDA、CE和NMPA批准用于包括DMR及FMR的全二尖瓣反流疾病谱病变,临床技术体系已然成熟。
专家简介
周胜华
中南大学湘雅二医院
我国知名介入心脏病学专家,中南大学“湘雅名医”,第三届“国之名医,优秀风范“荣誉获得者。现任中南大学湘雅二医院心血管内科主任、主任医师、博士生导师、湖南省心血管病医院(中心)主任、湖南省心血管病介入治疗中心主任、湖南省临床介入治疗质量控制中心主任、湖南省心血管疾病现代医疗技术研究中心主任。
中华医学会心血管病学分会第十一届委员兼副秘书长,中国医师协会心力衰竭分会副主任委员,湖南省心血管病学委员会主任委员,中华医学会心电生理和起搏学会常务委员,中国医师协会心血管内科医师分会常务委员,中国生物医学工程学会心律分会常务委员、中国心律学会常务理事。
卫生部有突出贡献中青年专家、“卫生部优秀青年科技人才”、国家心血管病介入诊疗质量控制专家、国家心血管病中心专家组成员、享受国务院特殊津贴、湖南省学科领军人才。
方臻飞
中南大学湘雅二医院
心血管内科主任医师,主任医师,教授,博士生导师。湖南省心血管病现代医疗技术研究中心副主任。国家卫计委心血管介入诊疗规范化培训导师(结构性心脏病、冠心病)。中华医学会心血管内科分会心衰学组副组长,中华医学会心血管病分会结构性心脏病学组委员,中国医师协会结构性心脏病专业委员会委员,亚太结构性心脏病青年俱乐部黄金会员,湖南省医学会结构性心脏病学组副组长。作为写作组成员参与编写我国《经导管主动脉瓣置换术专家共识》。长期致力于结构性心脏病、冠心病介入诊疗工作,先后留学法国、美国学习先进技术。完成中部地区首台TAVR手术,并多次完成急诊TAVR等复杂高危手术,独立完成TAVR百余例。发表论文40余篇,其中SCI论文20余篇。主持国家自然科学基金1项,卫生部临床学科重点项目1项。获湖南省科技进步二等奖3项,湖南医学科技奖2项,中南大学医疗新技术成果奖3项。
胡信群
中南大学湘雅二医院
医学博士,主任医师,教授,博士生导师。
主要从事冠心病,先心病介入治疗研究;先后留学日本、法国、美国。在湖南省内率先开展急性心肌梗死冠脉内血栓抽吸术,血管内超声的应用,冠脉内旋磨的应用,急性心肌梗死延迟支架植入的策略,冠脉血流储备分数测定等一系列的新技术。
近年主持国家自然科学基金面上项目及教育部及省自然科学课题6项,近5年发表SCI论文30余篇;获湖南省科技进步奖项5项;获中南大学医疗成果奖3项,参编专著2部。


