2022年7月28日,在南方医院赣州医院(赣州市人民医院)罗骏副院长、崔凯执行主任的领导下,心内科联合超声科、麻醉科、心外科、重症医学等多学科组成的心脏瓣膜团队成功为一例重度主动脉瓣狭窄伴轻度反流且主动脉瓣叶冗长致冠脉风险较高的患者进行了TAVR(经导管主动脉瓣置入)手术治疗,血流动力学得到明显改善,术后恢复非常理想,获得了良好的手术结果。
患者基本情况
患者67岁女性,入院超声检查提示:主动脉瓣叶增厚毛糙钙化明显,开放受限,关闭欠佳,收缩期主动脉瓣向前血流速度增快Vmax=5.3m/s,平均压差116mmHg。升主动脉远端稍宽36mm,左室肥大,左室舒张功能减低,收缩功能正常,LVEF 69%。
术前CT评估
1. Type 1 型二叶式主动脉瓣,瓣叶增厚伴中度钙化,L-N间钙化融合嵴,左室流出道呈敞口型;
2. 冠脉开口高度尚可,左右冠瓣叶冗长,切线位左右冠瓣叶长度>>冠脉开口到瓣叶根部附着缘距离;冠脉未见明显钙化斑块;
3. 三窦大小不一,瓦氏窦、窦管交界内径偏小,升主动脉轻度扩张;左室腔内径尚可,心室壁未见明显增厚;
4. 瓣环水平夹角51°,主动脉弓夹角偏锐利,弓距偏小;
5. 主动脉弓、右侧髂总动脉可见散在钙化斑块,双侧股动脉穿刺处未见明显迂曲、钙化、狭窄,入路血管内径尚可。
CT动态预览
主动脉根部测量
瓣上结构测量
冠脉阻挡风险及钙化评估
外周血管入路评估
病例特点及手术难点
• Type1型二叶式主动脉瓣,L-N间可见钙化融合嵴,瓣叶增厚伴中度钙化,综合预估瓣膜锚定难度尚适中,瓣膜植入后受钙化融合嵴挤压影响存在形变及移位的风险,瓣周漏、瓣中瓣风险适中;
• 左右冠瓣叶冗长,切线位左右冠瓣叶长度>>冠脉开口到瓣叶根部附着缘距离,结合瓦氏窦、STJ、钙化分布特点综合预估冠脉堵塞风险偏高,术中球扩时密切关注冠脉血流灌注,备冠脉保护方案;
• 左室腔内径正常,心室壁未见明显增厚,术中关注患者血流动力学变化;
• 非横位心,主动脉弓夹角偏锐利,弓距偏小,预计输送器过弓、跨瓣难度稍增加,备snare辅助;
• 主动脉弓、右侧髂总动脉可见散在钙化斑块,入路规范操作,小心通过,避免入路相关并发症。
手术策略
• 采用全麻+TEE(经食道超声心动图)的手术方式;
• 右侧股动脉为主入路,左侧股动脉为辅助入路;
• 使用18mm球囊预扩,预装AV23瓣膜,左右重合位瓣环上0-2mm定位释放,释放至工作位后多角度观察左右冠脉血流灌注情况、瓣膜释放形态及植入深度,确认正常后再缓慢脱钩完全释放。
手术过程
考虑到术中积极行冠脉保护,该手术从绕动脉穿刺造影指导左右股动脉穿刺;
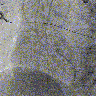
经桡动脉穿刺造影指导左侧股动脉穿刺
经桡动脉穿刺造影指导右侧股动脉穿刺
主动脉根部造影前观察确认左右冠脉血流灌注正常;
右冠造影
左冠造影
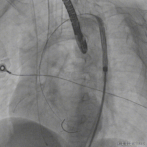
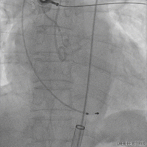
主动脉根部造影,主动脉瓣重度狭窄并轻度反流,进而导丝跨瓣成功;
主动脉根部造影
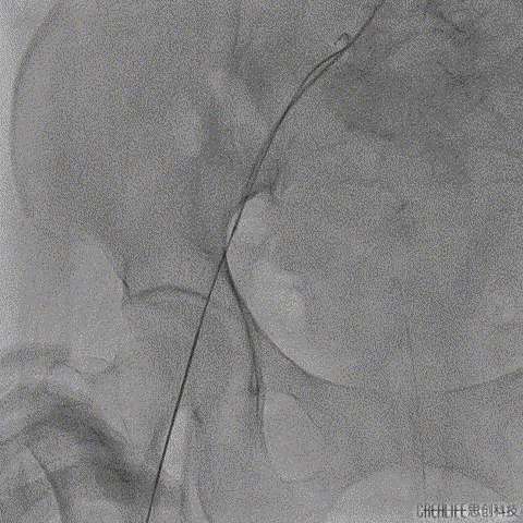
导丝跨瓣
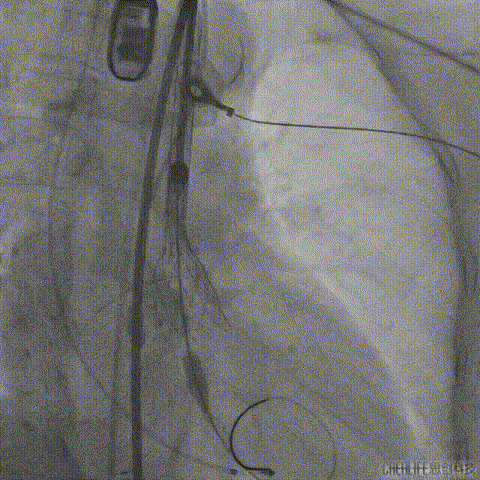
术前CT分析右侧的冠脉风险较高,球囊预扩前右冠开口处预放一个冠脉保护支架,采用18mm球囊预扩,有轻微腰征,无造影剂渗漏;
右侧冠脉保护准备
球囊预扩
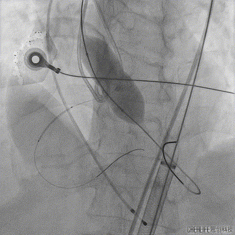
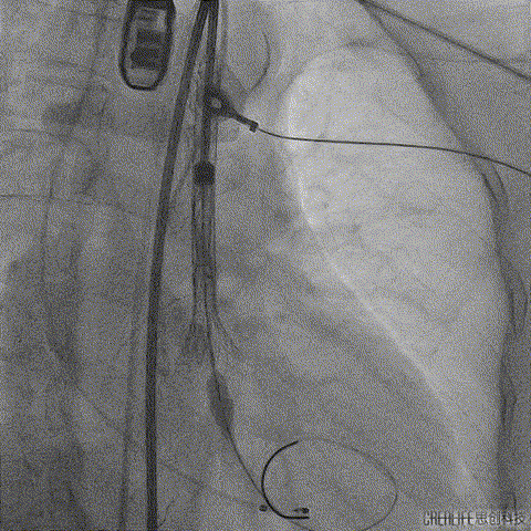
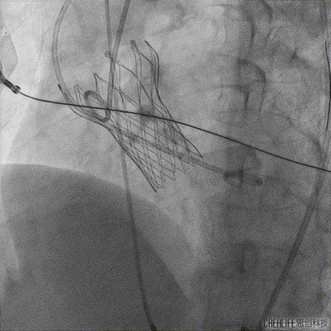
TaurusElite输送系统轻松过弓、跨瓣,AV23瓣膜瓣环上约2mm释放;
TaurusElite轻松过弓
瓣膜释放
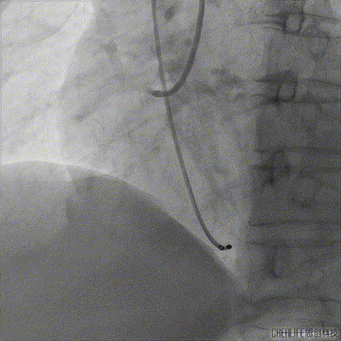
释放到工作位后多角度观察左右冠脉血流灌注情况、瓣膜释放形态及植入深度,确认没问题后再缓慢脱钩完全释放,最终造影显示瓣膜形态、位置良好,冠脉血流灌注正常,微少量瓣周漏;
瓣膜缓慢脱钩完全释放
术后根部造影
术后外周血管造影检查,确认未产生血管并发症。
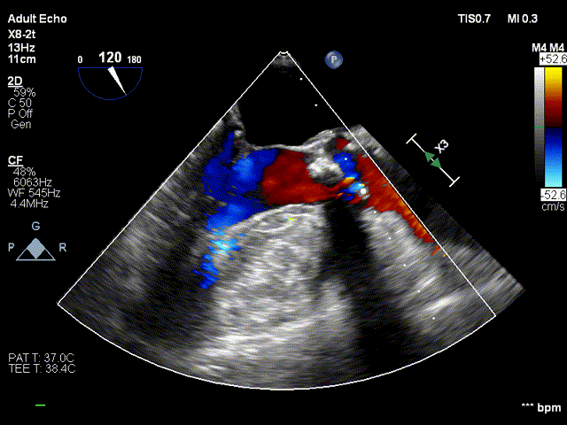
术前超声
术前超声-短轴切面
术前超声-长轴切面
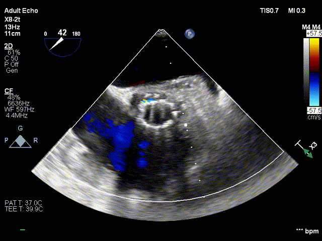
术后超声:
术后超声-短轴切面
术后超声-长轴切面
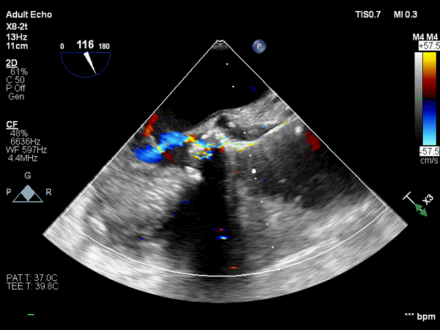
术前跨瓣压差
术后跨瓣压差
总结
随着TAVR技术在国内的普及,主动脉瓣狭窄患者有了更多的治疗选择。本例病人为主动脉瓣重度狭窄伴轻度反流,手术指征明确,患者明确拒绝外科手术,术前解剖形态评估适宜行TAVR手术,有TAVR手术指征。经罗骏、崔凯教授团队的综合评估,结合心内科、心外科、超声等多学科团队的讨论意见,最终决定为患者施行TAVR手术治疗。手术过程中,TaurusElite经导管主动脉瓣输送系统在保持回收性能稳定的同时兼具优异的柔顺性,顺利完成过弓、跨瓣操作。其次,针对本例患者钙化较重、瓣叶局部粘连的特点,TaurusElite瓣膜高密度流入端设计提供了足够的径向支撑力,保证了瓣膜的锚定力;低密度流出端的设计也兼具柔顺性,能帮助术者更好的完成过弓与跨瓣操作。此外,TaurusElite瓣膜内外双裙边设计能有效减少瓣周漏,适度的收腰既能保证足够的有效瓣口面积,又降低了冠脉阻挡风险。最后,面对临床复杂的解剖结构特点,瓣膜释放过程中可能出现瓣膜下滑或上跳的风险,增加了术中释放瓣膜的难度;而TaurusElite瓣膜系统具有多次原位回收、回收后可重新跨瓣等设计特点,让术者释放过程中更有信心,能降低手术风险,减少并发症的产生,从而让患者得到更好的预后。本例患者术中的情况验证了术前CT分析的准确性,最终瓣膜释放位置良好,冠脉血流灌注正常,术后压差明显降低,术后跨瓣压差从101mmHg降至2mmHg,仅有微少量瓣周漏。术后病人恢复良好,各项生命体征平稳,手术效果十分优异。
本次手术的成功体现了南方医院和赣州市人民医院共建国家区域医疗中心后精诚合作,术前罗骏、崔凯教授团队反复讨论手术方案,制定了详尽的手术计划,术中各团队密切配合,在罗骏副院长及崔凯执行主任的统一指挥下,各项手术流程准确无误,保证了良好的手术效果,也标志着南方医院赣州医院(赣州市人民医院)结构性心脏病的诊治上了一个新的台阶,以后将会造福更多的瓣膜疾病患者,为推动健康中国战略作出重大贡献。
专家简介
罗骏
南方医院赣州医院
南方医院赣州医院副院长、心脏中心主任、主任医师、博士后、博士生导师,江西省内科学会委员,江西省卫生系统学术和技术带头人培养对象,江西省生物医学工程学 会起搏与电生理分会常委兼副秘书长,江西省心血管分会房颤工作组副组长,卫生部介入培训基地指导老师,国家级和省级自然基金课题主持者。在国家级杂志发表论文数十篇。曾在南京医科大学附属南京市第一医院和江西省人民医院长期工作并担任科室主任助理和副主任。从事心内科临床工作近三十年在心血管疑难危重病人抢救上积累了丰富的经验。
专业特长:擅长各种心脏病介入治疗,特别是冠心病复杂病变,复杂心律失常,三腔起搏器及外周血管的介入治疗,在国内较早进行房颤的射频消融和经桡动脉冠心病介入治疗,指导省内外数十家医院开展心脏介入治疗。
崔凯
南方医院赣州医院
南方医院赣州医院执行主任,自1999年底开始从事心内科一线临床工作,尤其擅长高危复杂冠心病如CTO病变、急性心肌梗死合并心源性休克的介入诊疗,以及经导管主动脉瓣置换及二尖瓣修复,发表SCI及核心期刊10余篇。
广东省介入心脏病学会冠脉影像与功能学分会委员,中国医师协会冠脉介入培训导师,亚太结构性心脏病青年俱乐部银晶会员,大湾区心脏协会结构性心脏病分会常务委员。
陈丰
南方医院赣州医院
硕士,副主任医师。
赣州市人民医院心血管内科副主任、南院二病区主任;中国医师协会心血管内科专科医师分会青年委员;中国医师协会心血管冠脉介入培训基地导师;江西省医师协会心血管内科医师分会委员;赣州市医学会第四届心血管病学专科分会常委;中国医疗保健国际交流促进会心脏重症分会赣州市工作委员会秘书长兼常委;中国心脏联盟心血管疾病预防与康复专业委员会江西赣州联盟第一届常委;赣州市胸痛中心质控中心秘书;江西省整合医学学会心血管病分会委员;江西省中西医结合学会血栓与止血专业委员会青年委员;2004年毕业于江西医学院临床医学系,曾在广东省人民医院心血管病研究所进修学习,参加了全国冠脉介入培训班的学习。主持包括省自然基金在内课题多项,发表论文20余篇。
擅长冠心病、高血压病、心肌病、律失常、高脂血症、心脏瓣膜病的诊治。在冠心病介入和主动脉夹层腹主动脉瘤的介入治疗上有较丰富的经验,熟练掌握慢性闭塞血管、左主干、分叉、钙化等复杂冠脉的介入治疗,年介入量数百台。作为心内一科大血管和瓣膜亚专业组组长,年完成大血管介入治疗数十台,完成多台经皮主动脉瓣膜植入手术。
卢平
南方医院赣州医院
医学硕士,心血管内科专业高年资主治医师,结构性心脏病专业组副组长,PFO相关性卒中现代预防工作组组长,江西省公立医疗卫生机构人才提能提质工程培养对象。
从事心血管内科临床、科研及教学工作15年,擅长冠心病介入及结构性心脏病介入手术。
主持或参与市科技局、省卫健委、省科技厅及国自然课题共5项,以第一作者发表SCI、国家级论文数篇。
兼任中国人体健科技促进会结构性心脏病专业委员会委员,江西省研究型医院学会胸痛分会委员,中国医疗保健国际交流促进会心脏重症分会赣州市工作委员会,中国绿色电生理联盟赣州联盟委员,赣州市康复医学会心血管病专业委员会委员,赣州市介入心脏病委员会委员,赣州市医学会高血压病专业委员会委员等。



