2022年7月26日,东莞市人民医院心内科学科带头人郭素峡带领冠脉介入团队成功完成东莞市首例冲击波球囊治疗重度冠脉钙化介入手术。
叶老伯有着50余年的吸烟习惯,近年来反复胸闷胸痛,1周前症状明显加重,稍微活动或者静息状态下均有发生,就诊我院胸痛中心急诊,完善相关检查,考虑诊断急性非ST段抬高型心肌梗死,次日行冠脉介入手术,发现冠脉病变严重且伴有明显钙化。
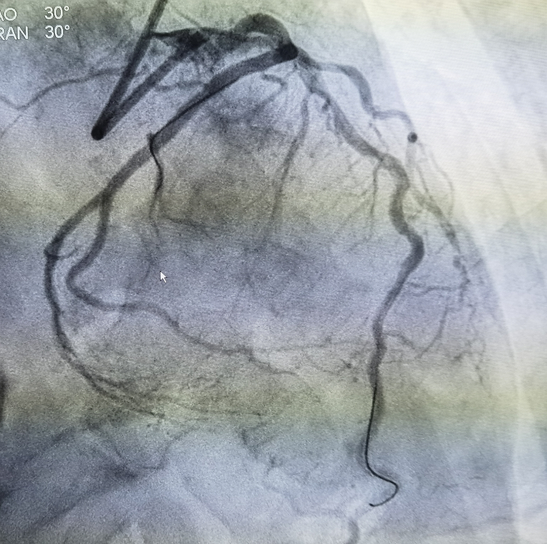
冠脉造影及IVUS检查提示前降支重度狭窄伴严重钙化
郭素峡主任表示,钙化病变在经皮冠状动脉介入治疗(PCI)手术中常伴随血管成角、扭曲病变,因而加大了PCI相关器械的使用难度和相关并发症的风险。其次钙化病变属于高阻力病变,传统球囊治疗难以充分扩张,通常需要高压球囊使用较高的压力扩张,因而血管易发生夹层、穿孔、破裂、无复流等现象。在后续的支架治疗中,若钙化病变未充分扩张,很容易出现由于支架膨胀不全、贴壁不良、支架变形而导致的支架内形成血栓、支架内再狭窄等风险。
冲击波球囊处理冠脉钙化病变
钙化病变明显改善
支架顺利通过病变并释放扩张、效果良好
冲击波球囊是目前冠状动脉钙化病变治疗的全新技术,具有操作简单,穿孔风险低,分支可以保留导丝保护,对于残余管腔直径大的环形钙化和钙化小结都可以起到良好的斑块改良效应等优点,有望成为处理冠脉钙化的终结者;目前研究充分验证了其在处理冠脉钙化病变时的安全性和有效性。
随着对新技术的不断探索和掌握,东莞市人民医院心内科将继续成为心血管领域新技术的开拓者和引领者,承担起守护人民群众心血管健康的重要责任。针对治疗难度大,手术技术要求高的冠状动脉血管钙化病变,我院心内科积极研究学习、并与时俱进,现拥有冠状动脉旋磨术(RA)、准分子激光冠脉斑块消蚀术(ELCA),和冲击波球囊技术(Shockwave IVL)三大法宝,为复杂高难度冠脉病变患者带来更多的选择和希望。
专家简介
周建平
东莞市人民医院
党委委员,副院长、主任医师;岭南名医,东莞三类名医,东莞市医疗骨干,东莞市爱岗敬业道德模范,东莞市高层次人才,2017年获全国卫生系统先进个人奖。现任广东省医学会胸外科分会常委,广东省医师协会胸外科分会常委,广东省医疗行业协会胸外科分会常委,国家级的海峡两岸医药卫生交流协会胸外科分会委员,广东省微创协会委员,广东省生物工程学会胸外科分会副主任委员,2019年任职东莞市医学会心胸外科分会主委,东莞市微创分会副主任委员。参与发表各类学术文章数十篇,参与多项市课题。擅长胸部疑难杂症的诊治,擅长肺癌、肺部良性肿瘤、食管癌、纵隔肿瘤、脑壁肿瘤,肺大疱气胸,漏斗胸,手汗症,胸部外伤等微创手术,对肺癌化、精准化治疗(包括肺癌靶向、免疫治疗、生物治疗)有较深认识。
郭素峡
东莞市人民医院
心血管内科学科主任,副主任医师,副教授,硕士生指导老师。医学博士,生物学博士后,日本东京女子医科大学访问学者,东莞市特色人才,东莞市胸痛中心质控主任,东莞市限制临床应用医疗技术质量控制中心心血管内外科专业组组长。广东省医学会心血管分会委员、胸痛组副组长,中国胸痛中心培训讲师,海峡两岸医药交流会老年医学专业委员会青年委员,中国医疗保健国际交流促进会心脏重症分会第二届委员,中国大湾区心脏协会心律学专业委员会委员,广东省医师协会心血管内科医师分会第三届委员会委员,广东省医院协会第二届心血管疾病质控管理分会委员,广东省医院协会第二届心血管疾病质控管理分会房颤学组组员,广东省心源性卒中防治基地建设联盟委员,粤桂琼房颤冷冻俱乐部联合主席。《中国综合临床》杂志编委。作为主持人承担各项课题7项,获省新技术引进奖两项,以第一作者,通讯作者发表SCI及中华核心期刊30余篇,专著一部,发明专利10项。擅长心内科常见病,多发病,疑难病的治疗,尤其是心内科各类介入治疗,包括冠心病介入治疗,心脏电生理起搏治疗,先天性心脏病及结构心脏病的介入治疗。
黄志超
东莞市人民医院
心血管内科专业副主任医师、硕士研究生,东莞市胸痛急救质量控制中心秘书。心内科专科工作10余年,在国家级、省级期刊发表多篇专业文章,擅长心内科常见疾病如冠心病、高血压、高脂血症、急慢性心力衰竭、心律失常的诊治,尤其是冠心病及其介入诊治。曾参加中国心血管疾病(心导管)介入诊疗培训1年,通过国家级考试考核,获国家卫计委医院管理研究所《全国心血管疾病介入诊疗技术培训项目冠心病介入培训考核合格证》、中国医师协会《中国心血管疾病介入诊疗培训项目冠心病介入考核合格证》,熟练掌握并能独立完成冠脉等血管造影和微创介入治疗技术,每年参与完成冠脉介入手术500台以上。
姚永钊
东莞市人民医院
心血管内科胸痛中心医疗组长,硕士研究生,主治医师;主要研究方向是如何防治缺血性心脏病的发生、发展;擅长于冠心病的介入诊疗、急危重症心脏病的诊疗、高血压、心肌病、急慢性心衰等;曾发表多篇学术论文:《腺相关病毒介导PDGF基因转染间充质干细胞的研究》,发表于《中华实验外科》,第29卷,2012年10月等;参与编写《干细胞技术在心血管疾病中的应用》中第十一章<干细胞联合基因技术治疗心血管疾病>,人民卫生出版社出版,2012年10月出版。参与编写《心血管内科会诊纪要》,清华大学出版,2021年3月第一版。授权发明专利2项:胸痛警示器,2019.02.14,中国,ZL 2019 2 0197061.X;药物球囊穿引器,2019.03.10,中国,ZL 2019 2 0184147.9。



