2022年7月末,上海市胸科医院何奔教授,潘欣副教授领衔的结构性心脏病团队,成功运用拥有自主知识产权的新一代申淇淇麟®-经导管三尖瓣夹及可操控导引导管系统,为一位高危功能性三尖瓣反流患者成功实施了股静脉途径经导管三尖瓣缘对缘介入修复术,手术过程顺利,首次植入耗时仅3小时左右,患者术后恢复良好。此手术的顺利开展,标志着上海地区介入三尖瓣缘对缘修复手术取得新的突破。
上海市胸科医院结构性心脏病团队,已经在雅培及申淇的经导管缘缘对合二尖瓣修复技术(TEER)中积累了较好的经验,是国内极少数几个较好掌握该技术的中心之一。此次手术由何奔教授主刀,TEE由心内科心脏影像亚专业负责人范怡婷博士实施,瑞士苏黎世赫兰心脏中心Taramasso和香港中文大学威尔斯亲王医院李沛威教授远程指导。该手术的成功实施,标志着上海交通大学医学院附属上海市胸科医院的心内科在经皮微创瓣膜导管技术迈向一个新的台阶,成为国内极少数掌握心脏四个瓣膜微创介入的中心之一。
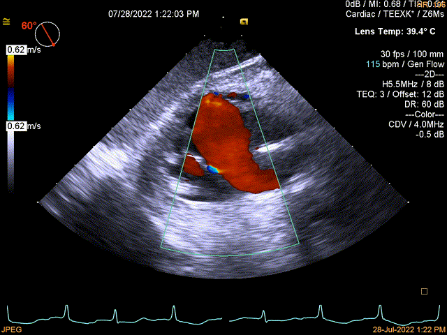
图1:术前TEE
术前TEE提示三尖瓣瓣叶活动尚可,无明显脱垂,隔瓣较短,反流束来源于后瓣及隔瓣交界处,后瓣及隔瓣对合缘保留良好,反流束同时向前隔交接延伸。
手术采用申淇淇麟®-经导管三尖瓣夹及可操控导引导管系统,其创新性的采用了复合多向调弯输送系统,在两层鞘管上具备三个不同方向的调弯,可以适应更加复杂的右心室解剖,达到很好的输送同轴性。
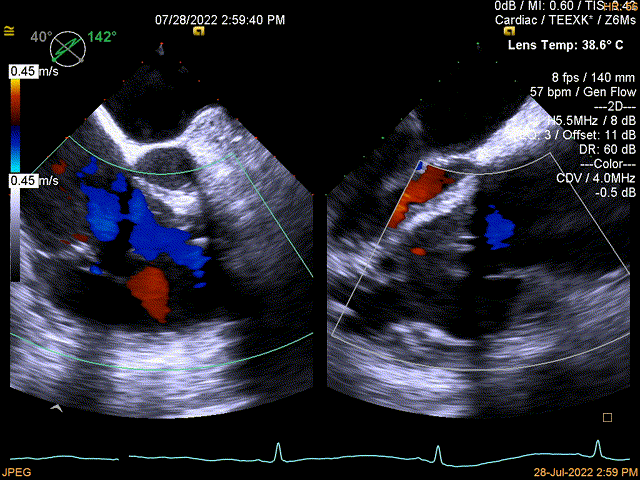
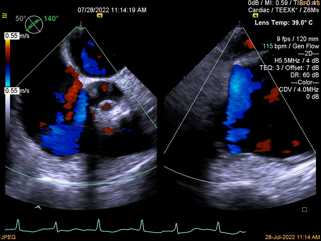
图2:术中TEE
同时其夹子系统继承于申淇淇麟®-经导管二尖瓣夹及可操控导引导管系统优秀设计,具备四个不同型号的夹子及瓣叶分开捕获能力,从而适用于更加复杂多变的三尖瓣解剖。因该患者三尖瓣反流束较宽,瓣叶存在较宽的关闭裂隙,术中很好的利用了瓣叶分开捕获的功能,于后隔瓣区域行瓣膜缘对缘修复。植入一枚长宽夹子后,术后即刻患者反流直接从5级减到2级,患者术后回复良好,自觉症状与临床病情明显改善。
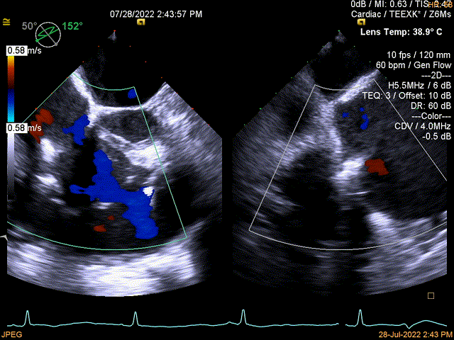
图3:术后即刻TEE
三尖瓣反流 (tricuspid regurgitation,TR) 是常见的心脏瓣膜疾病,欧美流行病数据显示其发病人群总数次于二尖瓣病变,高于主动脉瓣膜病变。其中功能性三尖瓣反流为主要病因,多继发于左心瓣膜病、心力衰竭、肺动脉高压和心房颤动等。三尖瓣返流有患病者众多,外科手术很少的特点,主要是外科手术三尖瓣风险高,死亡率在几个瓣膜的手术中是最高的,手术死亡率达8.8%~9.7%,亟待更加微创的经导管介入治疗方式。目前,虽然三尖瓣介入治疗技术路径繁多,真实世界中使用最广泛,临床证据最充分的依然是介入缘对缘修复,真实世界Trivalve注册研究显示接近百分之70%的介入三尖瓣手术是通过缘对缘技术完成的,凸显了介入缘对缘技术在三尖瓣介入领域中广阔的应用前景。申淇淇麟®-经导管三尖瓣夹及可操控导引导管系统的问世,更是为我国广大的三尖瓣患者人群提供了更多的治疗选择。
专家简介
何奔
上海市胸科医院
心脏中心主任,心内科主任,主任医师,博士生导师,二级教授。上海市优秀学科带头人,上海市领军人才、国家卫健委有突出贡献中青年专家,国务院特贴专家。擅长冠心病、瓣膜性心脏病以及房颤的左心耳封堵治疗,迄今完成各类心脏介入手术2万多例。主持多项国家级重点重大项目,以第一或通讯作者发表SCI收录论文100多篇,总影响因子500多分,论文H指数35。先后荣获上海市医学科技一等奖,教育部科技进步一等奖等多个奖项。他是美国心脏学院专家会员(FACC),欧洲心脏学院专家会员(FESC),美国心脏造影与介入学会专家会员(FSCAI),中华医学会心血管病学分会全国常委,中国研究型医院学会心血管循证与精准医学专业委员会副主任委员,海峡两岸医药卫生协会心血管专业委员会副主任委员,中国心律协会左心耳封堵学组组长。曾获“上海市十佳医生”、“中国十大口碑医生”;上海市五一劳动奖章,上海交通大学校长奖,宝钢全国优秀教师奖等荣誉。
