近日,云南阜外医院潘湘斌教授团队、武汉协和医院董念国教授团队于一天内完成3例LuX-Valve Plus经血管三尖瓣置换手术,均获得圆满成功,患者恢复良好,术后即刻超声显示人工三尖瓣无反流和瓣周漏。在人口老龄化逐渐加重的今天,重度三尖瓣反流患者人群在不断扩大,LuX-Valve Plus经血管三尖瓣置换系统的成熟应用让更多的三尖瓣反流患者获得重生希望。
接受治疗的是三例重度三尖瓣反流患者,术前基础疾病多,均患有严重心律失常,其中两例患者NYHA心功能Ⅱ/Ⅲ级。结合术前CT评估结果,三例患者的自体瓣环都较大(图1-3),最大者平均瓣环为53.7mm;有一例患者有起搏器植入史,术中操作有缠绕起搏器导线的风险;三例患者入路血管均无严重迂曲和钙化。经术前讨论分析,潘湘斌教授及其团队潘家华教授、朱达教授、王首正教授以及心超室的骆志玲教授,董念国教授及其团队谢明星教授、尚小珂教授、陈澍教授、钟禹成教授经过讨论决定,采用创新的 LuX-Valve Plus经血管三尖瓣置换系统对患者进行手术。LuX-Valve Plus是我国自主研发的经血管介入三尖瓣置换系统,经颈静脉入路的微创方式可进一步降低对患者的创伤。
图1-3. 术前CT评估三例患者瓣环大小
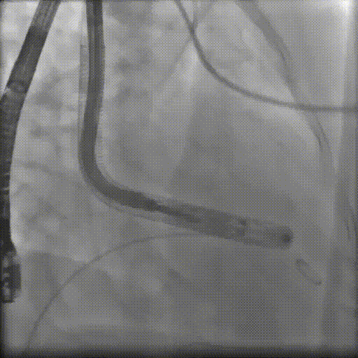
手术在全麻状态下进行,采用经右侧颈静脉入路,在TEE和DSA的指引下缓慢送入输送器进入体内,进入右室后释放室间隔锚定装置,旋转输送器,使得锚定装置对准室间隔面;释放前瓣夹持件,确定夹持件位于右室侧后释放人工瓣膜盘片,DSA及超声确认盘片位于右房侧,并适时调整瓣膜的同轴性。在DSA和超声的监视下调整室间隔锚定件贴合室间隔,释放室间隔锚定装置。再次确认瓣膜的稳定性和同轴性后,将输送器撤出体内,最终完成瓣膜植入(图4-5),手术室即刻拔除气管插管。术后超声提示人工三尖瓣同轴性良好,瓣架固定牢靠,无反流和瓣周漏,术后三尖瓣平均跨瓣压差显著降低。
图4-5.术中DSA
三尖瓣反流(Tricuspid Regurgitation,TR)影响着超过160万美国人口及全球7000万人口[1-2]。研究表明,中重度TR在人群中很常见,且患病率随着人群年龄增长而增长[3]。目前中重度TR已被证实可以增加患者死亡风险[4],因此,纠正或减少TR是改善患者预后的重要目标。多中心的临床实践表明,LuX-Valve Plus可有效降低TR,改善患者的生活质量。其全球首创的“非径向支撑力依赖”和“室间隔锚定”理念大大减低了传导阻滞的风险,能更好适应三尖瓣组织菲薄脆弱的特性,并且能够应用于较大瓣环的患者,适用人群更为广泛。临床术者一致认为,LuX-Valve Plus经血管三尖瓣置换术操作较为简化,经颈静脉入路更是进一步降低了手术风险和对患者的创伤。
目前,LuX-Valve Plus全球救治性临床研究已顺利完成,围术期无院内死亡事件、脑血管事件、心梗和再次手术干预事件发生。术后30天患者三尖瓣反流程度显著降低,NYHA心功能显著改善,无心血管死亡、脑血管事件、心梗和再次手术干预事件发生,术中容错率高,在对患者进行有效治疗的同时给术者带来了很好的手术体验,得到了国内外医生同道的一致好评。现如今,LuX-Valve Plus FIM研究已在全国多中心正式开展,期待能有更多的三尖瓣反流患者从中获益。
参考文献:
1.Demir OM, Regazzoli D, Mangieri A, et al. Transcatheter tricuspid valve replacement:principles and design[J]. Front Cardiovasc Med, 2018, 5:129.
2.Singh JP, Evans JC, Levy D, et al. Prevalence and clinical determinants of mitral, tricuspid, and aortic regurgitation (the Framingham Heart Study)[J]. Am J Cardiol, 1999, 83(6):897-902.
3. Benfari G, Antoine C, Miller WL, et al. Excess mortality associated with functional tricuspid regurgitation complicating heart failure with reduced ejection fraction[J]. Circulation, 2019, 140(3):196-206.
4. Chorin E,Rozenbaum Z,Topilsky Y,et al. Tricuspid regurgitation and long-term clinical outcomes [J]. Eur Heart J Cardiovasc Imaging,2020,21(2):157-165.
专家简介
董念国
华中科技大学同济医学院
附属协和医院
武汉协和医院心脏大血管外科科室主任,主任医师,教授,博士生导师。现为中华医学会胸心血管外科分会副主任委员,中国医师协会心血管外科分会副会长,中华医学会胸心血管外科分会终末期心衰外科治疗委员会主任委员,中国医师协会心血管外科分会重症医学委员会主任委员,美国胸心血管外科学会(AATS)及国际微创胸心外科学会(ISMICS)委员。《临床心血管病杂志》、《国际心血管病杂志》、《中国心血管病研究杂志》、《Innovation》副主编。引领中国心脏移植的发展,建立符合中国国情的心脏移植技术规范。
近十年完成心脏移植500余例,手术规模连续四年排名全国第一,近中期生存率达国际先进水平。创造了最小年龄最低体重(3月、3.75kg)心脏移植、最高年龄(76岁)心脏移植、心肝联合移植等多项全国及亚洲记录。提出了武汉协和边缘供心标准,将国际公认的冷缺血安全时间由4小时延长至6-8小时,提高供心利用率。推动中国心脏瓣膜病临床与基础研究,促进我国瓣膜病防治水平的提高。阐述了我国心脏瓣膜病的流行情况,建立了瓣膜病规范化诊疗标准,发现了风心病相关遗传学标志物。针对临床生物瓣衰败缺陷,国际率先采用PEG交联改性去细胞瓣,制备了具有自主知识产权的新型组织心脏瓣膜,获国家发明专利12项。
主持承担国家级课题10余项,累计经费超过5000万元。发表论文291篇,SCI收录75篇。主编及主审专著6部,主译1部,总字数超过500万。以第一完成人获省部级一等奖4项,二等奖1项。先后获“卫生部有突出贡献中青年专家”、“全国卫生计生系统先进工作者”、“中国研究型医院杰出中青年人才奖”、“荆楚楷模”等多项荣誉。
潘湘斌
中国医学科学院阜外医院
院长助理,结构性心脏病中心主任,云南省阜外心血管病医院执行院长,华中阜外医院总院长助理。复合型心血管病专家,发明15项世界首创技术,获得25项国内外专利,多项产品在国内外上市,以中国技术、中国产品构建了具有完全自主知识产权的中国方案。其发明成果得到国际同行的广泛认可,受聘担任美国胸外科医生协会(STS)、心血管介入协会(SCAI)及美国心脏病学院(ACC)外籍资深专家,多次受邀赴法国、英国、俄罗斯、加拿大、土耳其、肯尼亚等二十多个国家和地区现场演示手术,多次出色完成国家医疗外交任务,其主编的教材被欧美专家翻译成英文,培养了来自美国、德国、日本、土耳其等三十余个国家的学员,成规模、成体系地向世界输出中国方案。

