2022年7月20日,南方医科大学南方医院(以下简称“南方医院”)修建成教授团队,在心脏中心、麻醉科等科室倾力协助和技术支持下,成功行TEER手术救治一例急性心肌梗死腱索断裂致二尖瓣重度反流患者。
病例介绍
基本情况:74岁老年女性,因“胸痛、胸闷1周”入院。
诊断:“急性侧壁心肌梗死,于外院行急诊冠脉造影回旋支完全闭塞,于回旋支植入支架,术后患者反复发作急性心力衰竭,肺部渗出合并感染,床旁心脏超声提示:LV:43mm,LA:43mm,EF:46.3%,左房增大,左心室侧壁室壁瘤形成,二尖瓣前叶腱索断裂脱垂合并重度关闭不全。
患者血氧饱和度进行性下降,感染指标上升,需要大剂量的血管活性药物维持血压。病情危重,转入南方医院心内科以后行呼吸机辅助通气,予以抗感染、抗心衰、升压、化痰、镇静等治疗,患者血压仍需要大剂量的去甲肾上腺素和多巴胺维持,多次复查胸片提示肺水肿逐渐加重,感染指标持续升高,患者无法脱机成功,心衰指标呈现上升趋势,心功能逐渐下降。
思考:患者无法脱机的原因主要是什么?下一步诊疗计划如何?
MDT团队讨论
考虑患者为老年女性,急性ST段抬高型下壁心肌梗死合并二尖瓣腱索断裂的严重机械并发症,导致二尖瓣重度反流,急性心力衰竭,且合并严重的肺部感染、肾功能不全、高血压等合并症,STS评分12.3%,外科二尖瓣修复风险极高。
目前患者无法脱机的原因主要考虑因二尖瓣脱垂伴重度反流导致患者反复发作心力衰竭,且因肺淤血及长期卧床导致重症肺部感染,主要症结在于二尖瓣腱索断裂导致二尖瓣重度反流。
考虑到患者目前病情危重,病情复杂,解决二尖瓣关闭不全成为患者存活的重要手段。既往发表在《European Heart Journal》文章比较了在急性心肌梗死并发重度二尖瓣反流患者中,三种手术方式(外科二尖瓣置换、经导管二尖瓣缘对缘修复和药物保守治疗)对预后差异的研究,研究结果显示早期积极行经导管二尖瓣缘对缘修复技术(Transcatheter edge-to edge repair, TEER)能显著改善患者的远期预后,降低住院期间死亡率。
术前超声评估
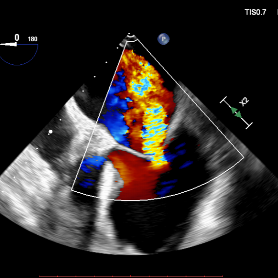
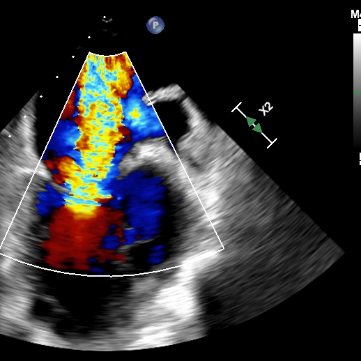
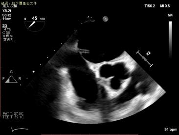
1.四腔心切面和二腔心切面可见左室高侧壁室壁瘤形成,二尖瓣瓣叶脱垂伴重度反流。
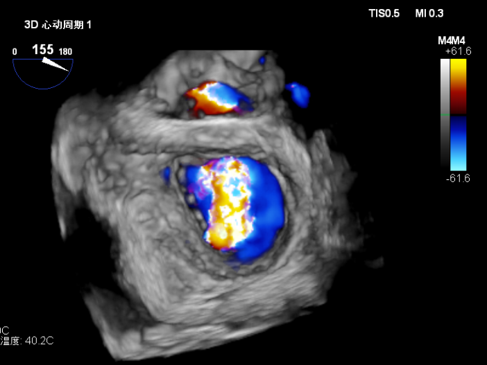
3D MV View: 二尖瓣前后瓣叶对合不全,A2/P2稍偏1区可见未闭间隙。PISIA主要来源于A2/P2区域。
手术过程
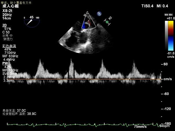
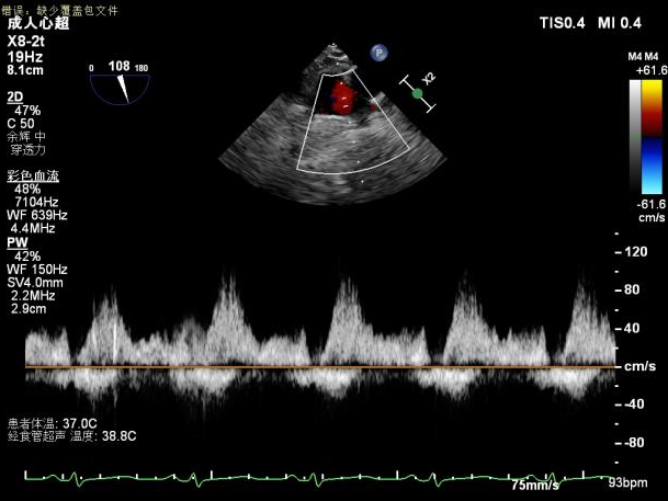
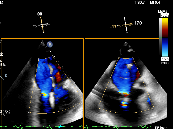
术后即刻超声提示二尖瓣反流下降至微量,二尖瓣平均跨瓣压2mmHg,多切面证实夹合组织充分,左上肺静脉多普勒波形由反向恢复正常。
小夹子拯救大生命!
关键步骤:
2.X-plane切面调整瓣膜夹的位置:主要定位PISIA最明显的A2/P2区,分别二尖瓣交界联合切面和 LVOT切面调整夹子轴向,同时在3D切面上观察夹子方位和区域,瓣膜夹位置良好,轴向和方位均理想后,捕获A2/P2偏1区处的前后瓣叶,逐渐关闭瓣膜夹,TEE显示二尖瓣反流明显减轻至微量,3D视角显示组织桥连续完整,瓣叶抓捕稳定。彩色血流提示微量的瓣膜反流,测量平均跨瓣压差3mmHg,复查左上肺静脉血流频谱恢复正向,手术效果理想,逐步释放瓣膜夹系统撤出体外。
总结
急性心肌梗死后乳头肌断裂或腱索断裂是心梗后严重的机械并发症,常导致严重的肺水肿及心源性休克,与不良预后密切相关。
今年2月份刚发表于《European Heart Journal》的在急性心梗并发重度二尖瓣反流患者中行外科、介入和保守治疗对预后差异的研究,研究结果提示尽早行缘对缘修复技术能显著改善患者的不良预后。
专家简介
修建成
南方医科大学南方医院
教授,主任医师,医学博士,博士生导师,心血管内科副主任、导管室主任,增城分院心血管内科主任。美国哥伦比亚大学医学中心博士后,美国纽约长老会医院IVUS fellow,美国心血管病研究所研究员,柏林心脏病中心、瑞典林雪平大学医学中心访问学者。擅长冠心病、心脏瓣膜疾病及心血管危重症的诊断和治疗,尤其是冠脉复杂病变、慢性完全性闭塞性病变及主动脉瓣狭窄的介入治疗,以及IVUS、FFR、准分子激光、冠脉旋磨成形术等技术。近年来,带领南方医院瓣膜团队开展了经皮主动脉瓣置换术(TAVR)及缘对缘二尖瓣钳夹术等微创瓣膜手术。任中国大湾区心脏协会泛血管医学分会主任委员、第九届中华医学会心血管病学分会青年委员、第九届中华医学会心血管病学分会冠心病与动脉硬化学组委员、海峡两岸医药卫生交流协会心血管专业委员会常委、亚太结构性心脏病青年俱乐部黄金会员、中华医学会中华健康管理医学教育学院专家委员会常委等职。主持一项国家重点研发计划课题、三项国家自然科学基金及多项省部级课题,参与“973”、“863”、国家“十一五”科技支撑计划等多项重点课题。曾获广东省科技进步二等奖及广州军区医学创新奖一等奖,国家发明专利2项,发表论文80余篇。
陈国军
南方医科大学南方医院
医学博士,副主任医师。国家卫健委冠心病介入培训导师,中国医师协会冠心病介入培训导师,南方医院心内科冠心病及结构心脏病亚专科副主任,广东省介入性心脏病学会第五届理事会理事,大湾区心脏协会泛血管医学分会常务委员,亚太结构性心脏病俱乐部银晶会员,广东省ASCVD防治循证医学委员会委员。主攻冠心病及瓣膜病的介入诊治方向。擅长心脏危重症救治、冠心病及心脏瓣膜病的介入诊治。可熟练开展危重症及复杂冠脉介入手术,并能娴熟应用各种无创评估手段及冠脉旋磨术等精准指导及优化冠脉介入手术。作为南方医院瓣膜中心核心成员长期从事经皮置换主动脉瓣(TAVR)及经皮二尖瓣修复(TMVR)等前沿手术。发表SCI论文10余篇。主持省级自然科学基金一项,参与国家自然基金及省级课题项目5项。参编“十二五”国家系列专著《冠状动脉疾病影像学》一部。参编《心血管危急重症诊疗学》一部。
韩渊
南方医科大学南方医院
心血管病学博士,主治医师,现担任美国心血管造影和干预协会(SCAI)会员,中国大湾区心脏协会泛血管医学分会委员,大湾区心脏协会泛血管医学分会秘书,广东省医学会心血管病分会肺血管组委员,广东省老年保健协会动脉粥样硬化性心脑血管病防治循证医学专业委员会委员。
主要从事冠心病和心脏瓣膜病的微创介入治疗,急诊介入技术救治危重急性心肌梗死、老年高危复杂冠脉病变,尤其擅长慢性完全闭塞病变(chronic total occlusion,CTO)的正、逆向介入治疗以及主动脉瓣狭窄的TAVR手术和重度二尖瓣反流的TEER手术。熟练掌握正向夹层重回真腔技术(ADR)高效开通复杂CTO病变,熟练应用IVUS、OCT、FFR、冠脉旋磨术、准分子激光、振波球囊 (shockwave)等技术。主要研究心肌再生与修复、腹主动脉瘤和超声分子成像的研究,参与广东省自然科学基金团队项目1项,国家自然科学基金面上项目2项,目前共发表文章10余篇,其中SCI文章5篇,参编“十二五”国家系列专著《冠状动脉慢性完全闭塞病变-策略技术与方法》、《慢性完全闭塞病变逆向介入治疗》,《心血管病学进展2018》等多部,多次应邀参加TCT、SCAI、CIT、PCR、GWICC等重要学术会议并作汇报,参与了国内大型临床研究和心血管学术沙龙论坛等活动。曾荣获全国急诊PCI病例大赛一等奖,全国CTO病例大赛一等奖,香港HKCC最佳介入病例奖,和美国SCAI最具挑战性病例奖等多项荣誉。


