近日,厦门大学心血管病医院王焱教授领衔的结构性心脏病团队,成功运用臻亿医疗自主研发的NeoBlazar®经导管三尖瓣夹合器及输送系统,为一位高危功能性三尖瓣重度反流的患者实施微创经导管三尖瓣修复术。此次手术系NeoBlazar®临床实验全国首例入组,手术过程顺利,患者术后反流由4+降至1+,心衰症状缓解,目前康复出院。此次手术成功标志着由王焱、董念国教授牵头的NeoBlazar®经导管三尖瓣全国多中心临床研究正式启动。
据悉,NeoBlazar®经导管三尖瓣夹合器及输送系统已在国内3家顶级医疗机构完成第一阶段可行性临床试验,厦门大学心血管病医院王焱教授团队、华中科技大学同济医学院附属协和医院董念国教授团队和云南阜外心血管病医院潘湘斌教授团队初步验证了NeoBlazar®系统的安全性和有效性。入组患者器械成功率100%;无手术死亡,90%患者术后反流降低至少2+,心功能得到明显改善。
患者简介
患者,男,82岁,以“反复胸闷气促3年,再发加重3天”为主诉入院。
主要诊断:1. 冠状动脉粥样硬化性心脏病 PTCA术后2.心脏瓣膜病 心功能不全 三尖瓣重度反流 3.心律失常 心房颤动 4.高血压病。患者既往多次心衰发作合并双下肢重度水肿入院,强化抗心衰、控制心室率、利尿药物治疗后仍效果不佳,此次心衰再发入院,王焱教授领衔结构性心脏病团队充分评估,考虑三尖瓣钳夹术是目前治疗该患者的最优选择,遂决定使用臻亿医疗NeoBlazar®经导管三尖瓣夹合器对患者进行治疗。
入院经胸心脏彩超诊断:1、重度三尖瓣关闭不全(TR 4+)。2、双房右室扩大,以右心扩大为著;升主动脉及肺动脉增宽。3、左室壁整体运动不协调。4、轻度二尖瓣反流;轻度主动脉反流。5、左室整体收缩功能正常。6、右室壁收缩功能减低。
经食道超声评估
3DTEE显示双房及右室扩大(RA52mm×50mm;RV31mm);左房及左心耳未见附壁血栓;左室下壁基底段运动减弱;三尖瓣环左右径38mm,三尖瓣前叶长度24.5mm,后叶 长度25.7mm,三尖瓣隔叶长度15.7mm,三尖瓣后隔gap3.1mm;前隔gap2.3mm,三尖瓣 TAPSE16mm;余各瓣膜回声纤细柔软,开放幅度正常;未见心包积液。2、彩色及频谱多普勒显示:收缩期三尖瓣口反流束主要来源于前隔交界,前隔交界反流束缩流颈宽度6.7mm,后隔交界反流束缩流颈宽度5.8mm;舒张期三尖瓣口平均跨瓣 压差1mmHg;收缩期二尖瓣口可见微量反流信号;舒张期主动脉瓣口反流束缩流颈宽 度3.0mm;PAPs35mmHg。
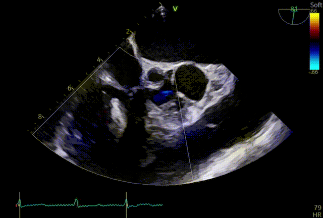
术前TEE:食道中段view提示三尖瓣重度反流
术后TTE:食道中段view提示三尖瓣轻度反流
手术经过
患者全麻后,在经食道超声心动图和DSA引导下经股静脉穿刺,送入导丝建立右心房通路,沿导丝将22F可调弯导引鞘组送入右房,再沿导引鞘管送入一枚夹合器至右房,在超声食道中段RV Inflow/Outflow切面和经胃三尖瓣短轴切面多次切换引导下,调整夹合器夹合位置,使夹合器顺利到达三尖瓣前叶与隔叶间反流最大区域,跨瓣后进行瓣叶捕获和夹合,后经食道超声心动图确认瓣叶夹层牢固及有效长度,释放夹合器。患者术后即刻超声心动图评估三尖瓣反流1+,肝静脉逆流较前明显减少。
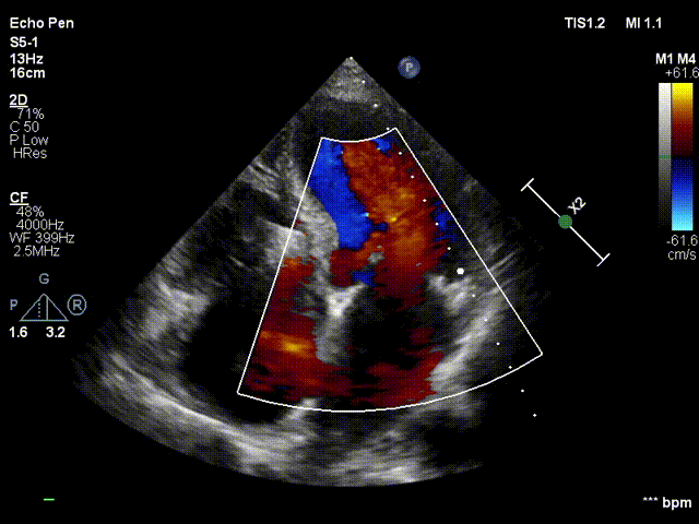
术前TTE:三尖瓣重度反流
术后TTE:夹合器稳定,三尖瓣轻度反流
三尖瓣瓣膜病是常见的心脏疾病之一,起病隐匿,往往容易被忽视,故三尖瓣常被称作“被遗忘的瓣膜“。但三尖瓣反流患者数量庞大,中国中度至重度三尖瓣反流患者人数由2016年860万增至2020年920万,且由于人口老龄化,这一数据仍在不断攀升。这类患者生活质量底下,死亡率高(约36%的严重三尖瓣反流患者在确诊一年后去世,而约47.8%患者在确诊5年后去世)。以往治疗三尖瓣反流,外科手术是其最为主要的治疗手段,但由于创伤大、并发症多、围手术期死亡率高等缺陷,让绝大多数三尖瓣反流患者因无法耐受外科手术而无法得到有效治疗。但随着经导管器械与技术不断创新,让三尖瓣微创修复成为可能。目前国外TRILUMINATE、CLASP-TREFS以及TriClip bRIGHT study研究中长期随访的数据均证实经导管三尖瓣缘对缘修复技术的安全性和有效性。
厦心王焱教授领衔的结构性心脏病团队在瓣膜介入治疗领域始终不懈努力,持续创新,此次顺利完成国产自主创新研发的三尖瓣修复系统(NeoBlazar®)全国多中心注册临床首例受试者入组,为国产自主研发的三尖瓣介入产品临床试验稳步发展注入更多信心,后续也将会有更多的循证医学证据进一步证实该产品的安全性和有效性。王焱教授表示:“微创介入技术为高危三尖瓣反流患者带来了希望,相信随着国产器械的不断发展,理念的不断进步,未来三尖瓣治疗领域必将会让患者获得更为多元化、多样化的治疗方式。”
专家简介
王斌
厦门大学附属心血管病医院
门诊时间: 周二上午,周三下午
陈翔
厦门大学附属心血管病医院
医学博士,主治医师,厦门大学附属心血管病医院主治医师,美国心血管造影与介入学会会员(FSCAI),中国病理生理学会会员,厦门大学医学院MBBS讲师,EHJ中国青年编委,CVIA青年编委。
擅长复杂冠心病、心脏瓣膜病的微创介入治疗。
承担和参与多项国家级及地市级课题研究。发表多篇SCI,第一作者单篇最高影响因子11.195(JACC interv)。
门诊时间:周一下午,周三上午,周日下午

