喜讯!浙大一院成功开展经导管三尖瓣环修复新技术,1天内治疗3名重度三尖瓣反流患者,达全国领先水平

继开展了“经导管主动脉瓣置换”技术、“经导管二尖瓣叶修复”技术、“经导管二尖瓣置换”技术后,浙江大学医学院附属第一医院再度花开,2周内成功拿下6例“经导管三尖瓣环修复”技术病例,均获三尖瓣反流改善的优秀效果,实现了瓣膜学科微创化的整体解决方案。

浙江大学医学院附属第一医院心脏大血管外科是浙江省的危重心胸外科疾病诊治中心,年开展成人心脏手术2000余台,为全省第一且全国前列。除了在传统的瓣膜外科、冠脉外科、大血管外科、复杂先心矫治、心脏移植等方面处于全国先进水平,在功能性三尖瓣反流领域具有深厚的学术研究,现就微创瓣膜技术开展也取得优秀成绩。

本项新技术[采用K-Clip系统进行的经导管三尖瓣环修复], 在浙大一院心脏大血管外科马量教授、倪一鸣教授带领下,与李伟栋教授、赵海格教授、吴胜军教授、徐鸿飞教授、滕鹏教授;超声科牟芸教授、厉竟教授;麻醉科吴健教授、张德林教授、潘彩飞教授及手术室、放射科和ICU等多学科心脏团队共同完成。且本项目在浙大一院的顺利开展,得到了复旦大学附属中山医院葛均波院士心脏团队的学术支持。

首例患者

殷小梅(患者为化名,征得患者及家属同意后采用以下照片)

女,84岁,房颤11年,下肢与全身严重水肿、肺水肿及肺大泡、气喘、无法步行50米、无法上楼梯、无法平卧。

入院诊断为:三尖瓣极重度关闭不全(瀑布样反流)、心律失常、胸腔大量腔积液、腹腔大量积液、肾功能不全;经心脏团队评估,外科手术高危(EuroScore II: 18.6%),遂行经导管三尖瓣环修复术。

术者为患者植入2枚K-Clip,将扩大的三尖瓣环进行缩小,整个手术时间不到1小时,其中器械操作时间30分钟,即完成了手术。

术后第三天患者即在病房自由步行溜达,当天下午康复良好出院。家属直呼“神奇”。

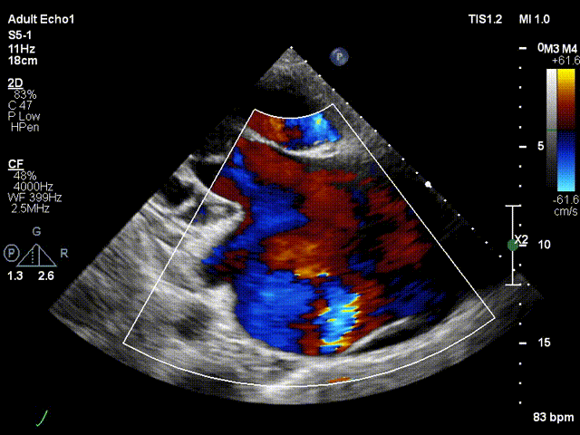
术前超声

巨量三尖瓣反流 [平均缩流颈宽度2.37 EROA 2.01 返流量140ml]

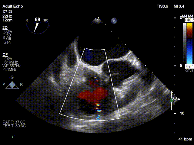
术后超声

仅有微量反流

术前手术规划

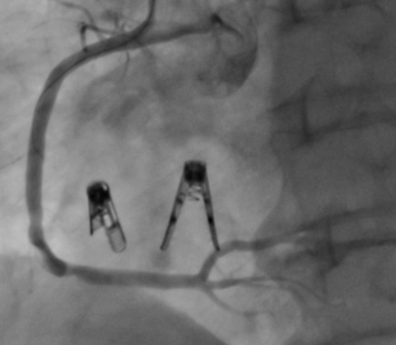
术后DSA

治疗前后,患者判若两人,患者从生活质量极低改善为生活自理自如。术后,只需继续遵医嘱用药,则将保持在良好的身体状态。

患者

本项新技术自首例使用后, 陆续完成了6例患者的手术,均将患者从重度三尖瓣反流,经过一个仅需要穿刺完成的手术,康复为轻度三尖瓣反流,症状获得了巨大的改善,效果令患者满意。

目前浙大一院心脏大血管外科已经常规开展这项技术,因其创伤小、手术时间短,曾一天内以该项技术成功救治3例重度三尖瓣反流患者,为患者带来福音。

本项技术将持续在浙大一院展开,期待为更多的三尖瓣反流患者带来生存的希望,和高质量的生活保障。

延伸阅读

· CSI 2022|林逸贤教授携汇禾医疗K-Clip™手术及临床研究结果亮相

· 登陆欧洲!中国智造K-Clip™在西班牙成功入组CE首2例患者!

· EuroPCR 2022 | 葛均波院士、Thomas Modine携K-Clip™登陆全球学术高地欧洲心血管介入会议
· K-Clip早期研究结果喜人!中国专家走向经导管三尖瓣修复循证

阅读数: 5858