近日,宁波市第一医院心外科励峰教授带领的心血管外科团队成功为一位三尖瓣生物瓣衰败的高危患者实施经右房介入式瓣中瓣植入术(TTViV)。传统的再次开胸瓣膜置换术是生物瓣衰败后的标准治疗方式,然而较高的手术死亡率和并发症发生率迫使许多不能耐受传统外科手术的高危患者不得不放弃手术治疗。该团队在TTViV技术上的突破,大大减轻了患者和家属的顾虑,手术过程顺利,患者获益良好,这也将为该区域广大患者带来福音。
患者情况
男性,胸闷气急30年,15年前因二尖瓣前叶脱垂、穿孔伴重度二尖瓣反流,同时三尖瓣增厚伴重度反流,接受了二尖瓣机械瓣置换术+三尖瓣生物瓣置换+左心耳封堵。有高血压史8年余。6月前无明显诱因下出现胸闷,1个月前加重,经诊断为三尖瓣关闭不全。入院后接受了起搏器植入手术。
心电检查
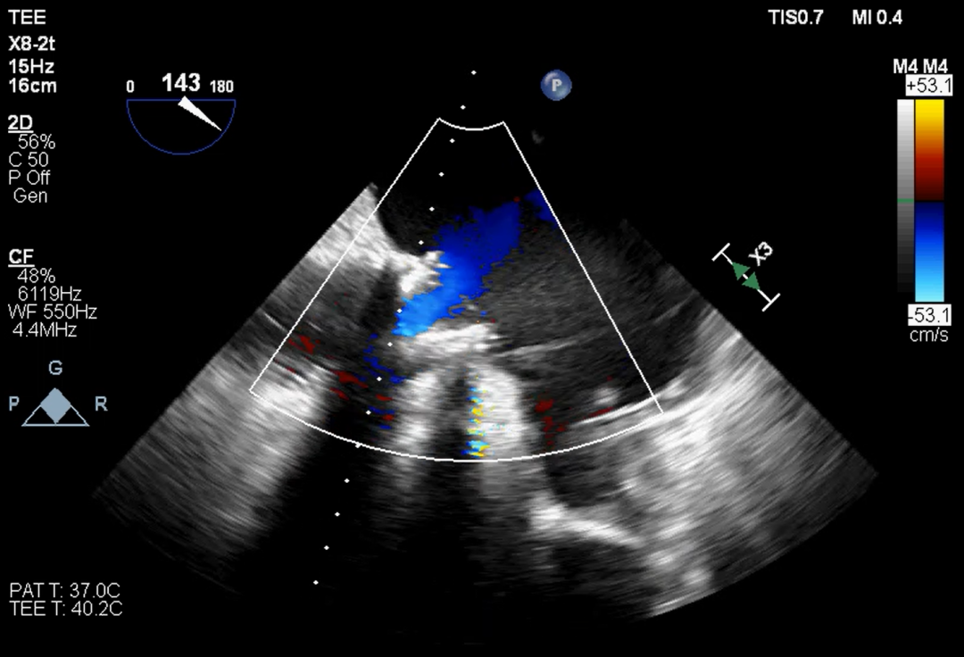
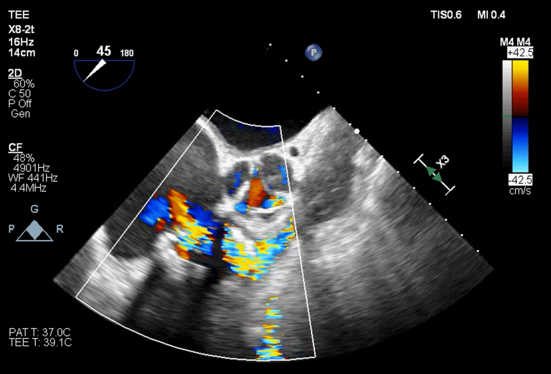
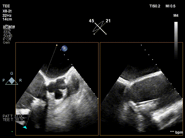
超声提示
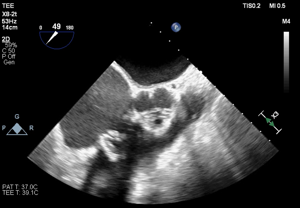
影像分析
生物瓣金属内径28.9mm
面积折算直径21.6mm
周长折算直径21.8mm
手术难点
手术策略
手术过程
总结
无论开展任何瓣位的瓣中瓣手术前,都应先明确原外科生物瓣的类型和型号,不同类型的外科生物瓣都具有不一样的透视下特征,如果透视性差的情况下,术中需要结合TEE协助定位。同样,原外科生物瓣的尺寸也对介入瓣尺寸的选择至关重要。
本例患者15年前因三尖瓣增厚伴重度反流,接受31#三尖瓣生物瓣置换。该类型的外科生物瓣在影像下透视性差,术中难以清晰捕捉其形态和位置。同时,其右心室狭小,留给介入瓣操作的空间有限,使得本次手术难度升级。宁波市第一医院心外科励峰主任团队凭借丰富的瓣膜外科手术经验,成功经右房途径TTViV植入一枚29#的J-Valve瓣膜。J-Valve经心尖介入瓣膜系统,在治疗生物瓣衰败的改为患者中行瓣中瓣植入术可以取得良好的临床效果。其独特的定位件设计,能够准确牢固地锚定在原生物瓣的瓣脚上,降低瓣膜移位的发生率。术后,患者三尖瓣跨瓣压差、反流及右房压均明显改善,即刻获益。
2010 年Hon等报道了首例经导管三尖瓣瓣中瓣手术,采用开胸经右心房路径。更多的术者采用经颈静脉或经股静脉路径。2016年McElhinney等开展的一项国际多中心TTViV注册研究,共纳入了53 家中心150 例患者成功实施此手术。随即在2019年,J-Valve系统就已经成功应用在我国首例三尖瓣瓣中瓣手术中,此后,有越来越多的患者通过J-Valve这套系统完成了生物瓣衰败的有效治疗。
专家简介
励峰
上海市第六人民医院
宁波市第一医院
上海市第六人民医院心血管外科主任
宁波市第一医院心脏血管外科合作主任
主任医师,医学博士,硕士生导师 1992年毕业于浙江医科大学医学系。1997年获得上海医科大学外科学博士学位,从事心外科工作25余年,是大血管外科、冠脉外科、瓣膜外科、先心病、房间隔缺损、室间隔缺损、动脉导管未闭的外科微创封堵等领域专家,其中室间隔缺损的外科封堵手术在世界上和国内都是属于开创性工作,影响很大。
