2022年7月23日,中山大学附属第五医院陈剑教授带领医院心血管病中心冠心病介入治疗团队成功完成Shockwave冲击波血管内碎石术(Shockwave IVL)治疗重度冠脉钙化介入手术。据悉,该中心成为广东省广州市外第一个开展Shockwave IVL的单位。
病史
患者老年男性,1月前外院对重度狭窄右冠脉行药物球囊治疗。本次拟解决左主干-前降支病变。
手术过程
术前影像
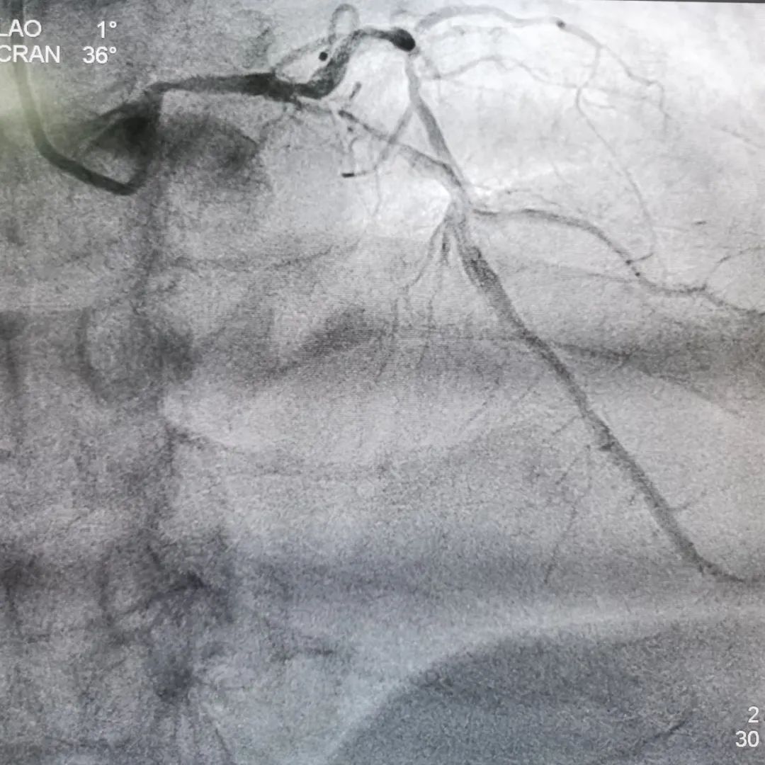
以右侧桡动脉为入径,置入APT 7F桡动脉鞘管,5F TIG多体位投照下行冠脉造影。冠脉造影示:冠脉呈右优型,LM偏心狭窄,全程弥漫狭窄,前降支近段重度钙化并弥漫狭窄达95%,血流TIMI 2级;LCX远段慢性闭塞;RCA中段原药物球囊治疗处残余狭窄小于20%。
经桡动脉送入7F EBU3.5指引导管到位,Sion-blue指引导丝通过狭窄病变并送达前降支远端,1.5x15mm球囊、2.0x15mm球囊预扩之后复查造影示狭窄及血流稍改善。拟OCT评估钙化情况,但由于操作过程中患者缺血症状明显,于是决定先植入支架:前降支-左主干依次串联置入3.0x22mm及3.5x22mm Integrity支架2枚,高压后扩张呈现“狗骨头”现象,OCT提示支架膨胀不全,支架周边>180°钙化。
遂使用3.5-12mm Shockwave冲击波球囊4atm共5个周期处理后支架膨胀良好。进一步3.5mm/4.0mm低顺应性球囊后扩修饰。
OCT示支架膨胀不全
OCT最终结果显示支架膨胀良好
最后复查OCT示支架贴壁、膨胀良好,支架下钙化断裂。
冠脉造影最终结果
本例手术是“Shockwave冲击波球囊” 国内上市后在珠中江地区的首次使用。该手术的成功,标志着中山大学附属第五医院在冠心病患者钙化高阻力病变的治疗技术达到世界领先水平,过去 “天不怕、地不怕,就怕冠脉有钙化”的临床介入治疗难题,也有了全新的解决方案。
术后点评
2016年8月在伦敦访学期间参加了新技术Shockwave IVL临床研究培训,参与了英国首台及第二台Shockwave IVL手术,对其治疗治疗钙化病变如同魔法样的效果印象深刻,一直期待在国内开展此手术。该患者属于术后支架膨胀不良,使用Shockwave IVL后钙化病变碎裂,直观观察到4atm下支架狗骨头现象消失,再以低顺应性球囊后扩成功,充分显示了冲击波的作用。植入药物涂层支架(DES)膨胀不全,未来发生再狭窄几率明显增加,使用Shockwave IVL很好的解决了这一问题,虽然支架术后即刻冲击波治疗一定程度上可能会影响DES的聚合物,但对抗增殖药物影响较小,因此,冲击波技术的补救方案是目前处理支架植入术后由于钙化导致膨胀不全最为理想的手段。
科室介绍
中山大学附属第五医院心血管病中心是国家心血管疾病临床研究中心省级分中心建设单位、国家胸痛中心、国家标准化房颤中心、国家标准化房颤中心(示范中心)、国家级心衰中心、国家药物临床试验机构认定专业单位、胸痛中心建设荣获“2019年中国标准版胸痛中心年度质控银奖”与“2020年度广东省胸痛中心(标准版)示范基地”,也是广东省临床应用限制类医疗技术培训基地、广东省心血管疾病介入诊疗培训基地及珠海市心血管疾病介入诊疗质控中心。2021年被评为珠海市“十四五”期间省级临床重点专科建设单位、珠海市“十四五”期间市级临床重点专科(甲等)建设单位。获珠海市“十四五”期间省级临床重点专科建设单位、珠海市“十四五”期间市级临床重点专科(甲等)建设单位。
心血管病一科(冠心病科)是规范评估、治疗、康复、随访闭环的冠心病专科。常规开展冠状动脉血流储备分数(FFR)、瞬时无波比值(iwFR)等冠脉生理学评估指导冠心病介入治疗;冠状动脉血管内超声(IVUS)、光学相干断层成像(OCT)等腔内影像学指导冠状动脉介入治疗;药物球囊、可降解支架植入等技术。同时常规开展急诊冠脉造影、左心导管术、急诊冠脉介入治疗(含球囊扩张、血栓抽吸、支架植入术),以及开展复杂高危冠脉介入治疗、术前冠脉无创评估、心脏康复、冠心病患者随访工作。
专家简介
陈剑
中山大学附属第五医院
中大五院心血管病中心副主任、心血管病一科(冠心病科)主任、主任医师、医学博士、博士生导师。
从事心血管内科工作20年,擅长冠心病、心力衰竭、高血压、心律失常、心肌病等心血管常见病、危重病的个体化诊治,熟练掌握冠心病的介入诊治技术,率先在广东省开展iFR指导冠脉介入治疗。擅长灵活运用心血管影像技术诊断与处理临床疑难、危重病例,并在European Heart Journal: Acute Cardiovasc Care、Circulation: Heart Failure、JACC: Cardiovascular Interventions、J Magn Reson Imaging、Int J Cardiovas Imag等高质量杂志上发表相关论著及病例报道。已培养及在培硕士9人、博士5人,合作博士后2人。获广东省高等学校“千百十工程”校级培养对象、中山大学“五个五”青年培育人才项目、2017年获首届“南粤好医生”、2018年获“珠海好医生”称号、珠海市“陈剑工匠人才创新工作室”培育单位。
陈柏荣
中山大学附属第五医院
心血管内科副主任医师、医学博士、硕士研究生导师、八年制医学生全程导师、心血管病四科主任。
专业特长:专注心血管内科临床工作20年,擅长对高血压病、冠心病、风心病、心肌炎、心肌病、心律失常及心力衰竭等疾病具有丰富的诊疗经验,尤其精于冠心病介入治疗及心血管急危重症处理;熟练运用血管内超声及FFR等新技术处理复杂高危冠脉病变、慢性闭塞病变(CTO)等;在珠海市率先开展冠脉介入无植入的新理念治疗。
科研工作:研究方向为高血压及心肌肥厚防治、冠心病防治及介入治疗。承担广东省自然科学基金(博士项目)、中医管理局科技项目和珠海市科技局项目各一项,发表SCI论文5篇,在国内核心期刊发表论文10余篇。
罗礼云
中山大学附属第五医院
副主任医师,心血管内科临床医学博士,硕士研究生导师
毕业于中山大学,获内科学临床医学博士学位,入选2021珠海市高层次人次,在中山大学附属第五医院心血管内科从事临床、教学、科研工作15年,2008年开始从事冠心病介入工作。在精准介入治疗冠心病、动脉粥样硬化性心血管疾病(ASCVD)的诊治方面积累了丰富的临床经验,熟练运用腔内影像学技术(血管内超声IVUS、光学相干断层扫描OCT)及生理学评估(FFR/iFR)对冠心病患者进行个体化介入诊治,同时也专注动脉粥样硬化性心血管疾病的防治及健康宣教。


