该手术为绵阳市中心医院首例经心尖TAVR,患者年龄:68岁,主动脉瓣二叶式畸形重度狭窄,左心增大、左室肥厚、EF值为39%,左侧冠脉开口低,瓣叶冗长,左室流出道严重钙化,伴随二尖瓣关闭不全轻度,患者严重心衰,为手术带来巨大的挑战。
在四川大学华西医院郭应强教授团队的线上指导下,绵阳中心医院罗继文主任,刘铮教授团体整个手术术前精确评估,按照既定手术策略平稳实施,这标志着川西北区域瓣膜介入治疗的水准迈上了新的台阶。
患者基本信息
患者为68岁女性,患者主诉反复心累、气紧半年,加重一月入院。入院后心脏超声提示:主动脉瓣狭窄(重度)伴关闭不全(轻度),二尖瓣关闭不全(轻度);EF降低 心力衰竭(EF:39%)。
超声报告
左心增大,左室肥厚,右心大小正常。左右冠状动脉开口显示不清。主动脉窦部内径33mm,窦管交界处内径29mm,升主动脉内径增宽。肺动脉内径正常。室间隔与左室后壁增厚,搏幅降低。主动脉瓣环径20mm,主动脉瓣数目显示不清,似呈二叶式,回声增强增厚,钙化明细,开放明细受限,关闭欠佳,余瓣膜形态、结构及开闭活动未见异常。房、室间隔连续性好。心包腔内探及液性暗区,探测度:左室后壁9mm,右室前壁5mm,左室侧壁5mm,左室下壁5mm,膈面6mm,右房顶部5mm。
CDFI:主动脉瓣前向血流速度加快Vmax4.8m/s,PGmax93mmHg,PGmean56mmHg,瓣下探及少量返流;二尖瓣前向血流频谱A>E;e=5cm/s,a=9cm/s,E/e=26;二尖瓣上探及少量返流;余瓣膜口两侧未探及异常血流信号。心内及大血管水平未见分流。
根据三尖瓣生理性返流估测肺动脉收缩压约31mmHg。术前完善相关辅助检查,采用增强CT对患者瓣膜情况进行精确评估。
CT评估报告
瓣环平均直径:22.5mm;LVOT:27.5mm。
左冠开口高度5.2mm;右冠开口高度14.3mm。左冠开口低,瓣叶稍长,术中需球扩确认冠脉风险。
主动脉瓣呈二叶式type-I型,瓣叶增厚,瓣叶游离缘重度钙化,钙化至窦底可见。
1.患者主动脉瓣二叶式type-I型,瓣叶增厚,瓣叶游离缘重度钙化,钙化至窦底可见。
2.患者主动脉瓣环周长折算直径约22.5mm。
3.患者左侧冠脉开口高度低LCA:5.2mm,左冠瓣瓣叶长度约16.7mm;右侧冠脉开口高度可RCA:14.3mm。
4.左室流出道重度钙化。
5.降主动脉可视区散在钙化。
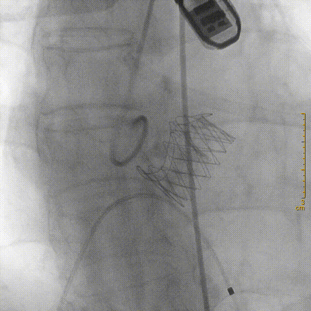
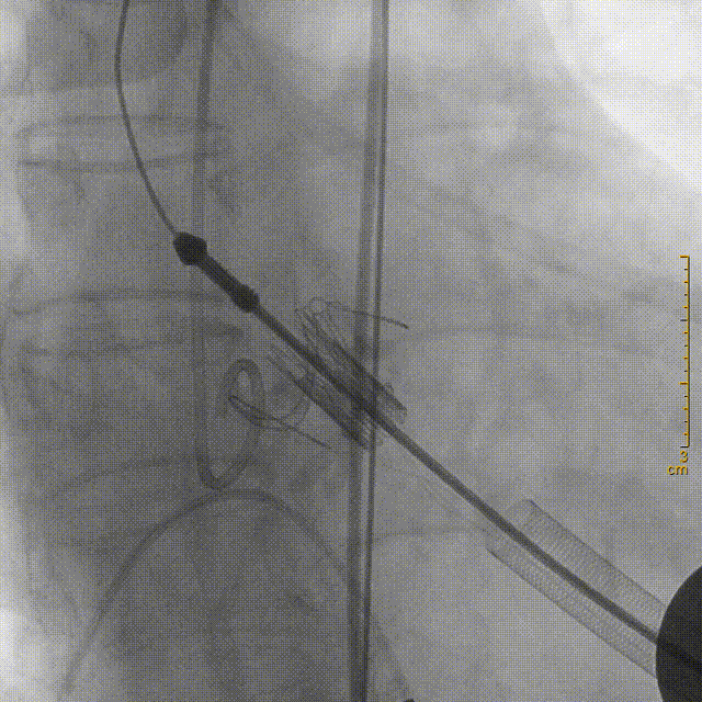
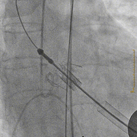
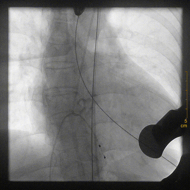
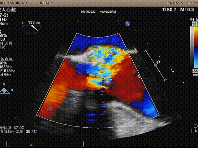
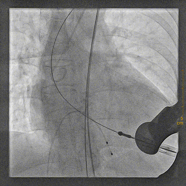
术中影像
主动脉根部造影,确定瓣环位置
20mm球囊预扩张
将装置好J-Valve23mm主动脉瓣的输送鞘送至主动脉瓣瓣环平面,释放定位装置并造影定位
稳定释放瓣膜
严重钙化使瓣膜形态未完全展开
球囊扩张后,瓣膜形态完美,超声复查无瓣周漏,冠脉开口无堵塞
术者寄语
目前TAVR常采用的入路方式有三种,即经外周动脉入路、经升主动脉入路和经心尖入路。目前来说,经股动脉入路的应用最为广泛。当患者存在严重血管病变(如外周动脉硬化狭窄、升主动脉扩张或严重钙化)时,经心尖入路是一种安全、可靠的手术方式。
经心尖入路的TAVR技术只需在左前胸切开3~5cm左右的小口,经心尖处的小孔将人工主动脉瓣置入人体内。与股动脉入路相比,心尖入路的TAVR技术有着不可比拟的优势。
首先,经心尖TAVR入路途径短。手术一般采取胸骨左旁第V/VI肋间切口,打开心包以后在心尖部缝荷包,然后,经心尖穿刺将支架辨膜输送至主动脉辨位。相比逆行入路而言,其输送途径最短,输送操作便捷。
其次,由于经心尖TAVR属干顺行操作,因此导丝级导管的跨瓣操作简单,操作时间短,可以有效减少射线对医患的伤害。
此外,经心尖TAVR血管腔内操作少,可减少外周血管并发症,同时不受股动脉直径的限制,因而可置入更大型号的瓣膜(这一点在亚洲人群中更为突出),还可以避免主动脉斑块脱落,显著降低围术期神经系统并发症。
尤为重要的是,目前国内使用的经心尖主动脉瓣膜植入系统(J-Valve)有着它独特的设计,攻克了传统TAVR无法运用于主动脉瓣关闭不全的世界难题,为这些患者带来重生的希望,是国际心血管领域的重大突破。
//
杰成J-Valve瓣膜具有以下优势:
2、输送系统段,操作方便。
3、定位件的设计使TAVR在AR中安全有效。
4、起搏器植入率低。
5、适用面广。
6、导丝跨瓣简便。
7、输送系统短,同轴性好。
8、受外周、横位心影响小。
9、辐射剂量及造影剂用量少
科室介绍:
绵阳中心医院心胸外科始建于二十世纪六十年代中期,开展了胸外伤、食管癌、肺癌等胸部疾病的手术治疗;70年代初期成功开展风心病二尖瓣闭式分离术及心包炎的手术治疗;80年代中期成功开展体外循环心内直视手术。通过几代人的不懈努力,2011年10月迁入新住院大楼,临床所有工作实行现代化信息化管理,专业队伍不断发展壮大,医疗、教学、科研及管理实力雄厚,现有病床位56张,专业结构:食管外科亚专业、肺外科亚专业、胸壁外科亚专业、心脏大血管外科亚专业。常规心胸外科微创手术及介入治疗。
专家简介
罗继文
绵阳市中心医院
主任医师,心胸外科科主任。从事胸心外科工作17年,先后发表SCI、核心医学期刊论文十余篇。系四川省医学会胸心血管外科专委会常务委员;四川省医学会胸心血管外科专委会腔镜学组委员;绵阳市医学会胸心外科专委会主任委员;四川省国际医学交流促进会胸外科专业委员会副主任委员;四川省国际医学交流促进会食管外科专业委员会副主任委员;四川省肿瘤协会肺癌专委会常务委员
刘铮
绵阳市中心医院
心胸外科副主任。主持市卫健委和省卫健委课题各1项 。中国研究型医院学会心房颤动专业委员会委员;四川省医疗卫生健康促进会心脏大血管外科专委会委员;绵阳市医学会胸心外科专委会常务委员;绵阳市心衰中心联盟质控专家组成员。

