7月12日下午15点,西安市交通大学第一附属医院心内科袁祖贻院长,郭宁教授团队成功完成Shockwave国内获批上市后西北地区首例冲击波导管治疗重度冠脉钙化介入手术,标志着西安交大一附院冠脉钙化病变介入治疗进入新阶段。
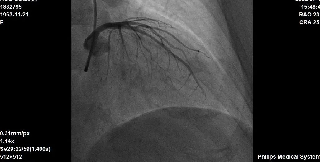
术前影像
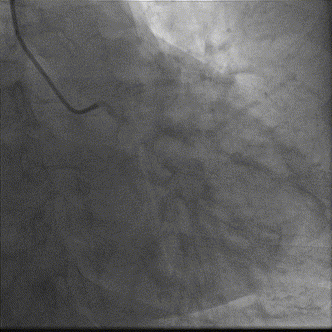
术前影像动图
术后影像
术后影像动图
随着高血压,糖尿病等危险因素的激增及老龄化的的到来,冠状动脉钙化发生率显著增加。钙化病变可能会导致PCI失败,并与较差的临床预后相关。目前针对冠脉钙化的介入治疗手段有限,主要包括球囊扩张、激光斑块消蚀以及冠状动脉旋磨术等。球囊扩张技术由于疗效不确切、并发症多、远期再狭窄率高等问题,效果未尽如人意。冠状动脉斑块旋磨术较复杂, 学习曲线较长,远端栓塞、夹层、穿孔、无复流等并发症仍是此项技术的重大挑战。
Shockwave 血管内冲击波治疗设备及冠脉冲击波导管,是一款具有革命性的经皮冠状动脉血管内冲击波能量钙化碎裂术(Intravascular Lithotripsy, IVL)的专用器械。该器械在国外已经在临床广泛使用,2022年5月,Shockwave在我国获药监批准上市。
血管内冲击波能量治疗来源于30年安全数据肾结石体外碎石技术基础上进行改良的新技术,通过电动液压驱动产生声压力波原理,由能量设备中的高科技软件控制精准发出电能,传导到冲击波导管内两个脉冲发生器,内置电极使得球囊内电解质溶液瞬间气化并快速液化,球囊内形成约50atm非聚焦、低能量、无热损伤的声压力波,安全选择性地碎裂浅层及深层钙化,明显改善血管顺应性。因为可以将血管壁内的钙化沉积物震松软,达到钙化斑块修饰的效果,所以利于后续的支架置入和展开。
袁祖贻院长,郭宁教授团队正在进行
据西安市交通大学第一附属医院心内科主任郭宁介绍,患者是一位58岁的女性冠心病患者,诊断:冠状动脉粥样硬化心脏病,不稳定型心绞痛、心功能II级。入院后完善相关检查后,于2022年7月12日进行手术,造影显示冠状动脉左前降支近中段有严重狭窄伴重度钙化。经团队充分讨论后,术中IVUS检查提示270度环形钙化,在血管内超声评估和指导下,随后采用Shockwave冲击波能量钙化斑块碎裂技术,经过多个周期的冲击波治疗,精确碎裂冠状动脉内膜和中膜下钙化病灶后,最后顺利置入支架。
结语
据了解,Shockwave血管内冲击波治疗是处理钙化的技术革新及创新解决方案,尤其对于深层血管钙化是目前唯一安全有效的治疗手段。《2021版冠状动脉钙化诊治中国专家共识》指出,冠脉内冲击波钙化碎裂技术较其他钙化处理技术更为安全、有效和简便。随着Shockwave正式获批进入国内市场,相信越来越多的冠脉钙化患者能体验到冲击波治疗带来的福音。
专家简介
袁祖贻
西安交通大学第一附属医院
心血管病医院院长,教授/主任医师,博士生导师,心血管病学博士, 日本京都大学博士后。国家杰出青年基金获得者。
中华医学会心血管病分会常委兼动脉粥样硬化与冠心病学组组长、中国医师协会心血管内科医师分会副会长兼指南与共识工作组组长、中国老年医学会心血管病分会副主任委员、国际动脉粥样学会(IAS)中国分会副主席、陕西省医学会心血管病分会主任委员、中国胸痛中心联盟副主席/陕西省胸痛中心联盟主席、陕西省心血管专科医师联盟主席。中国动脉粥样硬化杂志副主编、中国分子心脏病学杂志副主编、中国介入心脏病学杂志副主编。主要从事动脉粥样硬化发生与发展机制研究、以及冠心病发病的基础与临床研究,先后承担国家“973”项目、国科金重点与杰青项目、科技部重点研发项目、科技部重大慢病管理项目等,在国际顶级刊物包括Nature Medicine, Circulation, JACC, Cir Res, Euro Heart J, AJRCC等发表论文200余篇,获卫生部有突出贡献专家称号,享受国务院政府津贴。
郭宁
西安交通大学第一附属医院
主任医师,医学博士,硕士生导师,美国哥伦比亚大学医学中心及美国心血管研究基金会访问学者,现任西安交通大学医学院第一附属医院心内科副主任,四病区主任。主要研究方向为冠心病的临床与基础研究,尤其是冠心病的腔内影像学及生理学研究。兼任中华医学会心血管病学分会青年委员,中华医学会心血管病学分会心血管病影像学组委员,中国医师协会重症医学分会心脏重症专家委员会委员,中国医师协会心血管内科医师分会国际交流工作委员会委员,中华医学会陕西省心血管病学分会委员兼秘书,卫生部冠心病介入培训导师。为国际与国内多个会议的faculty成员,近5年来多次受邀请在国际、国内学术会议上大会发言,包括ACC(美国)、TCT(美国)、C3(美国)、ENCORE(韩国)、以及国内的CHC、CIT、介入论坛、东方会、长城会等。主持及参与国家自然科学基金项目3项,陕西省科技攻关项目3项,国际与国内多中心临床研究10余项。发表文章20余篇,最高影响因子14.429分(Circulation)。参编专著7部。

