2022年7月17日,中国医学科学院阜外医院唐闽教授与阜外华中心血管病医院王现青教授密切合作,在阜外华中心血管病医院心内科团队的支持下,应用德诺医疗E-SeaLA™左心耳消融封堵器成功为一名64岁房颤患者完成了左心耳封堵消融手术。
这是带消融功能左心耳封堵器在房颤治疗领域的全球首例临床应用,具有重大的临床价值。标志着左心耳封堵手术从原本的卒中预防功能向房颤治疗与卒中预防相结合功能的转变,开启了左心耳封堵消融手术新时代!
图1 参加手术人员术后合影
患者情况
本例患者为64岁男性,主诉”阵发性胸闷、心慌半年”,诊断为持续性心房颤动,高血压3级,脑梗死恢复期,冠状动脉粥样硬化性心脏病。患者CHA2DS2-VASc评分4分,具有较高的卒中风险,术前经食道超声及CTA提示,左房扩大,左房与左心耳未见血栓。
手术过程
首先采用德诺电生理医疗科技有限公司的CardioPulse™脉冲消融导管系统对患者4个肺静脉进行了脉冲消融,后使用德诺电生理E-SeaLA™左心耳消融封堵系统对患者的左心耳同期进行了消融和封堵。
CardioPulse™脉冲消融导管完成肺静脉消融
术中采用32mm规格CardioPulse™脉冲消融导管完成了4个肺静脉的电隔离,如图2为左下肺静脉与右上肺静脉消融DSA影像,肺静脉口内消融电极呈篮状,肺静脉口部及前庭部位消融电极呈花瓣状,消融后肺静脉电位消失,实现肺静脉完全隔离。
(a)左下肺静脉消融
(b)右上肺静脉消融
图2 采用CardioPulse™脉冲消融导管进行肺静脉消融
E-SeaLA™左心耳封堵器完成左心耳消融与封堵
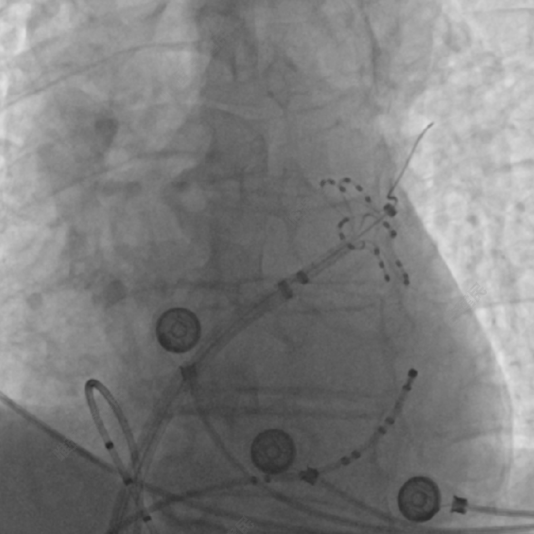
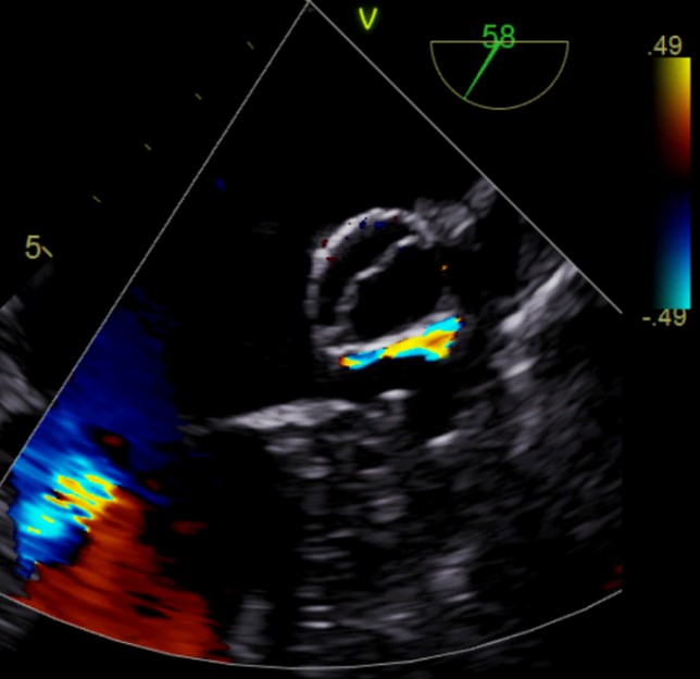
如图3所示,术中造影显示患者的左心耳固定区尺寸为23mm、深度25mm,选用规格为锚定盘直径26mm,密封盘直径 31 mm的左心耳消融封堵器植入到左心耳内。如图4-5所示,消融前后采用德诺电生理标测导管对左心耳进行电信号检测,对比结果表明左心耳电信号完全隔离;如图6所示,术者分别在左心耳消融前后进行了冠状动脉造影,造影显示回旋支无明显变化,无痉挛等不良事件发生;如图7-8所示,封堵器解脱前对左心耳消融封堵器进行了牵拉测试,器械无移位,造影及TEE超声显示左心耳完全封堵,无残余分流。
图3左心耳消融封堵器封堵至左心耳内
图4左心耳消融前后左心耳内电位标测
(a)左心耳消融前
(b)左心耳消融后
图5 左心耳消融前后心耳内电位对比,消融后心耳内电位消失
(a)左心耳消融前
(b)左心耳消融后
图6 左心耳消融前后冠脉造影无变化
图7 左心耳封堵器牵拉测试
(a)DSA造影显示封堵良好
(b)TEE无残余分流
图8 左心耳封堵器封堵DSA和TEE影像
意义重大 房颤治疗再迎新发展
术后,中国医学科学院阜外医院心律失常中心张澍教授、美国西奈山医院VivekY.Reddy教授、德国法兰克福圣凯瑟琳医院Horst Sievert教授等领域内权威专家对此次手术的圆满完成送来祝贺,并与唐闽教授、王现青教授一起,就当前国内外房颤及左心耳封堵诊疗现状,评价了此次手术的现实意义。
唐闽教授指出,该例手术的成功完成在房颤治疗领域具有重要的意义,在保证卒中预防的同时,有望将房颤的治疗成功率进一步提高。
王现青教授同样也认为,该首例手术的成功开展,快速实现左心耳电位的主动电隔离,在房颤领域具有重要的临床价值。
张澍教授表示,该项技术为全球首创,首例手术的成功开展,让中国在这一方向走在了国际前列,具有非常重要的里程碑意义。
VivekY.Reddy教授对该产品及临床应用提供了宝贵的意见,认为该产品将左心耳电隔离与封堵很好的结合在了一起,在房颤领域具有很重要的临床价值。
Horst Sievert教授也对该产品也给予了很高的评价和建议,认为左心耳的干预治疗由单纯预防转变为预防+治疗是非常重要的改变。
相关研究表明,肺静脉隔离联合左心耳电隔离较单纯肺静脉隔离治疗可降低房颤远期复发率[1,2]。然而左心耳电隔离之后,会影响左心耳的收缩功能,增加血栓发生率,须进行左心耳封堵或口服抗凝药物以降低卒中事件发生率[3,4]。由于左心耳复杂的解剖结构,现有房颤消融器械难以完成左心耳的电隔离。
国内目前开展的房颤一站式手术,主要实现了房颤常规消融与左心耳封堵,并没有实现左心耳的电隔离。
图9左心耳电隔离能有效降低导管消融房颤远期复发率[1]
德诺电生理E-SeaLA™左心耳消融封堵器为具有完全自主知识产权的全球首款带有消融功能的左心耳封堵器,在完成左心耳封堵后可以快速实现左心耳电隔离与信号标测。不但可以通过一次手术隔离房颤患者左心耳异常驱动灶信号,还可以通过左心耳封堵,无需终生口服抗凝药来预防血栓栓塞事件的发生。临床中不需借助三维标测设备,仅靠DSA、超声的引导即可完成左心耳的消融与封堵,快速高效地实现左心耳完全电隔离。
专家简介
王现青
阜外华中心血管病医院
阜外华中心血管病医院 ( 河南省人民医院心脏中心)心律失常二病区主任,主任医师。国家卫计委心律失常培训基地导师。国际心脏病研究会会员(ISHR),美国心脏节律学会(HRS)会员,亚太心脏节律学会会员(APHRS),中国生物医学工程学会心律学会全国委员,中国医师协会心律失常专业委员会全国委员,中国保健促进会心电生理与起搏委员会委员;河南省心电生理与起搏专业委员会副主任委员;河南省房颤中心联盟副主席;河南省生物医学工程学会介入医学与工程专业委员会副主任委员。
VivekY.Reddy
美国西奈山医院
美国著名心脏电生理专家,美国西奈山医院、西奈山卫生系统心律失常服务负责人,西奈山伊坎医学院心脏电生理学教授,主持或参与了37项临床实验(不完全统计),发表学术论文>300篇,他在心脏电生理领域进行的开创性临床研究正在改变心脏病患者的治疗方式。在他的领导下,西奈山医院成为多项跨国临床试验的首席研究单位,主要探索治愈心律失常的新的临床解决方案。
Horst Sievert 教授
德国法兰克福圣凯瑟琳医院
德国法兰克福圣凯瑟琳医院心血管中心的主任,也是该院内科、心脏病学和血管医学部总监。Horst医生同时还是法兰克福大学内科学/心脏病学系教授。Horst医生在圣凯瑟琳医院的工作主要包括为先天性心脏病、颈动脉疾病、高中风风险等疾病患者进行高度专业化的非冠状动脉介入治疗,是经皮关闭左心耳器械第一人,他同时也是世界范围内成人心脏缺损导管闭合治疗方式经验最为丰富的大夫,经常被业界同行邀请参与病患诊疗。
阜外华中心血管病医院 心律失常病区简介
阜外华中心血管病医院(河南省人民医院心脏中心)是河南省最大的心脏介入治疗中心和首批国家卫计委及中华医学会心血管介入培训基地。心律失常中心目前为河南省唯一拥有心律失常专业病区和专业医护人员的中心,在射频消融及心脏起搏等心律失常介入治疗领域手术数量连续多年居河南省前列,跨入了国内该领域的先进行列。
心律失常病区在高传玉副院长的领导和支持下,发展迅速。学术带头人王现青教授、王山岭教授每年带领团队完成心律失常导管消融术近2000例,永久起搏器植入400余例,治疗心衰的CRT及预防猝死的ICD近百余例。目前心律失常病区医护诊疗团队近40人,团队人才结构平衡,梯队合理,拥有电生理专业医师15人(其中博士生导师1名,硕士生导师4名),其中主任医师4名,副主任医师4名,主治医师7名。团队所有医师均具有海外留学及国内大型心血管专科医院进修学习经历。
心律失常病区电生理团队技术精良,不断探索创新,近年来开展了全国首例三维立体标测下生理性起搏技术(希氏束起搏)以使患者最大获益;独立开展多项新技术如中西部首例磁导航系统支持下射频消融术、首例CARTO SOUND超声导管、PENTARAY高精密度标测导管以及Rhythmia高密度标测系统指导下行复杂心律失常射频消融;河南省首例Carto V7指导下复杂心律失常标测和消融、全三维指导下射频消融、心外膜室速射频消融;心房颤动冷冻球囊消融;左心耳封堵术、CRT左室四极电极应用以及应用锁定钢丝系统行永久起搏器电极拔除等新技术。团队目前承担多项国家自然科学基金,河南省科技攻关项目,河南省卫生厅项目,每年发表SCI及中华系列论文数篇。
日前,医院相继获批全国首批“中国房颤中心”、“房颤介入诊疗技术培训”示范基地、“房颤脑卒中预防”示范单位;相继成立了心律失常专科门诊、房颤专科门诊、晕厥门诊、心脏起搏器随访中心等,以期为广大心律失常患者提供更专业的服务。心律失常团队将以此为契机,新的征程,新的起点,心律失常病区所有医护人员将不懈努力,早日将心律失常中心建设成为立足河南、服务中原、辐射华中、全国一流的区域心律失常中心。
参考文献:
[1] Di Biase L, Burkhardt J D, Mohanty P, et al. Left atrial appendage isolation in patients with longstanding persistent AF undergoing catheter ablation: BELIEF trial[J]. Journal of the American College of Cardiology, 2016, 68(18): 1929-1940.
[2] Romero J, Gabr M, Patel K, et al. Efficacy and safety of left atrial appendage electrical isolation during catheter ablation of atrial fibrillation: an updated meta-analysis[J]. EP Europace, 2021, 23(2): 226-237.
[3] Di Biase L, Mohanty S, Trivedi C, et al. Stroke risk in patients with atrial fibrillation undergoing electrical isolation of the left atrial appendage[J]. Journal of the American College of Cardiology, 2019, 74(8): 1019-1028.
[4] Kim Y G, Shim J, Oh S K, et al. Electrical isolation of the left atrial appendage increases the risk of ischemic stroke and transient ischemic attack regardless of postisolation flow velocity[J]. Heart Rhythm, 2018, 15(12): 1746-1753.


