2022年7月20日,南方医科大学南方医院修建成教授带领冠脉介入团队,成功应用冠状动脉血管内钙化碎裂系统(Shockwave IVL,以下简称“Shockwave冲击波球囊技术”)完成华南地区首例严重钙化病变介入治疗手术。目前团队已成功开展8例,联合腔内影像学精准评估,手术均取得圆满成功,标志着南方医院冠脉钙化介入治疗水平再上新台阶。
患者信息
患者为71岁男性,既往有高血压、糖尿病;慢性肾衰竭,长期进行血液透析;此次因不稳定心绞痛、心力衰竭入住。
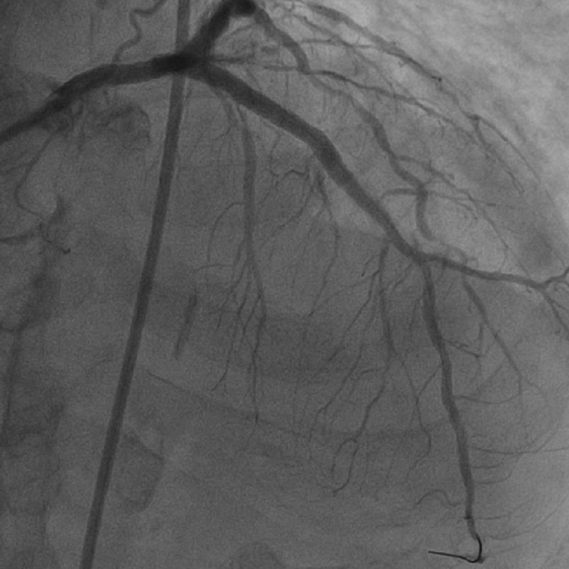
影像评估
心电图提示广泛ST-T改变。经加强透析、抗感染等治疗改善心衰后,行冠脉造影提示三支病变,冠脉严重钙化,左前降支-左主干最严重,显示多处弥漫狭窄、钙化,前降支中段狭窄80%,左主干根部分叉狭窄70%狭窄。
手术难点
修建成教授与团队讨论后认为患者前降支缺血明确,但患者高龄,长期进行血液透析,血管钙化严重,属于冠脉高阻力病变,且前降支血管直径在3.5mm-4.0mm,即使2.0mm以上旋磨头也无法很好进行钙化斑块修饰,这在既往属于非常棘手的病例;如果无法将钙化斑块很好地修饰、打开,后续支架植入将会非常困难,且可能导致支架膨胀不良,出现支架内血栓、围术期心肌梗死等心血管不良事件。
手术策略
经充分讨论分析,修建成教授与团队决定在血管内超声(IVUS)指导下应用Shockwave球囊对患者左前降支-左主干进行斑块修饰及植入支架。
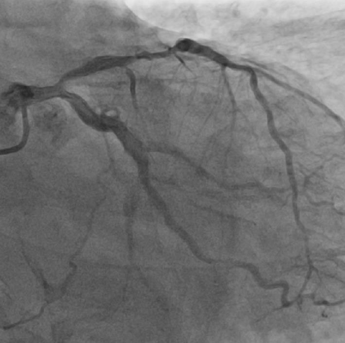
手术过程
IVUS提示左前降支-左主干弥漫动脉粥样硬化斑块形成,多处严重内膜环形钙化,血管管腔直径在3.5mm以上,其中最严重的地方,血管管腔面积仅2.35mm²。
取3.5*12mm冲击波球囊导管置入前降支-左主干钙化病变处进行钙化斑块碎裂术,压力充盈至4ATM,触发10个冲击波脉冲,松解钙化斑块;随后充盈压升至6ATM维持10秒,对治疗段进行低压球囊扩张成形;最后,球囊泄压10秒,恢复靶血管血流灌注,并重复多个周期。
术前IVUS影像,MLA 2.35mm²
整个手术期间患者无明显不适,心电图可见一过性机械电耦合现象(属于正常现象),未见明显低血压、ST改变及持续性心律失常,复查造影及血管内超声可见前降支-左主干钙化狭窄明显改善。顺利植入两枚药物支架,复查造影及血管内超声可见支架膨胀良好,贴壁良好,术后支架内最小管腔面积达到11.45mm²,手术效果理想,术后患者胸痛症状得到明显缓解。
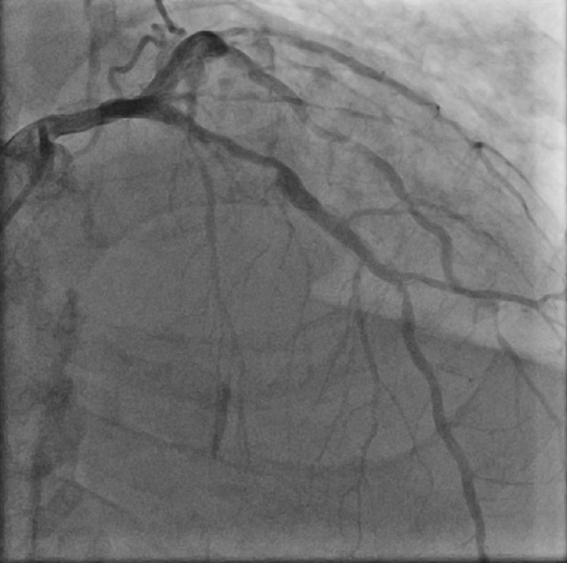
术后造影图像
术后IVUS影像,MSA 11.45mm²
随着我国社会人口老龄化的增速,钙化相关血管疾病的发病率也逐年增长。血管钙化表现为血管壁过量钙、磷的异常沉积,导致动脉弹性减低、管腔狭窄、动脉粥样硬化斑块易损性增加,诱发急性心血管事件。
南方医科大学南方医院冠脉介入团队始终秉承着“积极进取、勇于开拓”的创新精神,“吃苦耐劳、舍我其谁”的实干精神,以及“一心为民、服务大众”的仁爱精神,不断引进新器械、新技术、新方法,在治疗水平提升的道路上精益求精。未来,团队也将继续精进技艺,开拓创新,不断续写新成绩,为更多患者带来最新的治疗方法。
专家简介
修建成
南方医科大学南方医院
教授,主任医师,医学博士,博士生导师,心血管内科副主任、导管室主任,增城分院心血管内科主任。美国哥伦比亚大学医学中心博士后,美国纽约长老会医院IVUS fellow,美国心血管病研究所研究员,柏林心脏病中心、瑞典林雪平大学医学中心访问学者。
擅长冠心病、心脏瓣膜疾病及心血管危重症的诊断和治疗,尤其是冠脉复杂病变、慢性完全性闭塞性病变及主动脉瓣狭窄的介入治疗,以及IVUS、FFR、准分子激光、冠脉旋磨成形术等技术。近年来,带领南方医院瓣膜团队开展了经皮主动脉瓣置换术(TAVR)及缘对缘二尖瓣钳夹术等微创瓣膜手术。
任中国大湾区心脏协会泛血管医学分会主任委员、第九届中华医学会心血管病学分会青年委员、第九届中华医学会心血管病学分会冠心病与动脉硬化学组委员、海峡两岸医药卫生交流协会心血管专业委员会常委、亚太结构性心脏病青年俱乐部黄金会员、中华医学会中华健康管理医学教育学院专家委员会常委等职。
主持一项国家重点研发计划课题、三项国家自然科学基金及多项省部级课题,参与“973”、“863”、国家“十一五”科技支撑计划等多项重点课题。曾获广东省科技进步二等奖及广州军区医学创新奖一等奖,国家发明专利2项,发表论文80余篇。
