2022年7月20日,华南地区首台血管内冲击波治疗设备在广东省人民医院南海医院正式完成装机。次日,在医院院长罗建方教授带领下,心内科郭志强主任、何文飞主任等共同组建的冠脉介入团队通力配合,联合QFR、IVUS与冠脉造影融合技术,精准评估并顺利完成了设备装机后首例Shockwave冲击波导管钙化斑块碎裂术。(Shockwave IVL,以下简称“Shockwave冲击波导管技术”)
此举标志着广东省人民医院南海医院成为了全国率先开展此项技术的医院之一,在钙化病变介入领域进入新阶段,为广大心血管钙化患者带来介入治疗新选择。
病例详情
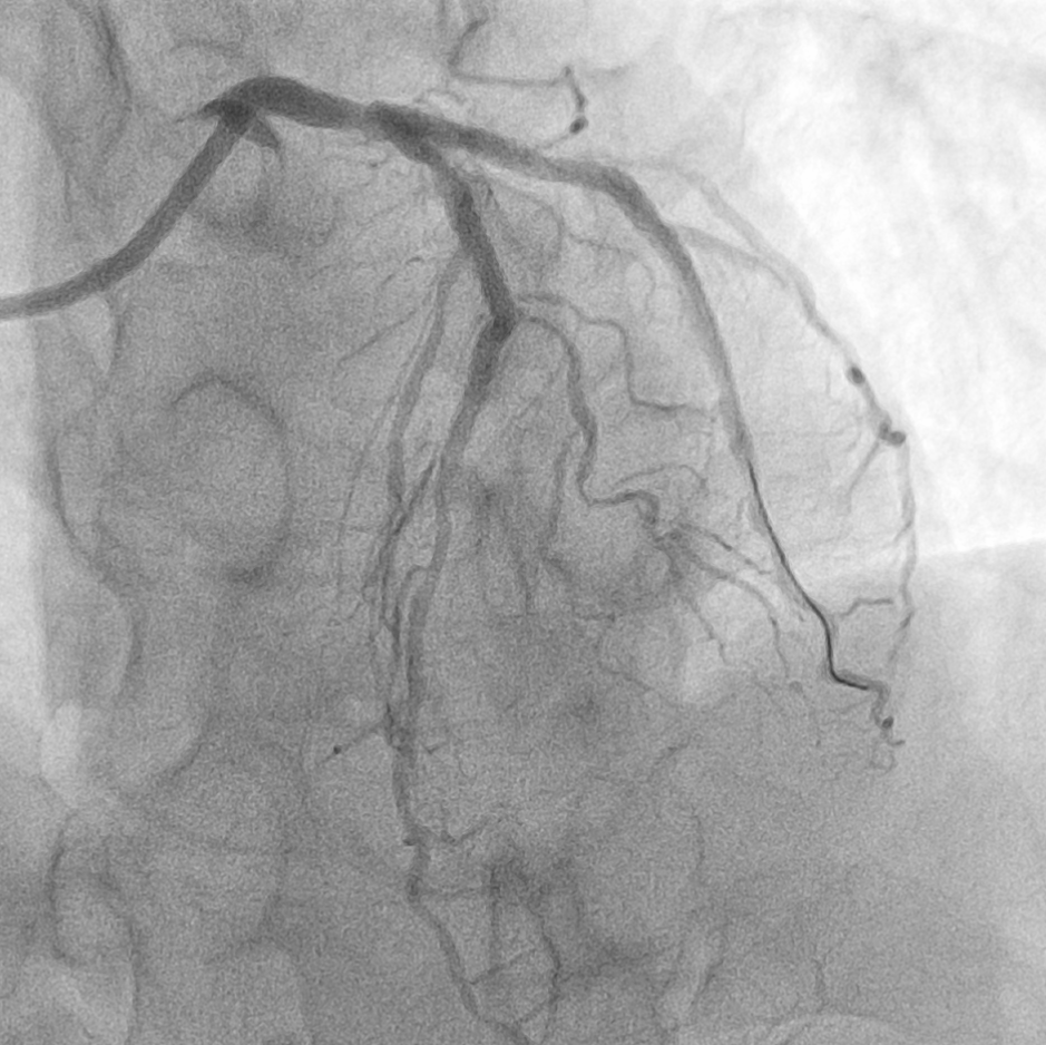
患者为一位72岁老年男性,既往有冠心病 PCI术病史2年,有“高血压病、2型糖尿病”病史10余年,此次因劳力性心绞痛症状入院,复查冠脉造影显示,左回旋支中远端可见约80-90%弥漫性重度狭窄,血管迂曲且合并有严重钙化,使用QFR评估此靶血管为0.45,需要进一步介入干预。
LCX造影提示近远段狭窄、钙化严重
LCX的QFR数值为0.45
策略制定
手术过程
经过充分的术前准备,7月21日,手术正式开始。
术中IVUS检查提示患者左回旋支近远段多处偏心钙化及钙化小结,钙化较重,导致多种介入器械难以通过,因此启动Shockwave冲击波球囊技术方案。
在延长导管支撑下,应用Shockwave球囊由病变远段至近段进行冲击治疗
用时约40分钟,在患者无明显不适的情况下顺利完成介入治疗。术后患者顺利转入病房,并计划于近日出院。
术前
超过180度钙化环
钙化结节
术后
钙化环断裂
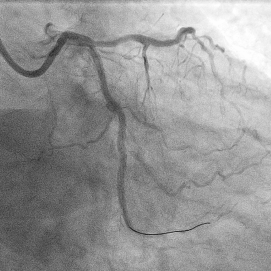
Shockwave球囊冲击波治疗后,顺利植入支架
LCX术后QFR值为0.86
锐意创新 开拓冠脉钙化介入治疗新局面
专家简介
罗建方
广东省人民医院
医学博士、主任医师、博士生导师。现任广东省人民医院南海医院院长、广东省人民医院血管病诊疗中心主任、广东省冠心病防治研究重点实验室副主任。
学术任职:美国心脏病学院Fellow (FACC)、欧洲心脏病协会Fellow (FESC)、美国心血管造影与介入学会Fellow (FSCAI)、首批Global Hybrid Algorithm Community国际认证Hybrid CTO带教专家、卫生部心血管疾病介入诊疗培训基地(冠心病介入治疗)导师。
中华医学会心血管病学分会大血管学组副组长、中国研究型医院学会心血管影像专业委员会副主任委员、中国研究型医院学会血管医学专业委员会副主任委员、中国医疗保健国际交流促进会血管疾病分会副主任委员、中国医疗保健国际交流促进会难治性高血压与周围动脉病分会副主任委员、中国医药教育协会血管医学分会副主任委员、广东省介入性心脏病学会周围血管介入分会主任委员、广东省医师协会心血管介入医师分会副主任委员、广东省医师协会心血管内科医师分会常务委员、广东省医学会心血管病分会结构性心脏病学组副组长等。
血管疾病多学科协作论坛(VMDT)执行主席、冠心病与周围血管介入沙龙(CPIS)执行主席、亚太CTO俱乐部广州峰会共同执行主席、亚洲心脏病学会年会秘书长等。
技术特长:擅长复杂冠脉病变、主动脉疾病、瓣膜疾病、周围血管病等的介入治疗。在国内率先开展脑保护装置下颈动脉介入治疗、经桡动脉行肾动脉介入治疗、快速起搏与经皮穿刺主动脉腔内修复术(TEVAR),2016年4月完成华南地区首例经导管主动脉瓣置换术(TAVR),2019年2月成功实施全球首例经股动脉途径TAVR联合TEVAR一站式手术,团队整体TAVR手术量已超过500台,已经帮助全国100家中心开展TAVR手术。
科研成果:获中国医药教育协会科学技术奖二等奖1项、广东省科学技术奖二等奖2项、三等奖2项。参编学术专著6部,发明专利4项,发表学术论文100余篇。先后承担省市级课题数项,培养硕博士20余人,目前在研经费超过500万元。
