自贡市第四人民医院心血管内科成功为一位主动脉瓣重度狭窄伴中度反流高龄患者实施经导管主动脉瓣置换术


 经典病例


近日,自贡市第四人民医院心血管内科在四川大学华西医院彭勇教授的指导下,联合麻醉科、心脏重症医学科、心胸外科、心脏超声科等科室成功为一位主动脉瓣重度狭窄伴中度反流的高龄患者实施经导管主动脉瓣置换术(TAVR)。


患者为82岁老年女性,患有高血压等慢性病,主动脉瓣钙化不均,冠脉开口低,术中冠脉堵塞风险高,入路血管双侧迂曲,手术难度大,自贡市第四人民医院心血管内科团队开展多学科术前讨论,通过术前评估制定严密的手术策略,确定具体可行的手术方案,制定完备的手术预案,最终成功挑战此例三叶瓣主动脉瓣狭窄的TAVR病例。

患者信息

患者:女,82岁



症状:反复憋闷气促两个月,复发加重一周入院



既往史:高血压及糖尿病病史


术前评估

心脏彩超

  • 主动脉瓣重度狭窄并关闭不全;

  • 升主动脉增宽;

  • 双房增大;

  • 二、三尖瓣中度反流;

  • 室间隔及左室后壁增厚;

  • LVEF: 63%;

  • 主动脉瓣瓣口最大流速:4.78m/s;平均跨瓣压差:53mmHg。

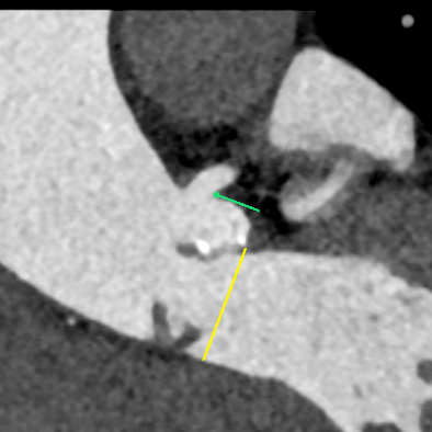
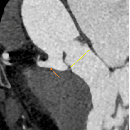
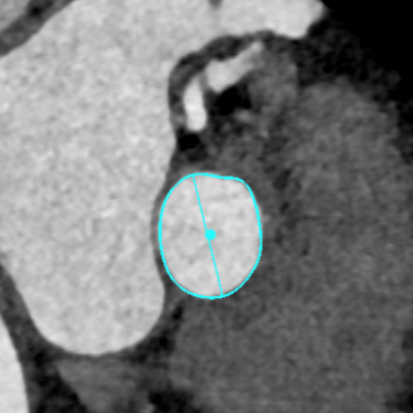
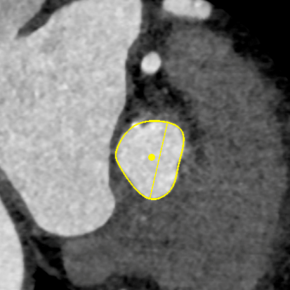
CT测量

主动脉根部CT测量

瓣环周长:68.1mm

最长直径:23.3mm

LVOT周长:69.0mm

最长直径:23.8mm

左冠开口高度:8.7mm

右冠开口高度:8.4mm

入路情况

手术策略

术前分析讨论

术前易勇、汤勇教授科室邀请医务科、心胸外科、麻醉科、体外循环科、心脏重症医学科、心脏超声科等团队开展术前多学科讨论,进行术前分析:

1.瓣膜选择:瓣环周长为68.1mm,可植入24mm或21mm瓣膜。

2.入路情况:入路双侧迂曲,左侧分叉高;右侧主通道,血管为9mm左右,需要圈套器。

3.主动脉弓部:角度为 126°,长度为100mm。

4.主动脉根部:患者主动脉瓣为三叶瓣,钙化不均,呈风心病样改变;由于冠脉开口低,需规避冠脉风险。

手术策略

经过手术团队的深入分析和反复讨论,结合患者具体情况,决定选用18mm球囊扩张,20mm球囊后扩,监护麻醉,经右侧股动脉入路施行TAVR,通过瓣膜输送导丝直接起搏,选择downsize植入VitaFlow®21型号瓣膜,避开冠脉开口遮挡的风险,准备右侧桡动脉,做好左右冠脉保护准备。

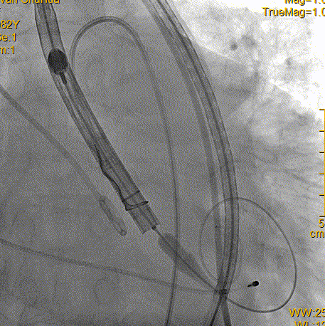
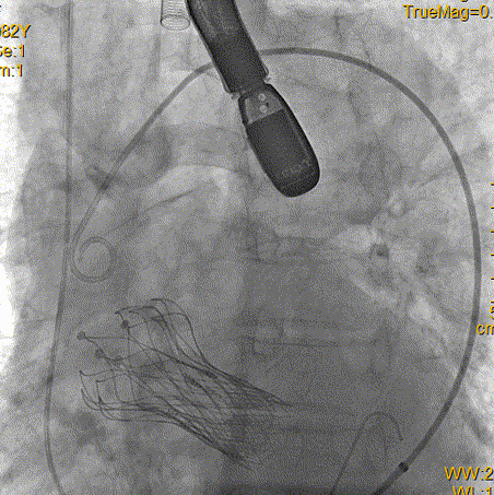
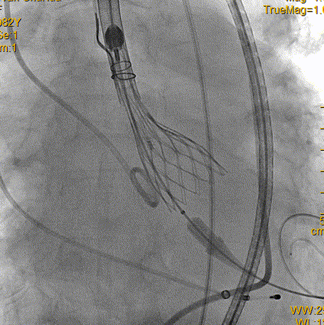
术中过程

右侧股动脉造影

左侧股动脉造影

输送系统定位

瓣膜释放

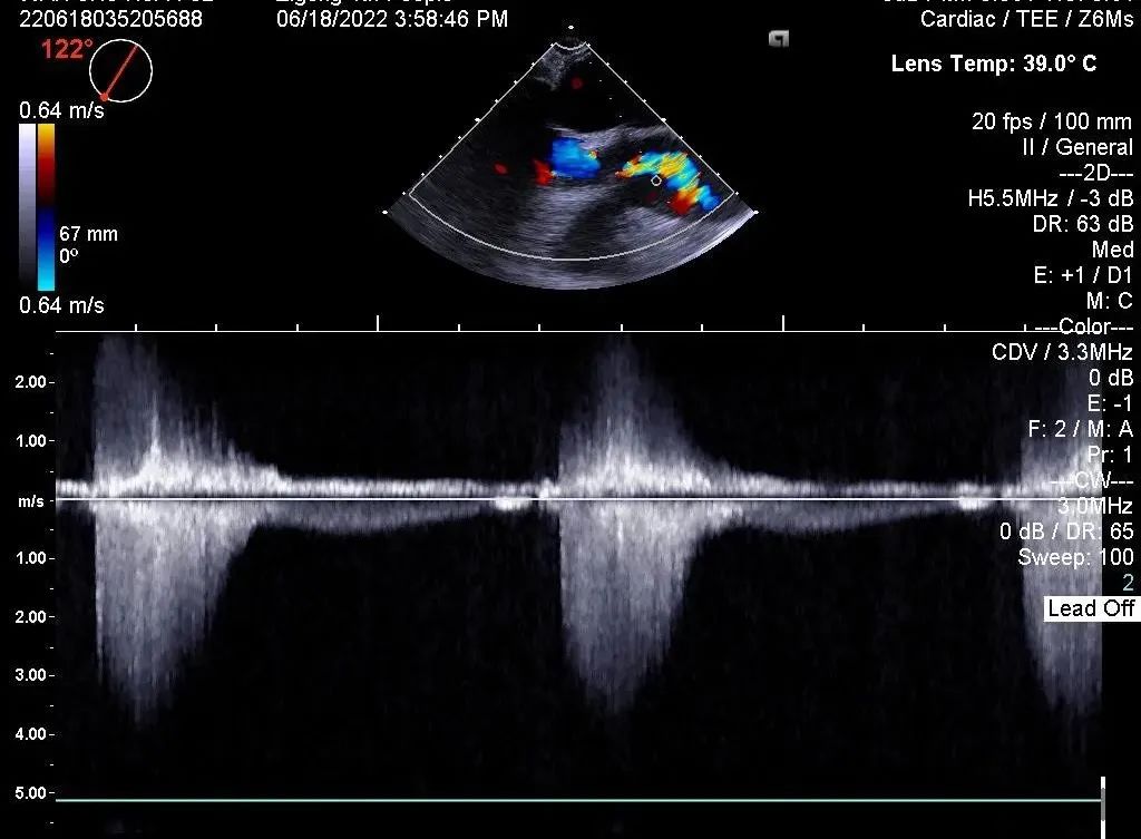
术后评估

术后彩超:峰值流速2.34m/s,跨瓣压差8.8mmHg


在多学科协作下,自贡市第四人民医院心内科已完成多例经股动脉介入主动脉瓣置换术,经过2个小时紧张有序的操作,本次手术亦取得圆满成功。术后,主动脉瓣人工瓣膜功能可,患者的平均跨瓣压差由术前的53mmHg,改善至术后的8.8mmHg, 峰值流速由术前的4.78m/s改善至术后的2.34m/s。患者获益明显, 且在苏醒后顺利转入病房,术后第2天便可下床正常活动。

术后总结

汤勇教授称针对此例入路血管迂曲、冠脉高风险、主动脉瓣钙化不均的三叶瓣患者,术前制定策略时,需要选择合适的瓣膜释放体位,术中需精准把控释放瓣膜的深度。


本案例中患者入路血管迂曲,这就要求介入者具备精湛的穿刺技术。并且患者主动脉瓣钙化不均,冠脉开口低,有较高的堵塞风险,因此介入者不仅需要有精准的瓣膜定位技术,更要有强大的手术风险预判能力,进行慎密的预案准备。


汤勇教授介绍称,经导管主动脉瓣置换术是目前国际上治疗高龄危重主动脉瓣膜病先进的微创介入技术,需要多学科密切协作配合,以帮助患者顺利进行手术治疗并安全度过术后康复期。


该介入手术无需开胸,具有创伤小、恢复快等优势,主要针对无法接受外科手术或者外科手术风险中、高危的患者,是一种成熟先进、安全有效的微创介入治疗技术。

专家信息



易勇

自贡市第四人民医院心血管内科

自贡市第四人民医院心血管内科副主任,主任医师,四川省医学会心血管专委会委员、四川省康复医学会心血管分会委员、四川省心脏瓣膜联盟常委、四川省医疗事故鉴定专家库专家、自贡市医学会心血管专委会委员、自贡市心血管质量控制专家组成员。擅长复杂冠脉介入治疗和高龄患者起搏器安置术。在专业期刊上发表多篇论文,获市级引进新技术三等奖2项。





汤勇

自贡市第四人民医院心血管内科

自贡市第四人民医院心血管内科副主任,主任医师,自贡市第四人民医院胸痛中心技术总监,心电中心主任,自贡市心血管专委会委员,自贡市内科专委会委员,自贡市仲裁委员会委员,自贡市优秀医学专家。2019年于英国伦敦西北大学Northwick Park医院研修3个月,从事心血管专业临床工作20年,擅长高血压、心力衰竭、冠心病、心律失常、心血管危重症及冠脉介入治疗。在国内核心期刊上发表多篇文章。

阅读数: 2427