北京安贞心外瓣膜团队成功完成主动脉弓严重弯曲伴缩窄、横位心、原发肺高压的高风险TAVR

日前,在纪智礼书记、张宏家院长、周玉杰副院长等医院领导大力支持下,首都医科大学附属北京安贞医院心外科瓣膜中心张海波教授团队成功完成一例主动脉弓严重弯曲伴弓缩窄、横位心、原发肺高压的高风险TAVR手术,手术取得圆满成功。


患者基本情况

患者女性,54岁,自述活动后胸闷30余年,近5年加重,近期症状尤为明显,伴双下肢浮肿,间段有夜间端坐呼吸。当地医院诊断为主动脉瓣重度狭窄伴关闭不全、肺动脉高压、心脏功能III级。入院后完善相关检查,超声检查显示主动脉瓣严重狭窄伴关闭不全,主动脉瓣面积0.6cm²,瓣环径16-17mm,主动脉瓣峰值流速4.15m/s,主动脉瓣反流面积12cm²,肺动脉压90mmHg,进行右心导管检查肺阻力10wood。心外科瓣膜中心王坚刚主任、王盛宇主任、贡鸣主任、韩杰主任,以及郑帅、孟斐、王胜询等医师多次讨论,认为患者原发肺动脉高压,对于常规开胸手术风险太大。主动脉三维CTA扫描显示主动脉弓弯曲严重,并伴有弓部明显缩窄。经过侯晓彤副院长、朱俊明主任等专家会诊讨论认为,弓缩窄狭窄13mm,超声显示流速峰值3米/秒左右,四肢血压影响不大,可以暂时不手术治疗。常规开胸体外循环手术风险很大,建议进行介入瓣膜手术。

术前CT评估

病例特点

①Type1二叶瓣,瓣环较小,无窦较大,左右窦有明显瓣叶融合脊;

②瓣叶增厚,瓣口打开受限;

③整体无钙化,AR为主。

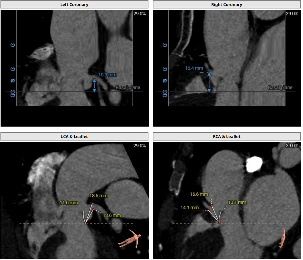
冠脉风险评估

双侧冠脉开口高度良好,瓣叶长度适中,综合瓦氏窦及窦管交界内径,冠脉风险较低。

VR

瓣上分析

外周入路分析

外周入路血管条件良好,内径可,无明显钙化;主动脉弓降主动脉出有明显狭窄和弯折,弓缩窄最窄处13mm,输送系统过弓可能有明显的困难,替代选择可以考虑颈动脉入路或者上长鞘拉直弯折。

手术策略

1) 采取喉罩全麻+经胸超声的手术方式;

2) 右侧股动脉主入路,左侧股动脉为辅入路,采取65cm长鞘策略;术中根据情况备选颈动脉入路;

3) 根据瓣环瓣上测量结果,综合评定不预扩张,预装TaurusElite26瓣膜;沛嘉2代输送器非常柔顺,有利于跨过扭曲的主动脉弓部;

4) 释放采用左右重合体位,瓣下2mm释放,结合多体位术中进一步评估瓣膜深度;

5) 患者心腔尚可,术中密切关注血流动力学变化,警惕循环崩溃风险;

6)术后经胸超声进一步评估瓣膜植入深度,跨瓣压差,右无瓣周漏等相关参数;常规生命体征监测,密切观察病情变化。

术中造影

主动脉根部造影

主动脉弓造影

上长鞘到主动脉弓

输送系统顺利过弓

瓣膜平稳释放

最终造影

结语

此台经股动脉介入主动脉瓣置换术在首都医科大学附属安贞医院心脏外科瓣膜中心顺利完成。2个多小时紧张有序的操作,多学科相互配合,术者团队过硬技术和柔顺的瓣膜输送器都在为这台TAVR手术保驾护航,术前多次科室和全院讨论,详细的手术计划,超长保护鞘、柔顺输送器的选择等保障了手术顺利成功。因为肺高压一旦转体外循环会加重肺功能障碍和心脏功能障碍,最后的结果终于不负众望,患者苏醒后感觉良好,顺利转回病房。

一句“手术顺利”是对患者和家属最好的交代,也是张海波教授团队对于产品最好的肯定。安贞医院此次成功完成高难度TAVR手术,不仅彰显了心脏瓣膜外科团队的高超技术,也向我们展示了应对复杂血管入路的手段多样性。有了安贞心外团队的加持,相信TAVR手术将会续写更辉煌的篇章,也会为更多患者带去福音和希望。

阅读数: 1419