2022年7月13日,南昌大学第二附属医院心血管内科吴延庆教授团队,成功应用康德莱医械(HK1501)旗下子公司上海翰凌医疗器械有限公司研制的带有锚定结构的球扩式TAVR产品Hanchor Valve为一位67岁重度主动脉瓣关闭不全(AR)患者实施了经股动脉入路TAVR手术。
Hanchor Valve经导管主动脉瓣膜系统的全国多中心临床研究由复旦大学附属中山医院葛均波院士团队作为主要研究者。该瓣膜系统系全球首款经股动脉入路、带有锚定结构、具有治疗主动脉瓣关闭不全和重度主动脉瓣狭窄双适应症的球扩式TAVR产品。
2021年11月23日,已由葛均波院士结构团队率先成功完成首例单纯主动脉瓣反流患者的手术。
此次手术的受试患者系单纯主动脉瓣重度反流患者,瓣环平均直径达到27.9mm,考虑患者年纪大、体重轻、基础情况差,外科手术风险巨大,而目前所有经股动脉主动脉瓣置换系统均无法满足患者解剖结构,经南昌大学第二附属医院吴延庆教授团队及中山医院周达新教授团队共同分析及决策后,决定为该患者使用Hanchor Valve实施经股动脉主动脉瓣置换术。
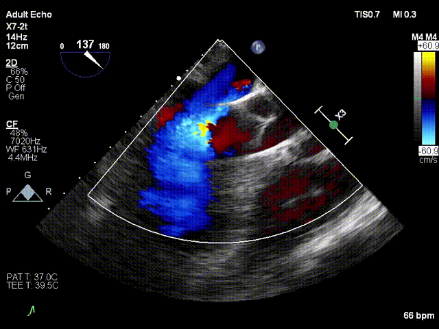
手术于2022年7月13日上午10:30开始,在吴延庆教授团队操作及周达新教授远程视频指导下,于11:10手术成功完成植入,术后造影及心脏超声提示主动脉瓣无残余反流,手术成功,术后转入心脏监护室进一步观察。
以下为该病例详细介绍:
患者病史
患者为67岁男性,身高168,体重49kg,既往10年前因胃出血行胃大部切除术。
术前评估
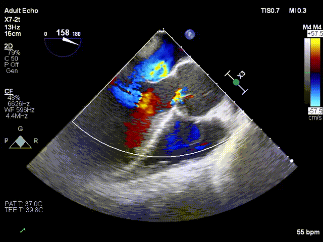
心脏彩超:提示主动脉瓣大量反流。
检查所见:肺动脉瓣口血流速度57cm/s;主动脉瓣口血流速度240cm/s,平均压差10mmHg,估测主动脉瓣口面积2.06 cm²,有效主动脉瓣口面积指数1.34。二尖瓣口面积5.61cm²,二尖瓣反流分数10%。主动脉瓣反流Vmax 547cm²/s,ERO 0.53cm²;二尖瓣口舒张期血流:E/A=47/61,估测肺动脉平均压5mmHg。
二维超声表现:左房稍大,左室增大,右房室腔内径正常范围,室间隔基底段增厚,左、右室壁厚度正常,运动欠协调,动度尚可。房室间隔连续完整。主动脉瓣增厚毛糙,开放尚可,关闭有间隙,余瓣膜形态、结构、启闭运动尚可。主动脉窦部及升主动脉增宽,肺动脉未见扩张,心包腔未见异常。
彩色多普勒探及主动脉瓣重度反流、二尖瓣轻度反流、三尖瓣微量反流血流。
CT评估:三叶式主动脉瓣,无钙化,瓣环27.9mm,窦直径44-46mm。
主动脉根部解剖
入路解剖
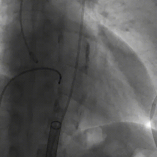
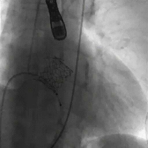
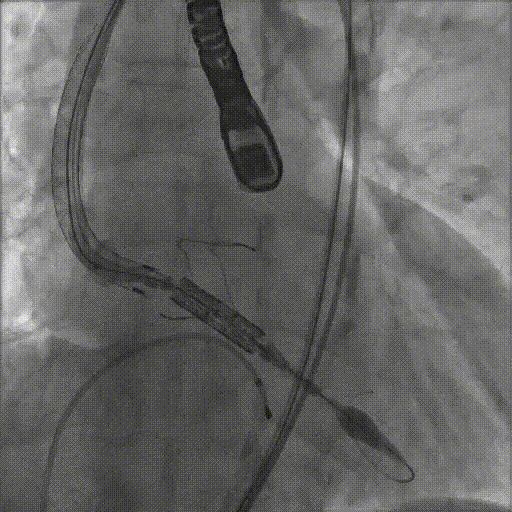
手术过程
造影提示主动脉瓣大量反流
三个定位键定位于主动脉窦底,瓣膜自动定位于主动脉瓣口
术后造影未见残余反流
术前超声
术后超声
吴延庆主任团队评语
“Hanchor Valve经导管主动脉瓣膜系统是国内首款球扩式经股入路的可以治疗单纯性主动脉瓣关闭不全的瓣膜产品,该产品良好的调弯性能能够轻松过弓和保持同轴,定位键能够轻松定位窦底。本例临床试验的患者是一例单纯性重度主动脉瓣关闭不全患者,在治疗中,该独特设计与瓣膜主体对自体瓣叶的夹持可以充分防止瓣膜移位和瓣周漏。
在主动脉瓣膜单纯反流治疗领域,这款极具创新性的瓣膜产品未来将拥有广阔的应用前景。”
专家简介
吴延庆
南昌大学第二附属医院
江西省心血管病医疗中心主任,江西省心血管病质控中心主任、享受国务院政府特殊津贴,江西省赣鄱英才555领军人物、江西省主要学科和技术带头人、江西省青年科学家、江西省百千万人才称号、江西卫生系统首届有突出贡献专家。
现任南昌大学二级教授,主任医师,硕士生/博士生/博士后导师,南昌大学心脑血管病医院院长、南昌大学第二附属医院心内科主任,兼任美国心血管造影和介入学会(SCAI )专家会员、中国医师协会心血管内科分会常委兼基层学组副组长,国家心血管病专业质控中心专家委员会冠心病专家工作组专家、中华医学会心血管病分会动脉粥样硬化和冠心病组委员、中国房颤中心联盟副主席、囯家卫健委及医师协会心血管(心律失常、冠心病、结构性心脏病)介入培训基地导师、江西省康复医学会心血管病专业委员会主任委员、江西省医学会心血管病分会主任委员、巜中国介入心脏病杂志》、《ESC Congress in Review Chinese Editiong》巜中国心血管病研究》杂志编委。共主持及完成国家级课题7项,省、厅级研究项目21项。获省级二等奖2项,三等奖4项,厅级奖7项。担任4部学术专著主编,撰写论文100余篇,其中SCI、核心期刊80余篇。培养硕博研究生70余人。
