孕育新生命是每一位妈妈感到最幸福和最开心的事情,可是何女士一家却无法开心,原来这位准妈妈患有严重的心脏瓣膜疾病,随时会危及生命。
何女士于2018年因“风湿性心脏病”做了二尖瓣及主动脉瓣置换手术,考虑到要小孩的因素,当时选择生物瓣。因为同时患有自身免疫性疾病,需每天服用免疫抑制药物,未能成功自然受孕,经过几次的试管婴儿也以失败告终。
时间一年一年过去,处于绝望状态的何女士终于在2022年初再次经试管婴儿成功怀孕,一家人沉浸在幸福的喜悦中。但厄运再次降临在这个不幸的家庭,何女士在怀孕18周时又出现明显的心慌气促症状,由于病情特殊,很多医院无法接诊,走投无路的她在家属的陪伴下来到广东省人民医院寻求帮助。
产科韩凤珍主任和柳艳丽副主任医师为何女士开启绿色通道,安排住院,入院后的心脏彩超检查发现原来的人工生物瓣膜又出了大问题,瓣口打不开又关不拢。经医院心外科、心内科、CCU、风湿免疫科、产科等科室会诊后一致认为患者病情重,有心衰表现,二尖瓣病变已导致肺动脉压重度升高,需要尽快进行心脏手术治疗。
但这样一例特殊的病例让他们犯了难,因为胎儿是一“珍贵儿”,如何尽最大可能在保证胎儿安全的情况下完成复杂的再次心脏手术呢?
经过充分的术前讨论,2022年5月13日,在广东省人民医院心外科陈寄梅主任和郭惠明主任的组织下,由黄焕雷主任主刀,在心内科、麻醉科、心脏手术室和产科的全力配合下,顶着重重压力,在术前无CT辅助定位、术中无造影的苛刻条件下成功为这位孕18周的何女士行经心尖二尖瓣瓣中瓣手术(TA-TMVIV)。经检索文献,该例“零造影剂”下的孕妇经心尖二尖瓣瓣中瓣手术为世界首例。
术后团队合影
患者基本信息
患者,女性,35岁,5年前出现活动后心慌气促,伴恶心、纳差症状,确诊为风湿性联合瓣膜病,于2018年行主动脉瓣人工生物瓣置换、二尖瓣人工生物瓣置换术、三尖瓣人工瓣环成形。
本想着心脏手术恢复后计划生小孩,但因同时患有自身免疫性疾病,一直未成功,2年前好不容易经试管婴儿怀孕,不幸的是在5个多月时流产。无奈之下进行第二次试管婴儿,但怀孕18周后,何女士出现逐渐加重的心慌气促,辗转多家医院后来到广东省人民医院就诊,心脏彩超检查的结果显示:原来置换的生物瓣又出了大问题,同时伴有重度肺动脉高压。
何女士的疾病诊断为:
1. 心脏瓣膜置换术后;
手术过程:
在手术当天行经食道心脏彩超检查,进一步评估患者心脏功能及瓣膜病变情况,测量二尖瓣原生物瓣内径为23.2mm,决定选择25mm J-Valve瓣膜。
因病情特殊,同时装备好人工心肺机,在手术过程中如出现紧急情况时可随时启用。采用铅衣保护好孕妇腹中的胎儿。
确定心尖位置,并做好标记。常规全身肝素化,按照心尖标记,经左胸部第5肋间前外侧小切口,暴露心尖部位,再经食道心脏彩超进一步确定好心脏的穿刺位置,在相应位置切除一分硬币大小的心包,用两根带毛毡片的2-0 Prolene 线完成十字型荷包缝合。
食道超声引导下穿刺心尖,送入鞘管后,置入预先塑形好的加硬导丝,建立轨道。扩张条扩张心尖穿刺点,在DSA透视下置入 J-Valve 瓣膜输送系统,调整介入瓣膜与原生物瓣瓣环的相对位置(瓣架高度的10%-20%过生物瓣环、位于左房内)。
在原生物瓣内释放25mm J-Valve瓣膜,移除瓣膜输送系统。由于原生物瓣同时存在反流及狭窄,快速起搏下进行球囊(25mm)后扩。
经食道心脏彩超检查显示,介入瓣形态位置良好,无明显瓣周漏,舒张期前向血流通畅。移除加硬导丝,并收紧心尖荷包缝线打结固定。
术中TEE&DSA影像:
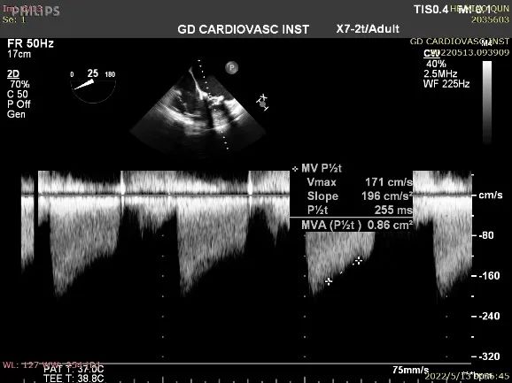
二尖瓣位人工生物瓣中度狭窄
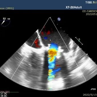
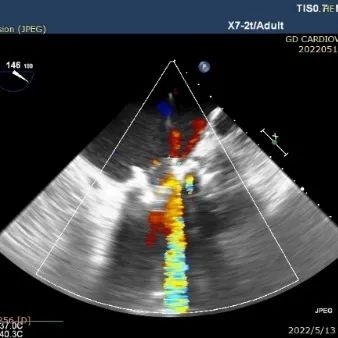
二尖瓣位人工生物瓣重度关闭不全
2D和3D条件下测量衰败生物瓣瓣环内径
TEE&DSA引导下进入加硬导丝建立轨道
DSA&TEE引导下J-Valve定位件展开,瓣膜自膨后形态、位置良好
球囊后扩;舒张期J-Valve瓣膜前向血流通畅;收缩期未见明显瓣周漏
2016年国内专家共识将心脏病妇女妊娠风险分5级,其中将重度肺动脉高压(>80mmHg)归属于V级,属于妊娠禁忌症,如果已经妊娠,则需讨论终止妊娠的问题;而《2018 ESC妊娠期心血管疾病管理指南》中指出任何原因导致的肺动脉高压,无论压力高低均属于最高分级,一旦妊娠需讨论终止妊娠。
该患者通过三尖瓣反流测得的肺动脉收缩压高达91mmHg,属于重度肺动脉高压,按照上述“指南”要求,为了孕妇的生命安全应选择立刻终止妊娠的方案,但考虑到年龄大,几次试管婴儿均失败,好不容易再次试管婴儿成功怀孕,患者强烈渴望能成为一名母亲,如能在妊娠期行心脏手术,治疗好心脏病,并保障胎儿的安全,则可帮助何女士实现做妈妈的梦想。
广东省人民医院产科韩凤珍、心内科薛凌、心外科黄焕雷主任反复讨论,并与何女士和家属进行了多次沟通和详细解释,何女士及家属热切希望能在怀孕期做心脏手术。但巨大的困难摆在所有人的面前,何女士原来置换的二尖瓣人工生物瓣狭窄并重度反流,妊娠合并重度肺动脉高压,合并有自身免疫疾病,病情重。
手术方式有两种选择:常规外科开胸二尖瓣再次置换术和微创介入瓣膜手术,前者需要在全麻、再次开胸,需在体外循环下进行,而体外循环时会出现低温、低血压,且术中、术后需使用麻醉、镇静、抗感染和抗凝等多种药物,导致流产、出血、死胎的风险大;后者不需要体外循环,发生流产及死胎风险相对降低,但依然不能完全排除术中和术后可能发生的其他风险。最终,患者及家属选择了微创介入瓣膜手术的治疗方式。
在目前的微创心脏瓣膜介入手术中,按照入路的途径大致可以分为经股动脉和经心尖介入手术两种方式,前者以目前众多的长支架瓣膜为代表,以股动脉为介入器入路起始点,路径较长,对术者的手感、技巧和力度的要求较高,学习曲线较长,介入瓣膜需“翻山越岭”后方能达到病变瓣膜的部位,在极端情况下,如横位心的患者,介入瓣膜的同轴性无法有效掌控,增加了“飞瓣”、瓣周漏的发生概率;而经心尖路径以J-Valve瓣膜为主要代表,其瓣膜的输送距离较短,术中手感和力道可以及时的“秒对秒”的传导给术者,同时介入器的操作较为简单,手术耗时短,置换瓣膜的关键步骤仅需3-5分钟的时间就可以顺利完成,是一些危重症患者和特殊病例的良好治疗方案。
介入瓣型号的合理选择对于TMVIV的成功尤为重要。一般情况下,术者会参考术前CT评估、第一次手术所使用的瓣膜型号和相应生物瓣膜出厂时的真实内径(True ID)来选择瓣中瓣的型号。
❖
本例患者因是孕妇,为了尽可能减少X线的影响,术前未行CT检查,通过术中2D和3D TEE对衰败瓣环内径的精准测量,并结合术者的丰富经验,为患者选择了25mm J-Valve的瓣膜,成功完成手术,术后瓣膜形态、位置理想,血流动力学稳定。
与其他介入瓣膜不同的是,J-Valve瓣膜在TMVIV中的选择型号尺寸时无需过多的Oversize,可以牢固锚定在原二尖瓣生物瓣内。上述选瓣原则与J-Valve瓣膜独特的定位件设计密切相关。
在经心尖TMVIV时,术者通过DSA可以精确的观察到三个定位件“卡入”原生物瓣瓣脚内的三个凹槽内,因此可以防止巨大的左室收缩压将介入瓣膜冲入左房内的风险。即使在原生物瓣膜显影条件不好的情况下,通过特殊的投照角度(如瓣脚重合)以及定位件在DSA的形态变化、介入器即时的力道反馈,定位件依然可以准确入座。
因此,在三个定位件的帮助下,J-Valve无需通过依赖巨大的径向支撑力就可以牢牢锚定在生物瓣瓣环内,这是这款介入瓣膜的显著优势,并可延长术后远期的使用寿命。同时,J-Valve瓣膜顶端的“波浪”样设计,可以最大限度的降低左室流出道发生梗阻的风险。
DSA是介入瓣膜手术必备的设备,在术中除了可以常规透视下引导导丝、管鞘的顺利入路之外,通过预先设定的特殊投照角度,在造影剂的辅助下可以精准的评估介入瓣的释放位置以及术后即刻效果的评估(有无瓣周漏)等。但对一些特殊患者,如术前肾功能中-重度减低的患者、孕妇,可以不用造影剂,但要考验术者的技术。
目前,国内许多大型心脏病中心均先后报道了“零造影剂”下,术中全程TEE下引导经心尖TAVR成功的案例,综合以上考虑后,黄焕雷团队决定通过TEE来测量衰败瓣膜的瓣环内径并引导术中的重要关键性手术步骤,这样就可以在很大程度上避免了辐射和造影剂对孕妇本人和胎儿的影响。
二尖瓣功能发生显著障碍合并妊娠时对心肺血流动力学影响较大。为了适应母亲和胎儿代谢的增加,妊娠期血容量增多、心输出量增加、心率增快,二尖瓣功能障碍会迫使左房压力进一步增高,而肺静脉和肺毛细血管压力也随之显著升高,临床出现症状或原有的心力衰竭症状加重,胎儿的死亡率随孕妇心功能恶化而上升。选择孕期瓣膜疾病的治疗方案是极为慎重的,如妊娠状态会使生物瓣的老化退变加速,而由于妊娠期的高凝状态以及药物对胚胎早期的影响,置换机械瓣尚缺乏十分安全的抗凝治疗方案。
普通常规外科开胸换瓣手术对患者的创伤较大,对孕妇而言,长时间的体外循环存在体温过低、全身炎症反应和组织低灌注等潜在风险。常规的经心尖介入瓣膜手术创伤少,手术时间短,而且无需体外循环,因此对特殊的病例安全、有效。
广东省人民医院多学科合作,设身处地的为患者和家属着想,制定了一套周密的手术方案,并通过术中熟练、精湛的TMVIV技术以及对TEE的精准理解和判读,成功挽救了患者本人和腹中胎儿的生命,再次谱写了一曲新时代下白衣天使救死扶伤的华丽赞歌,同时各团队的合作也创造了世界首例孕妇经心尖二尖瓣瓣中瓣置换手术,为今后的经心尖瓣膜置换积累了宝贵的经验。
后 续
这位准妈妈术后1小时即拔除气管插管,安全返回病房,她的丈夫眼含热泪的向各位医生表达谢意,我们很难想象这个家庭术前经历了怎样的心路历程,为了一个新生命的到来,他们承受了太多普通家庭难以想象的压力和风险,我们坚信在不久的将来他们终将迎来一个可爱、健康宝宝的出生。类似这样的家庭可能还有很多,但杰瓣同行,大爱无疆,心脏瓣膜疾病并不会夺走她们渴望成为一名母亲的权利和希望,因为每一个生命都应该被这个充满阳光的世界温柔以待。
专家简介
黄焕雷
广东省人民医院
心血管外科主任医师,医学博士,博士研究生导师。
广东省心血管病研究所、广东省人民医院瓣膜与微创心脏外科主任。
国家心血管病专家委员会微创心血管外科专业委员会常委,国际微创心脏外科学会会员(ISMICS),广东省医学会心血管外科分会常委及秘书。擅长微创心脏外科手术治疗,尤其擅长各类微创瓣膜置换与修复手术、以及介入瓣膜手术。每年完成心脏手术近500例,其中全胸腔镜微创心脏手术300余例。全腔镜微创二尖瓣成形手术数量居于全国领先,修复手术成功率接近100%。成功开展了介入主动脉瓣、二尖瓣、三尖瓣的瓣中瓣手术、并在国际上率先开展了全胸腔镜微创瓣叶补片扩大三尖瓣成形新术式用于心脏术后远期三尖瓣关闭不全患者,收到明显成效,大大降低了死亡率。同时积极开展血液管理技术的临床应用,使大部分心脏手术患者避免了输血,减少了输血所带来的风险。
