2022年7月伊始,经过充分的术前评估与准备,在厦门大学附属心血管病医院王焱教授、苏茂龙教授的现场指导下,由院长刘明教授领导的心内科、超声科、麻醉科等通力合作,运用全新一代经导管二尖瓣缘对缘修复系统 – 申淇淇麟®系统,为一位功能性二尖瓣反流患者成功实施了股静脉途径经导管二尖瓣介入修复术。团队配合密切,手术过程顺利。
符合冠心病改变,二尖瓣反流重度(4+),三尖瓣反流轻度,左心室收缩功能低下,EF 32.8%,LVEDD 57mm。
二尖瓣前叶长度26.3mm,后叶长度17.7mm,对合高度约6mm,对合深度约9.5mm,VC 7.0mm,MVA 6.7cm²。
二尖瓣重度关闭不全,考虑FMR。
患者在充分标准化药物治疗后(GDMT)仍然症状明显。经顾问评估后决定采用申淇淇麟®经导管二尖瓣夹及可操控导引导管,在心脏超声引导下施行经皮二尖瓣钳夹术。
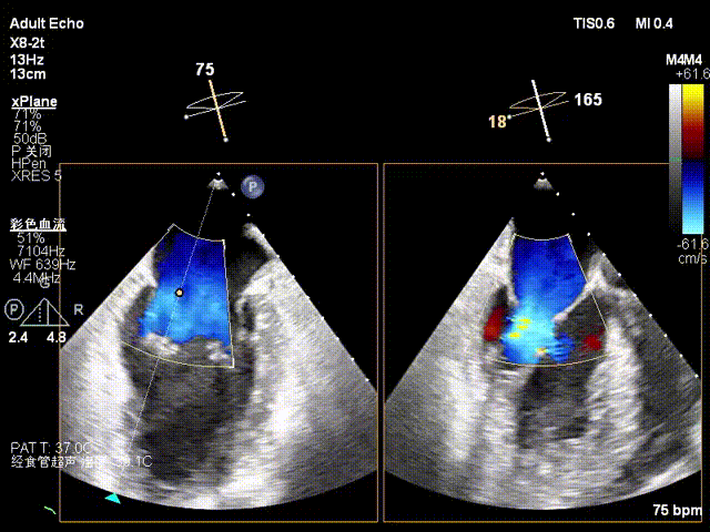
患者全麻后,在经食道超声心动图和X射线引导下,经股静脉入路,将申淇淇麟®系统瓣膜夹顺利送至二尖瓣A2/P2区域,经调整位置使瓣膜夹垂直对合缘,跨瓣,应用单瓣叶独立捕获功能,成功地分别捕捉二尖瓣前叶和后叶,经超声心动图反复确认瓣叶夹持牢固,反流量减少,跨瓣压差3mmHg。遂释放瓣膜夹,超声心动图评估瓣膜夹位置和功能良好,瓣膜夹活动度低,手术顺利完成。
TEE显示,二尖瓣夹植入后反流减少
二尖瓣病变是发病率最高、介入治疗难度最大的瓣膜疾病。据不完全统计,我国二尖瓣病变潜在患者人数逾千万,治疗缺口极大。同时,由DMR及FMR二尖瓣关闭不全构成的复杂二尖瓣反流疾病谱,也大大增加了该类瓣膜病变治疗难度。介入二尖瓣诊疗器械的研发已成为全球心血管介入诊疗领域的热点及难点,而目前唯一成熟的介入二尖瓣技术便是经股静脉途径经导管二尖瓣缘对缘修复(TEER),以雅培的MitraClip™系列产品为代表,其已被FDA、CE和NMPA批准用于包括DMR及FMR的全二尖瓣反流疾病谱病变,临床技术体系已然成熟。
专家简介



