首战告捷 蓄力前行 | 上海市胸科医院何奔教授团队完成国产创新二尖瓣修复介入器械注册临床试验首两例入组
2022-07-11 19:07
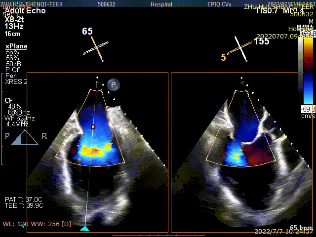
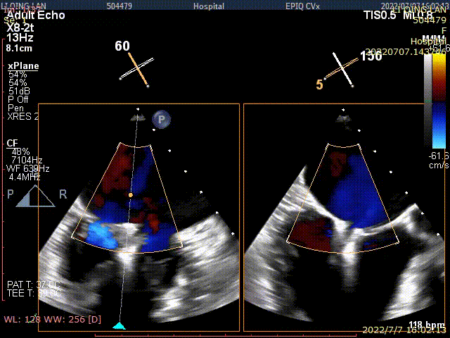
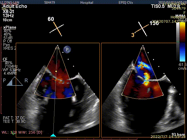
术后TEE显示,二尖瓣双孔化形成,反流明显减少
专家简介
何奔
上海市胸科医院
上海市胸科医院心脏中心主任,心内科主任,主任医师,博士生导师,二级教授。上海市优秀学科带头人,上海市领军人才、国家卫生计生委有突出贡献中青年专家,享国务院特殊津贴。在冠心病、高血压、心律失常、结构性心脏病、心力衰竭等均有丰富的诊治经验,尤其擅长各种高难度冠心病的介入治疗,在经皮左心耳封堵手术预防房颤脑卒中,经导管主动脉瓣置换术和经导管二尖瓣修复手术等方面均有高深造诣,经历各类心导管手术超过2万例。主持多项国家级重点项目,以第一或通讯作者发表SCI收录论文100多篇,总影响因子500多分,论文H指数35。先后荣获上海市医学科技一等奖,教育部科技进步一等奖等多个奖项。他是美国心脏学院专家会员(FACC),欧洲心脏学院专家会员(FESC),美国心脏造影与介入学会专家会员(FSCAI),中华医学会心血管病学分会全国常委,中国研究型医院学会心血管循证与精准医学专业委员会副主任委员,海峡两岸医药卫生协会心血管专业委员会副主任委员,中国心律协会左心耳封堵学组组长。曾获“上海市十佳医生”、“中国十大口碑医生”;上海市五一劳动奖章,上海交通大学校长奖,宝钢全国优秀教师奖等荣誉。
