2022年7月初,南京市第一医院陈绍良教授、张俊杰主任领衔的结构性心脏病团队,成功运用拥有自主知识产权的新一代申淇淇麟®-经导管三尖瓣夹及可操控导引导管系统,为一位高危功能性三尖瓣反流患者成功实施了股静脉途径经导管三尖瓣缘对缘介入修复术,手术过程顺利,首次植入耗时仅2小时左右,患者术后恢复良好。此手术的顺利开展,实现了苏皖地区介入三尖瓣缘对缘修复手术0的突破。
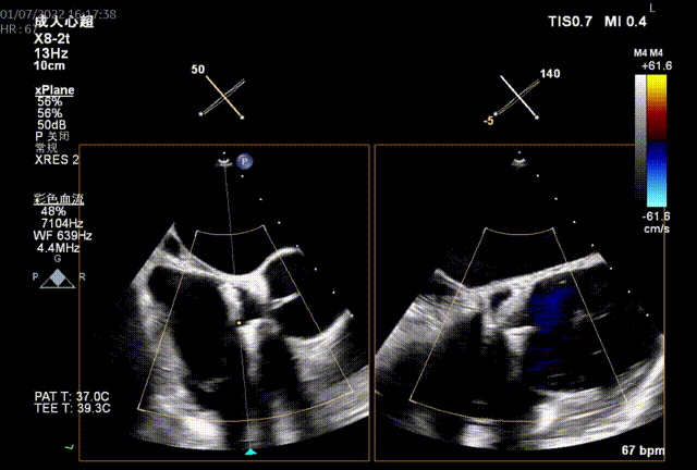
图1:术前TEE
术前TEE提示三尖瓣瓣叶活动尚可,无明显脱垂,隔瓣较短,反流束来源于前瓣及隔瓣交界处,前瓣及隔瓣对合缘保留良好,反流束同时向后隔交接延申。
手术采用申淇淇麟®-经导管三尖瓣夹及可操控导引导管系统,其创新性的采用了复合多向调弯输送系统,在两层鞘管上具备三个不同方向的调弯,可以适应更加复杂的右心室解剖,达到很好的输送同轴性。
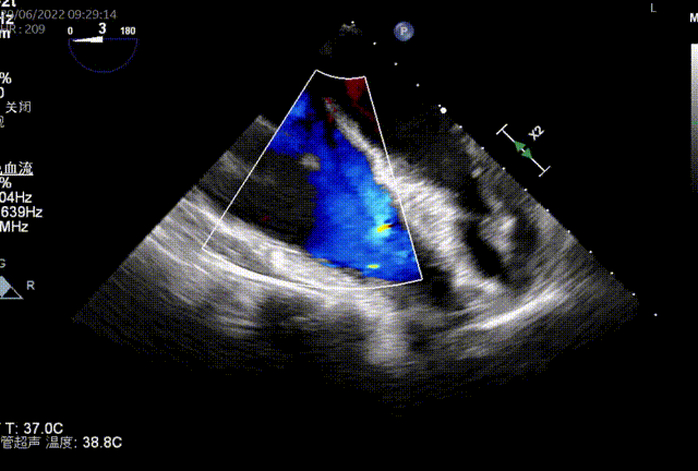
图2:术中TEE
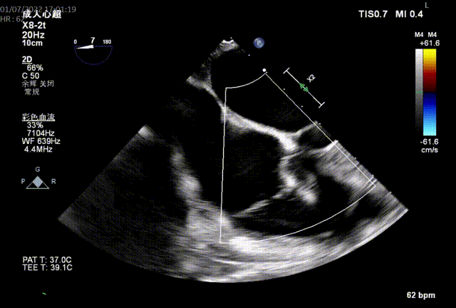
同时其夹子系统继承于申淇淇麟®-经导管二尖瓣夹及可操控导引导管系统优秀设计,具备四个不同型号的夹子及瓣叶分开捕获能力,从而适用于更加复杂多变的三尖瓣解剖。因该患者三尖瓣反流束较宽,瓣叶存在较宽的关闭裂隙,术中很好的利用了瓣叶分开捕获的功能,于前隔瓣区域行瓣膜缘对缘修复。植入一枚长宽夹子后,术后即刻患者反流减至轻度。患者术后恢复良好,出院前TTE提示三尖瓣轻度反流。
图3:术后即刻TEE
专家简介
陈绍良
南京市第一医院
副院长、心内科主任,博士生导师;国家卫生健康委和中国医师协会心血管疾病介入诊疗培训基地负责人;担任美国心脏病学院(ACC)及美国心脏学会(AHA)多个专科委员会委员、美国心血管造影与介入协会(FSCAI)董事会成员、中国医师协会心血管内科医师分会副会长、中国病理生理学会血管医学专业委员会副主委、中华医学会心血管病分会委员会临床研究学组组长;全国卫生计生系统先进工作者、国务院特殊津贴专家、卫生部突出贡献中青年专家、江苏省333高层次人才培养(第一层次)、江苏省突出医学成就奖、南京市劳动模范。
荣获国家科学技术进步二等奖、教育部及江苏省科学技术进步一等奖等多个奖项,牵头国际国内多中心研究18项,作为通讯作者在国际一流杂志发表SCI论文200余篇,连续8年入选“医学”类中国高被引学者榜单,单篇学术论文最高被引用1000余次为中国心血管专业论文被引最多篇次;成功取得医疗器械及新药研究等科技成果专利58项,设计的“多极同步肺动脉射频消融导管”获国家发明专利,在欧美、东南亚等10余个国家获PCT国际专利,并获美国FDA突破性医疗器械资质。其发明的“双对吻挤压术(DK CRUSH术式)”被2018年欧洲心脏病学年会(ESC)《心肌血运重建指南》向全球推荐。2020年荣登全国心血管病专家学术影响力百强名单第二名。长期从事心血管病的基础研究、临床诊断与治疗,尤其在介入心脏病学领域具有丰富的经验、娴熟的技术和突出的研究成果,为推动我国心血管介入事业发展作出了突出贡献。
张俊杰
南京市第一医院
主任医师,心内科常务副主任,心导管室主任。近五年以第一作者或通讯作者发表SCI论文30篇(累计IF超过170;其中两篇JACC,一篇 EHJ),参编著作4部及国内外指南和专家共识8部。主持负责国家自然科学基金面上项目2项,江苏省六大人才高峰项目2项,江苏省发改委面上项目1项,南京市中青年拔尖人才项目,十三五南京市青年人才培养项目(第一层次)。
擅长冠心病和瓣膜性心脏病介入诊断与治疗,尤其是复杂高危病变介入治疗。兼任中华医学会心血管病分会青年委员,心血管临床科研学组秘书,中国医师协会心血管内科医师分会血栓防治学组委员,卫健委冠脉介入培训导师,美国心血管造影与介入学会会员(FSCAI),亚洲分叉病变俱乐部及冠状动脉分叉病变峰会秘书长,美国经导管心血管治疗(TCT)主席团成员,中国经导管心血管治疗(CIT)主席团以及资深工作组成员,JACC中文版、JACC Cardiovascular Interventions中文版和EHJ Cardiovascular Imaging中文版编委,Euro intervention和JAMA cardiology 杂志的审稿人。

