一气呵成,三战告捷:周口市中心医院贾国力教授团队应用SAPIEN 3瓣膜 ¹一日内完成3例高难度TAVR手术

图片

近日,周口市中心医院心内五科主任贾国力教授团队在郑州大学第一附属医院姜正明教授指导下,在医院心脏大血管外科、导管室、麻醉科、手术室、超声科、内镜中心等科室大力支持下,应用SAPIEN 3瓣膜,同日内接连克服三位患者不同瓣叶畸形、重度钙化、室间隔缺损合并膜部瘤、冠脉高风险以及心力衰竭等多重困难,顺畅完成过弓、跨瓣及释放操作,实现了手术的圆满成功。

此前,周口市中心医院已成功完成5例TAVR手术,此次3例手术的圆满成功,标志着周口市中心医院结构性心脏病介入治疗水平已经成熟,积蓄实力更好守护患者“心门”;也显示了SAPIEN 3瓣膜发挥新技术优势,为此地区患者带来诊疗“心”选择。

病例1:二叶瓣重度钙化,室间隔缺损伴膜部瘤

患者资料

患者为72岁女性,重度钙化Type1二叶瓣,超声提示主动脉瓣口流速5.7m/s, 平均压差66mmHg,EF值60%,室间隔缺损伴膜部瘤。

Type1: 

pe1型二叶瓣,瓣环面积:433mm²,流出道面积:434mm²,左冠开口高度:16mm,右冠开口高度:13.9mm。

图片
图片
图片
图片

图片


手术策略:

患者入路良好,无迂曲、无钙化,直径大于5.0mm;冠脉高度可,阻塞风险低;少见的室间隔缺损伴膜部瘤,瓣环边界不能清晰界定;因此拟全麻下,以右股为主入路,根据23mm球囊预扩张情况再决定植入瓣膜尺寸,备选23mm&26mm SAPIEN 3瓣膜,植入高度80/20。

手术过程:

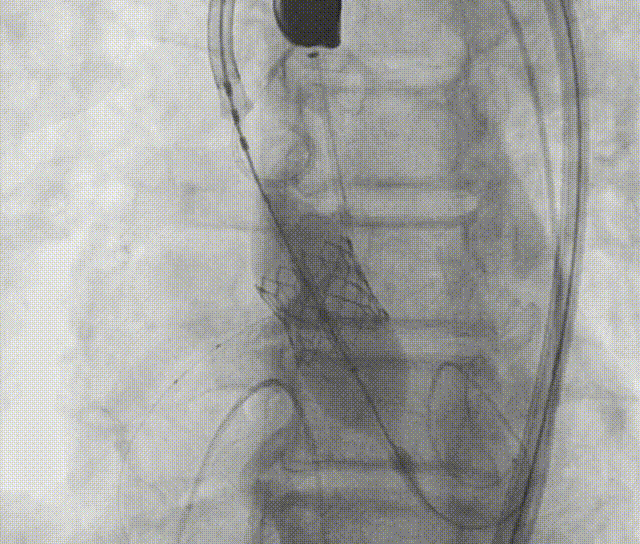
全麻下建立双侧股动脉入路,以右股动脉为主,导丝跨瓣后置换猪尾导管,确定共平面。

图片

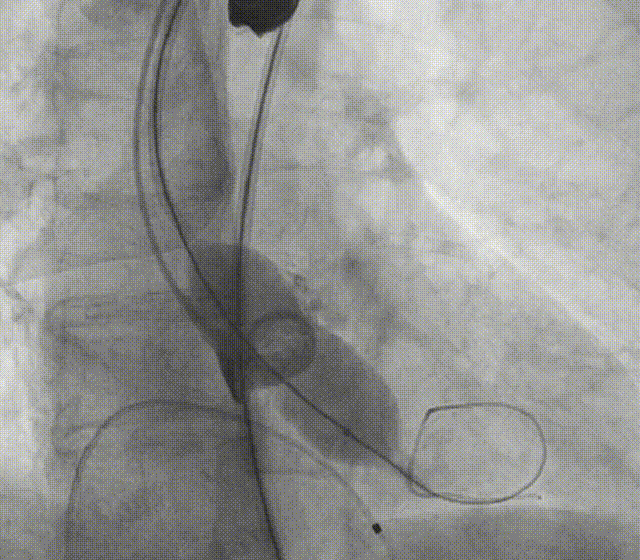
使用23mm球囊进行预扩,两侧钙化被球囊推开。

图片

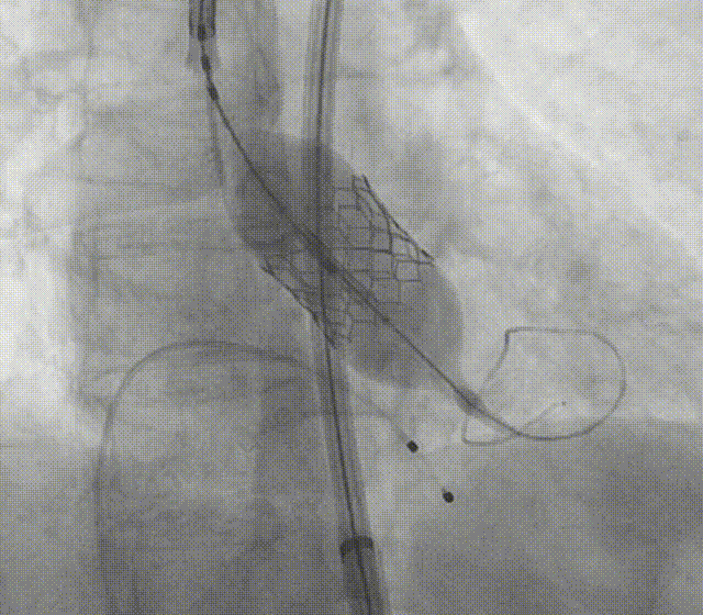
通过支撑导丝,送入26mm SAPIEN 3瓣膜,使用独特调弯功能,保证安全过弓并成功跨瓣;调整至共平面角度,瓣膜到位,快速起搏下-2cc精准释放瓣膜。

图片

原体积后扩。

图片

出导丝后,造影超声结果均显示瓣膜工作良好,瓣膜释放后流入/流出比例=20:80,术后导管测量无压差,经胸超声检测无瓣周漏、无起搏器植入、无并发症,手术成功。

图片

病例2:四叶式主动脉瓣合并冠脉高风险

患者资料

患者为72岁男性,中度钙化四叶瓣,超声提示主动脉瓣口流速5.5m/s, 平均压差70mmHg,EF值58%。

术前CT

中度钙化四叶瓣,瓣环面积:418mm²,流出道面积:476mm²,左冠开口高度:12.2mm,右冠开口高度:9.2mm。

图片
图片
图片
图片
图片
手术策略

患者入路良好,无迂曲、无钙化,直径大于5.0mm;右冠开口低于瓣叶,为安全起见置放球囊保护。由于为少见的四叶瓣,因此须谨慎选择尺寸,可选择先保守尺寸固定,再根据情况后扩。拟全麻,以右股为主入路,20mm球囊预扩张后根据情况选择23灵活调整体积,备选23mm SAPIEN 3瓣膜,植入高度80/20。

手术过程

全麻下建立双侧股动脉入路,以右股动脉为主;导丝跨瓣后置换猪尾导管,确定共平面。

图片

使用20mm球囊进行预扩。

图片

通过支撑导丝,送入23mm SAPIEN 3瓣膜,使用独特调弯功能,保证安全过弓并成功跨瓣;调整至共平面角度,瓣膜到位,快速起搏下-2cc精准释放瓣膜。

图片

+1cc体积后扩。

图片

撤出导丝后,造影超声结果均显示瓣膜工作良好,瓣膜释放后流入/流出比例=80:20,术后导管测量压差5mmHg,经胸超声检测无周漏、无冠脉阻塞、无支架植入、无起搏器植入、无并发症,手术成功。

图片

病例3:重度钙化二叶瓣伴心衰

患者资料

患者为70岁男性,重度钙化Type0型二叶瓣,超声提示主动脉瓣口流速4.4m/s, 平均压差50mmHg,EF值39%。

术前CT:

重度钙化Type0型二叶瓣,瓣环面积:481mm²,左室流出道面积:533mm²,左冠开口高度:24.1mm,右冠开口高度:20.2mm。

图片
图片
图片
图片
图片

手术策略

患者入路良好,无迂曲、无钙化,直径大于5.0mm;由于为重度钙化Type0型二叶瓣,瓣叶交界处有巨大钙化结节,预计不可移动,为避免根部夹层,因此需考虑Downsize策略;升主增宽,选择球扩瓣可调弯系统可减少对主动脉弓的损伤,增强通过性。拟全麻,以右股为主入路,20mm球囊预扩张推挤钙化,备选23mm SAPIEN 3瓣膜,植入高度90/10。

手术过程

全麻下建立双侧股动脉入路,以右股动脉为主;导丝跨瓣后置换猪尾导管,确定共平面。

图片

使用20mm球囊进行预扩,无腰征无反流。

图片

预扩未见右冠显影,球囊主动保护。

图片

通过支撑导丝,送入23mm SAPIEN 3瓣膜,使用独特调弯功能,保证安全过弓并成功跨瓣;调整至共平面角度,瓣膜到位,快速起搏下+1cc精准释放瓣膜。

图片

撤出导丝后,造影超声结果均显示瓣膜工作良好,瓣膜释放后流入/流出比例=90 :10,术后导管测量压差6mmHg,经胸超声检测微量瓣周漏,无冠脉阻塞、无支架植入、无起搏器植入、无并发症,手术成功。

图片

迎难而上,为患者制定恰当治疗策略
此次手术的三位患者,心脏彩超均显示主动脉瓣重度狭窄。其中,第二例患者合并右侧颈动脉完全闭塞,左侧椎动脉重度狭窄,第三例患者合并心力衰竭以及双侧大量胸腔积液,入院时EF值仅为25%。考虑到患者高龄、外科手术风险高且不愿接受外科手术等因素,贾国力教授团队对患者进行认真评估,组织多学科会诊,经过反复斟酌后决定实施TAVR手术,并制定了相应治疗方案;三位患者于同日顺利完成手术,术后恢复良好。
SAPIEN 3瓣膜短瓣架、大网格设计,以及输送系统的双重调弯等功能,避免了冠脉支架植入,为患者带来更大获益。此外,在释放过程中精准定位,能够有效降低起搏器植入率,减少相关并发症发生,极大助力了本次手术的成功开展。
不断精进,用实力为患者护航
同天3台TAVR手术的圆满成功,显示了手术团队间的密切配合与专业实力,也体现了为患者健康保驾护航的追求。周口市中心医院心内五科是心脏介入治疗专科病区,同时也是周口市临床医学重点学科,承担了本市胸痛中心急性心肌梗死救治,以及疑难危重症患者的会诊与抢救任务。在心血管疾病介入诊疗方面,开展有冠状动脉内支架置入、结构性心脏病(先天性心脏病、心脏瓣膜病)介入诊疗、心脏永久起搏器植入、心脏电生理检查及射频消融等技术。未来,团队将不断精进手术技艺,提升专业水平,为更多患者提供高质量诊疗服务不懈努力。

注释:1.SAPIEN 3瓣膜为经导管主动脉瓣膜系统,注册证编号:国械注进20203130291。

Code:THV-2022-35

说明:本文体现了专家的学术观点,旨在促进医学信息的沟通和交流,仅供医疗卫生专业人士参考,文章所涉医疗器械的完整描述信息,包括适应症、禁忌症、警告、注意事项和副作用,详见说明书。

阅读数: 1554
相关专题