病例特点:
1.89岁高龄,肾功能不全Ⅲ期
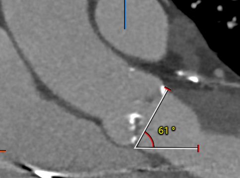
2.主动脉瓣环与水平夹角61°,横位心
3.左冠开口低,且患者伴冠脉粥样硬化,冠状动脉左前降支近段中度狭窄,日后可能PCI治疗
4.胸腹主动脉走形呈S形迂曲,管壁散在混合型斑块
5.心脏起搏器术后,心房扑动,室性早搏
近日,重庆市人民医院陈灏主任团队成功应用Evlout PRO挑战一例高风险病例。经过陈灏主任团队术前对该病例充分分析,对假体瓣膜的稳定性、顺应性以及冠脉安全性极高要求。最后运用Evolut PRO的Cusp Overlap 标准6步植入法和Commissure Alignment技术顺利完成手术,为冠脉预留足够通路的同时,术后即刻患者血流动力学得到了显著改善。
三叶瓣,瓣环大小适中,无冠窦钙化较重,窦部空间合适,左冠开口高度低,双下肢入路可。


外周血管入路
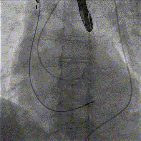
综合各项评估,手术团队采取右侧为主入路,鉴于左冠风险,决定先用10mm球囊,再用22mm球囊预扩,植入Evolut PRO 29mm瓣膜、Cusp Overlap标准6步植入法、20Fr导引鞘。
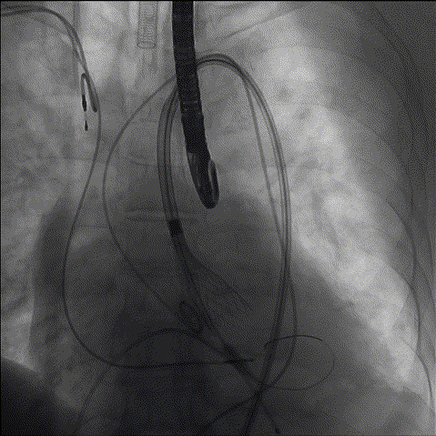
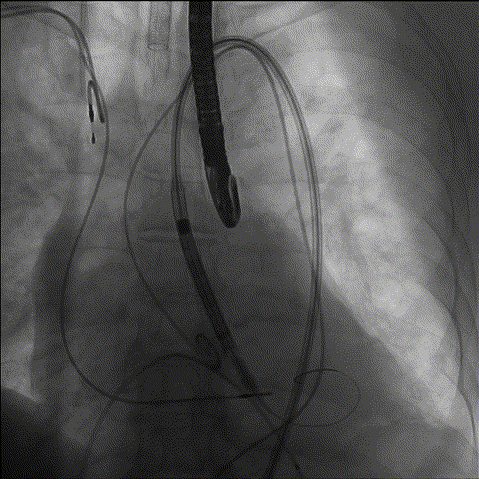
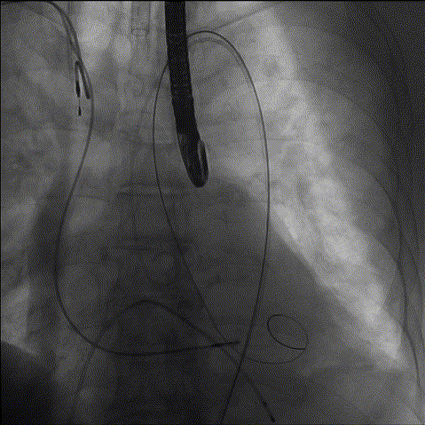
1、冠脉造影
2、主动脉根部造影
3、预扩
5、即刻超声
峰值流速:1.2m/s;平均压差:11mmHg ,仅微量瓣周漏。
陈灏教授:良好的通过性让输送装置没有借用snare就顺利到位,独特的Commissural Alignment标志和技巧给将来冠脉介入提供了保障。
根据《中国心血管健康与疾病报告2020》,心脏瓣膜疾病加权患病率为3.8%,约有2500万人受到瓣膜病影响,其中150万为重度主动脉瓣狭窄患者。令人担心的是,在国内主动脉瓣狭窄远不如高血压、冠心病等为广大人群所知,但主动脉瓣狭窄却非常凶险和致命——早期几乎没有征兆,中后期会导致患者呼吸急促、头晕、心绞痛等不适,甚至可能出现心衰。如果不得到有效的治疗,50%患者会在2年内死亡,80%患者会在5年内死亡。
专家简介
陈灏
重庆市人民医院
主任医师、教授、心血管外科主任。
重庆市学术技术带头人(心血管外科)、重庆市中青年高端医学人才;获2017重庆市首届“最美医务工作者”提名、2019“重庆好医生”等荣誉称号。先后毕业于四川大学华西医学中心和重庆医科大学,从事心血管外科临床工作23年,曾赴北京阜外心血管病医院、德国卡尔斯鲁厄心脏外科医院、美国康奈尔大学威尔医学中心和克利夫兰诊所学习、访问、交流。中国研究型医院学会心脏瓣膜学专业委员会委员、国家微创心血管外科专委会委员、重庆市中西医结合学会心血管内外科联合专委会副主任委员、重庆市医学会心胸外科专委会委员、重庆市医师协会心血管外科专委会委委员、重庆市医学会微创外科专委会微创心血管外科学组副组长、国际微创心胸外科协会会员、中华医学会胸心血管外科学分会全国青年委员会第七、八届委员。
