昆医附属延安医院结构性心脏病学组为一位冠脉高风险四叶瓣重度AS患者完TAVR+PCI+PDA一站式治疗
图片


 经典病例

图片

近日,昆医附属延安医院心内科结构性心脏病介入团队为一位冠脉高风险、主动脉瓣重度狭窄合并中度关闭不全的四叶瓣患者完成了TAVR+PCI+PDA一站式治疗。


患者心腔小、瓣叶重度钙化、心衰急性加重、双侧胸腔大量积液,病情高危且极其复杂。同时因为四叶式主动脉瓣(QAV)发病率极低,对该类患者实施TAVR手术,存在瓣膜定位困难,瓣膜植入后冠脉遮挡等风险,对术者颇具挑战性。


考虑到该患者冠脉低开口,小心腔,瓣叶重度钙化,心功能差等特点,结构性心脏病介入团队经过认真评估讨论,排除了外科及经心尖TAVR治疗。决定先期进行双侧胸腔穿刺引流,初步控制心衰等处理。随后,经股动脉完成TAVR手术、在IVUS指导下解决左冠开口的风险、并同期完成了PDA介入封堵术。最终手术顺利的完成,挽救了患者的生命。


能够成功的为这例极罕见且极高危患者成功的完成一站式治疗,得益于昆医附属延安医院心内科长期以来在心脏瓣膜病、先天性心脏病、冠脉介入技术上的技术积累。此次手术的圆满成功,也标志着昆医附属延安医院结构性心脏病微创介入团队在介入瓣膜技术领域再上一个台阶。

图片

术前检查

心脏彩超

图片
图片
  • 主动脉峰值流速470cm/s,峰值压差88mmHg

CT评估

  • CT显示分布的四叶瓣,瓣窦较小,冠脉开口较低,瓣叶冗长增厚,左右冠瓣叶长度均超过STJ高度。

  • CT术前预估冠脉遮挡风险较高,术者团队计划Downsize选择人工瓣膜尺寸,植入21mm瓣膜,并对冠脉进行预保护,进行TAVR术治疗。

图片

主动脉根部情况

图片

左冠风险评估

图片

右冠风险评估

  • 术前CT预估21mm人工瓣膜植入后位置及STJ层面残余空间。患者右-无、双无冠状窦少量粘连,预计瓣膜植入后向左右冠窦方向偏移。

  • 考虑到术后可能需要植入冠脉保护支架,因此选择大网孔的VitaFlow®瓣膜,为术中/术后冠脉介入提供保障。

图片

术前发现患者合并动脉导管未闭
管型6.2mmx12.9mm

手术治疗策略

术前讨论

术前杨栋教授总结了该病例的特点:

  1. 四叶瓣畸形,瓣环周长70.3mm,均径21.9mm,LVOT周长70.7mm,均径22.5mm。因主动脉瓣根部重度狭窄,瓣叶增厚明显,冠脉遮挡风险高,决定Downsize计划使用微创18mm球囊预扩张,如无明显反流,则植入 TAV21mm瓣膜。

  2. 双侧入路血管迂曲,管壁光滑,分叉高度可。左侧血管平均最小内径7.6mm,右侧血管平均最小内径7.6mm,建议右侧股动脉为主入路。

  3. 左右冠开口高度低,尤其以右冠开口为甚,决定预先采取冠脉保护,在冠脉保护下释放瓣膜。

  4. 升主动脉弓角度良好,使用VitaFlow Liberty™瓣膜系统过弓应顺畅。

  5. 根部特殊的四叶瓣结构,释放瓣膜的定位及稳定,术中需实时观察并做调整。

  6. 患者合并动脉导管未闭,计划主动脉瓣植入完成后经主动脉路径完成动脉导管未闭封堵。

术中操作

球囊预扩

图片

双侧冠脉显影,
18mm球囊几乎封堵瓣口,无明显反流。

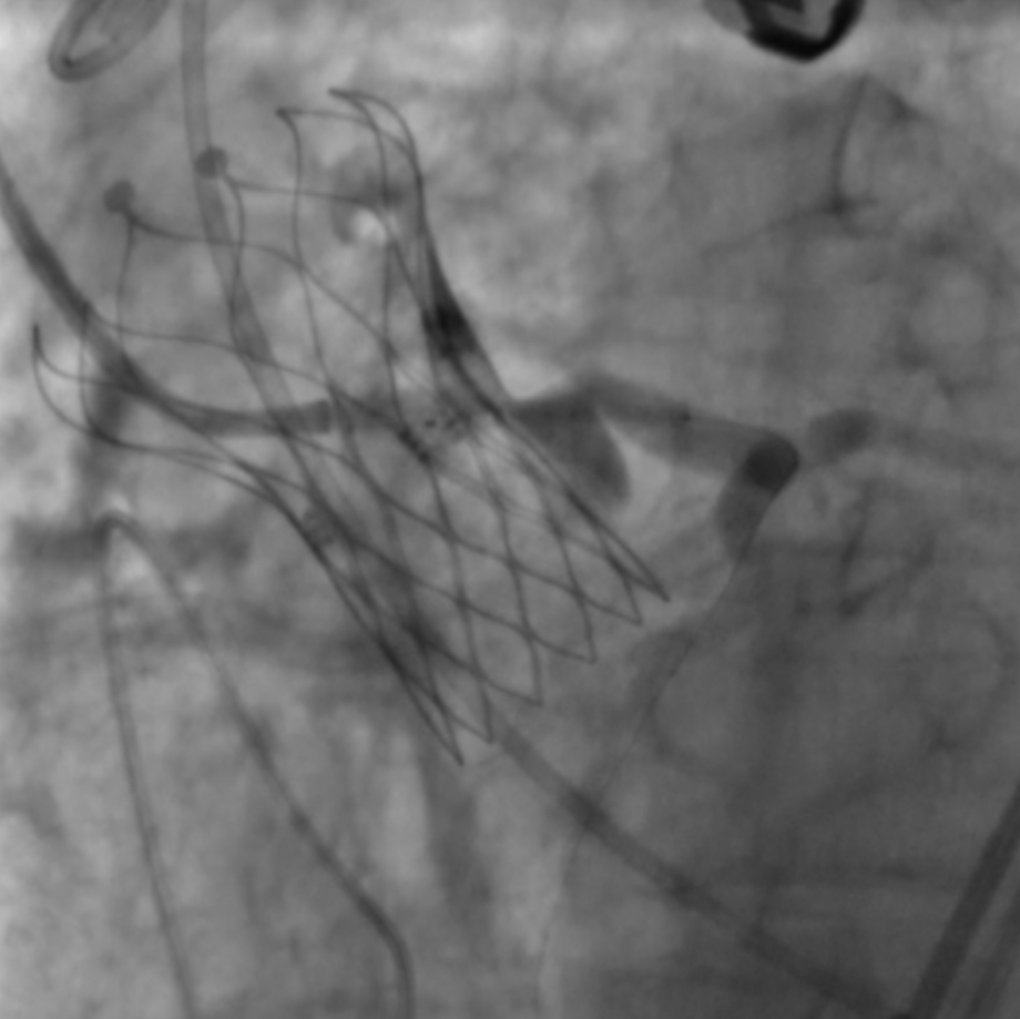
冠脉保护下释放瓣膜

图片

左冠口疑似遮挡

IVUS检查冠脉开口,

进一步精准评估冠脉开口遮挡情况

图片
图片

IVUS检查提示因原瓣叶遮挡,左冠开口受阻,最窄处残余缝隙0.66-0.82mm。

图片

右冠开口残余1.56mm-3.46mm,血流无明显阻挡。

图片
图片

左冠植入4.0x19mm冠脉开窗支架


图片

5.0mm球囊后扩张支架近段

图片

复查左冠开口面积恢复至12.76mm2

图片

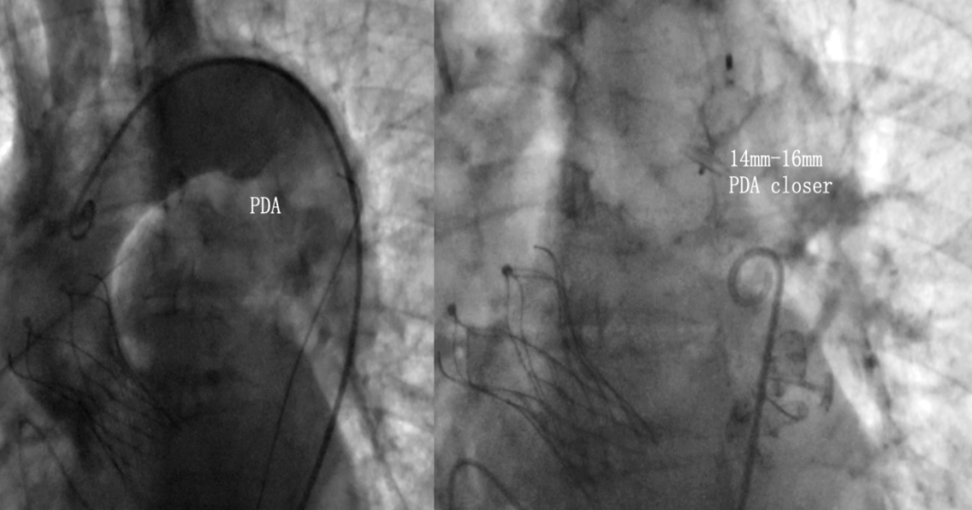
经主动脉路径植入14mm-16mm PDA封堵器

图片

术者团队瓣膜释放中

术后评估

术后经导管同步测压,跨瓣压差由70mmHg,改善至术后0mmHg。经食道超声显示VitaFlow®瓣膜位置固定,无瓣周漏,瓣膜形态良好。再次通过IVUS评估左侧冠脉开口面积恢复至12.76mm2,患者生命体征平稳并监护。

术后讨论

主动脉瓣四叶畸形 (QAV) 是一种极为罕见的先天性心脏瓣膜病,据报道其尸检发病率为0.00028-0.00033%。超声心动图检出率为 0.0059-0.0065%。在我中心开展的TAVR病例中,遇到的一例四叶瓣,且伴有钙化及冠脉开口低的特征,评估时要注意冠脉阻挡的风险。本病例从CT根部结构剖析,右无窦间的窦相对偏小不对称,瓣叶严重增厚冗长。24mm的瓣环最终选择了Downsize策略选择了TAV21mm瓣膜,对应使用18mm球囊进行预扩,最终植入21mm瓣膜后很好的封住瓣环及流出道,无反流,无压差,血流动力学稳定。然而对释放完瓣膜后后期处理冠脉上VitaFlow®特殊的大网眼设计人工瓣膜,使得瓣周及瓣内开窗入路指引导管得以顺利到位,最大限度保障了冠脉开口的安全性。IVUS也为植入冠脉保护支架提供了精确判断和引导。经过微创介入技术,实现了主动脉瓣和动脉导管未闭一站式介入治疗。


昆医附属延安医院心内科结构性心脏病介入团队自常规开展TAVR手术以来,不断挑战各类高难度病例:急诊TAVR、超高龄患者、冠脉高风险、二叶瓣畸形TAVR、入路及其扭曲等高难度TAVR术。此次四叶主动脉瓣病例,术中运用血管内超声(IVUS)技术指导冠脉保护,术前诊断病例的精准评估,术中完美的团队协作,保证了手术安全顺利进行。

专家信息

图片

杨栋

昆明医科大学附属延安医院

杨栋教授,心内科先心病与结构心脏病诊疗中心主任

副主任医师,昆明医科大学附属延安医院心血管内科专家,云南省医师协会心血管病分会常委、云南省医学会心血管病学分会委员、云南省心脏康复中心联盟第一届委员、冠心病和先心病介入培训导师。对心内科各种常见病、多发病、疑难、急危重症的诊治有丰富经验,擅长复杂冠心病的冠脉支架置手术(如:左主干分叉、 钙化、IVUS、CTO、FFR等)和结构性⼼脏病(主动脉瓣狭窄 TAVR 治疗、二尖瓣狭窄球囊扩张、瓣周漏介入封堵术),先心病的介入手术(如:动脉导管未闭、房间隔缺损、室间隔缺损、肺动脉瓣狭窄、冠脉瘘、微创主动脉瓣置换术、左心耳封堵术等)每年完成心内科介入手术 1500余台,累计完成介入手术2万余例,已培养了心内科专科介入医生30余名,在核心期刊上发表文章10余篇,参编专着5本。




图片

陈志鹏

昆明医科大学附属延安医院

陈志鹏 昆明医科大学附属延安医院

昆明医科大学附属延安医院心内科,昆明医科大学硕士研究生毕业,主要从事心血管内科急重症、结构心脏病(瓣膜心脏病、先心病)、冠心病等诊疗工作。先后在心内CCU、心内科结构心脏病组(心内四病区)工作。业务专长:经导管主动脉瓣植入术(TAVI术)、冠心病介入术、左心耳介入封堵术等心内科微创手术治疗。


阅读数: 691