2022年7月7日上午十点,复旦大学附属中山医院手术室内,王春生教授、魏来教授带领中山医院微创瓣膜手术团队:潘翠珍教授、董丽莉教授、郭克芳教授、李伟医师,杨晔医师、王文硕医师等,有条不紊地向全网直播一台“特殊”的手术——世界首例双瓣膜反流“一站式”TEER+TAVR联合手术。
“二尖瓣夹合器位置稳定……彩色多普勒超声显示仅微量二尖瓣残余返流……主动脉瓣释放成功,未见明显反流,未见明显瓣周漏,患者生命体征平稳……”
在团队成员的紧密配合下,仅仅一个小时,手术顺利结束。手术的成功开展不仅避免了患者行传统开胸手术带来的伤痛,也标志着我国瓣膜疾病介入治疗水平再攀新的高峰。
术后,魏来教授接受了严道医声网的采访,详细讲述了手术背后的故事。

60分钟手术纪实
▼▼▼
此次手术的对象是一名77岁的女性患者,STS评分6.676%;超声结果显示,患者二尖瓣后叶P2区脱垂改变,腱索断裂,部分瓣尖错位、瓣叶牵拉伴重度二尖瓣反流;同时主动脉瓣增厚伴中度主动脉瓣反流。
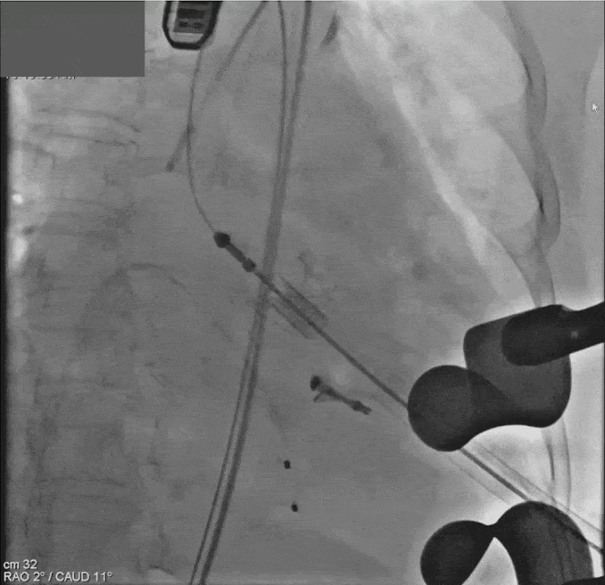
手术于全麻下进行,采用经心尖途径,在超声引导下首先将ValveClamp二尖瓣夹合器顺利植入,夹合器位置稳定,二尖瓣反流基本消失,多切面证实夹合组织充分,双孔化形成,移除器械输送系统。随后通过支撑导丝送入23mm J-Valve介入主动脉瓣,准确入主动脉窦后完全释放瓣膜,撤出输送器。造影评估结果,主动脉瓣反流消失,冠脉开口通畅,无传导阻滞,手术圆满成功。
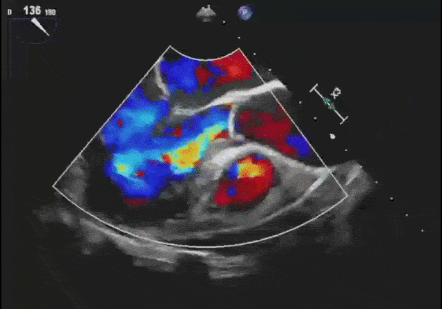
心超:二尖瓣夹合满意,双孔形成,几乎无残余返流
Q1
为什么TEER和TAVR同时做?
魏来教授:二尖瓣与主动脉瓣联合瓣膜疾病在临床上比较常见的有两类,一是老年退行性主动脉瓣病变,伴功能性二尖瓣关闭不全。此类患者经过外科或介入主动脉瓣置换后,大多二尖瓣功能明显好转。所以此类患者我们在实施主动脉瓣置换手术时多无需同期处理二尖瓣,如果同时实施二尖瓣缘对缘手术,反而可能因为二尖瓣口缩小而给患者带来不利影响。如果患者经规范药物治疗数月后二尖瓣反流仍无法缓解,再行TEER治疗是合适的。
第二种常见情况是风湿性心脏病同时累及二尖瓣和主动脉瓣,多表现为双瓣膜狭窄或狭窄合并关闭不全。此类患者往往年龄较轻,是传统外科手术的适应证。对于拟实施介入治疗的高龄高危患者,主动脉瓣位也可以考虑TAVR,但二尖瓣位目前只能选择姑息性的球囊扩张稍加缓解,而无法采用TEER治疗。
这次手术直播的患者高龄高危,而且病情比较特殊:重度二尖瓣反流为原发性,来源于P2腱索断裂,同时合并主动脉瓣退行性反流病变。这两个病变相对独立,无法通过单个瓣膜手术改善另一个瓣膜病变,因此我们选择“一站式”TEER联合TAVR手术。
另一个需要讨论的问题是中度主动脉瓣反流是否需要实施TAVR手术?按照2020年美国AHA/ACC瓣膜病管理指南,在实施其他心脏手术(比如二尖瓣手术)的同时,如果患者存在中度主动脉瓣反流,同时实施主动脉瓣置换是合理的,对病人有利(IIa类推荐)。
目前,唯一获批可用于主动脉瓣反流的介入瓣膜产品为杰成经心尖J-Valve,因此我们首选经心尖入路。而捍宇的TEER器械ValveClamp同样经心尖入路,且具有夹合位置精确、操作时间短、无需射线等优势。两者结合可以给患者带来最优化的解决方案。
通过我们对这两款经心尖TEER和TAVR产品的使用经验,即使没有太多的介入基础,心外科医生也可以在20例以内基本度过学习曲线。
当然,对微创的追求是无止境的,这两款产品均已推出经外周血管途径的下一代产品,均由中山医院牵头开展多中心临床试验,今后医生可以根据患者病情和自身特点选择对患者最合适的术式,以取得最好最安全的效果。
Q2
为什么先做TEER再做TAVR?
魏来教授:首先该患者二尖瓣反流是其最核心病变,二尖瓣手术做完后,患者心功能会得到明显改善,血流动力学指标会更稳定,有利于后续手术。
其次,ValveClamp的器械直径只有5mm,J-Valve的器械直径是9mm,先做二尖瓣手术对心尖穿刺点止血有利。
第三,TEER手术对心尖穿刺点的位置选择要求比较高,我们需要先找到最有利于ValveClamp实施的心尖位置。相较而言J-Valve对心尖穿刺点要求不太高,可以放在次要位置考虑。
Q3
术前做了哪些准备?
魏来教授:所谓“台上一分钟,台下十年功”,功夫主要在台下。TEER与TAVR联合手术仅仅花了一个小时不到,是因为术前团队缜密的规划与充分的预案。
术前规划包括对病人病情的全面了解与病变瓣膜解剖结构的判断。该病人已在我门诊随访2年,我动态观察其病情变化,发现瓣膜病变逐渐加重。她前前后后已做了有七八次心超,其中包括两次食道超声,两次CT检查。
术前我们再一次详细测量患者心脏各种参数,包括二尖瓣病变的原因和准确位置、二尖瓣前后叶长度、开合角度、开口面积、返流口的长宽、返流束方向与面积、主动脉瓣环/窦/窦管交界/左室流出道等各种径线长度和角度、左室/左房/主动脉等大小、心尖与二尖瓣环及主动脉瓣环同轴性等。因此我们在手术中将从哪里切开、哪个点穿刺、什么方向进入器械、选择多大的二尖瓣夹和主动脉瓣、夹合位置与夹合量、预估效果如何、如果出现意外如何处理等均已在术前就了然于胸。
Q4
术中有遇到哪些困难?
魏来教授:因为术前规划缜密,这例手术确实没有遇到什么困难。需要注意的是介入瓣膜手术与我们日常的外科手术有所不同。心外科医生每天都打开心脏直视观察心内各种结构,对三维空间概念相对比较强,这本身是心外科医生从事介入工作的一点小小的优势。但介入手术无法打开心脏,我们需要借助想象力,将头脑中的三维空间概念与射线或心超的二维图像相匹配,自如的互相转换。
我们要多向其他介入医生和心超医生学习并加强交流。比如ValveClamp手术,心超医生就是我们的眼睛,我们要将他们的眼睛与我们的头脑和手融为一体,达到手眼脑完美配合的程度,手术才能做的流畅。剩下的就是经验的积累,逐步提高突发情况的判断与处置能力。
Q5
手术的收获
魏来教授:我觉得这台手术最大的收获倒不在治疗本身。术后我收到了十几位外科同行的祝贺短信,同时也表达了对新技术的认可。其中不少是原本没有介入工作经验,甚至有些是对此观望、畏惧甚至抵触的同行。但这台手术让大家看到其实介入瓣膜手术没有那么高不可攀,也可以轻松驾驭、游刃有余。我自己在8年前才摸索着开展介入工作,之前从事了16年外科工作,完全没有介入基础,但通过学习真的可以做到。
如果我的经历能够给国内心外科医生一点启示,让大家增强信心,摒弃成见,利用自己的优势,拥抱新技术,我认为这是最大的收获。
当然我们也要严格掌握新技术的适应证,好技术也不能滥用,我们需要反复权衡利弊,一切应该以符合病人利益为第一考量标准。从另一方面讲,新技术日新月异,医生需要终生学习,不了解最新进展,也很难给病人提供最优方案。
我从开展介入技术中得到的另一个收获是体会到多学科团队合作的巨大优势。
比如ValveClamp,其实是我院心内科葛均波院士、周达新教授团队原创并牵头开展临床试验的一款优秀的TEER产品。从4年多以前动物实验开始,葛院士就打破学科藩篱,邀请王春生教授带领的心外科团队共同参与,直至今日造福了一大批外科的高龄高危患者。心超、麻醉、重症、护理等多学科团队齐心协力也是我们取得成功的重要支撑。
独行速、众行远,只有多学科紧密合作,才能更有利于医疗质量的提升、有利于适应证的把控、有利于新技术的创新、最终有利于患者。
专家简介
魏来
复旦大学附属中山医院
主任医师、博导,复旦大学附属中山医院心外科副主任、微创心血管外科主任、上海心脏瓣膜工程技术研究中心副主任、上海市医学会心脏大血管外科分会副主委、中华医学会胸心血管外科学分会全国委员、中国医师协会心血管外科医师分会全国委员兼结构性心脏病专委会副主委、中国医师协会机器人外科医师分会常委、中国研究型医院学会互联网医疗心血管研究学组组长、国家微创心血管外科专委会秘书长、国家药品监督管理局医疗器械审评专家。
魏来医师从事临床工作24年,主刀完成一系列中国、亚洲乃至国际首例创新性手术,领衔开展多项全国多中心新技术临床研究,在微创及介入瓣膜手术、冠脉搭桥手术、先心手术等方面有深厚造诣,是国内最有经验、技术最全面的微创和介入心脏外科专家之一,也是国内100余家医院的微创心脏手术带教老师。
