2022年7月1日,浙江大学医学院附属第二医院王建安教授团队蒲朝霞主任协同中国人民解放军空军军医大学第一附属医院刘丽文教授团队为3名肥厚型心肌病患者成功实施超声引导下经皮心肌内室间隔射频消融(Liwen术式)。这也是自2020年7月浙江大学医学院附属第二医院王建安教授团队蒲朝霞主任带领的心内科肥心团队完成“经皮心肌内室间隔射频消融术”(Liwen术式)的100例。患者来自五湖四海,年龄上至古稀下至而立,最终在王建安教授团队蒲朝霞主任带领的心内科肥心团队,联合麻醉团队、监护室医生团队以及护理团队等的共同努力下,成功地缓解了病情。并且在患者出院后,肥心团队也会继续跟进他们的情况,通过临床和心超多方面进行专科随访,为每一位患者的健康保驾护航。
Liwen术式介绍
Liwen术式是使用射频消融电极,经皮经心肌穿刺抵达肥厚室间隔进行热的消融,造成组织细胞及其周围冠状动脉间隔支凝固性坏死,使左室流出道梗阻减轻或消失,从而改善肥厚型心肌病患者的临床症状。该术式具有不开胸、不停跳、路径短、创伤小、恢复快、费用少、无辐射等优势。
术前讨论
三位患者均患肥厚型梗阻性心肌病多年,因药物治疗效果不佳而到浙江大学医学院附属第二医院就诊。超声提示三位患者的室间隔呈非对称增厚,造成左室流出道梗阻。经团队评估决定进行超声引导下Liwen术式对室间隔进行消融。
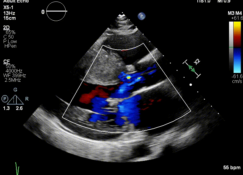
手术过程
2022年7月1日在浙江大学医学院附属第二医院导管室,应用Liwen RF射频消融系统经心尖到达肥厚室间隔进行射频消融,术后即刻超声显示靶区消融充分,术后即可左室流出道压差显著降低。
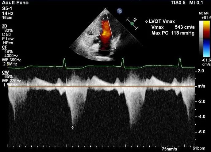
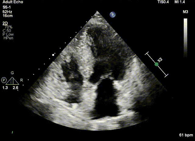
病例1
患者是一位70岁的女性, 超声提示,患者室间隔最大厚度为20.8mm,静息状态下左室流出道重度梗阻,压差为118mmHg。负荷状态下122mmHg。
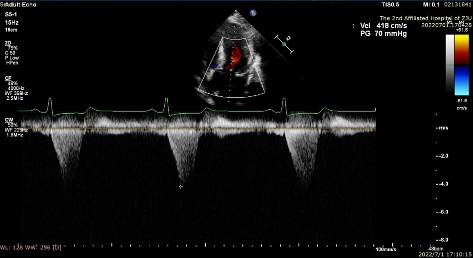
术后左室流出道压差
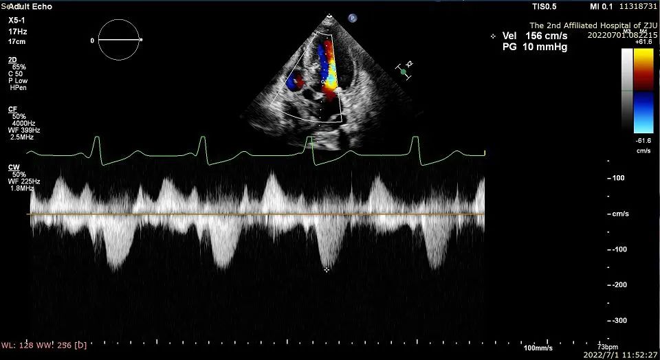
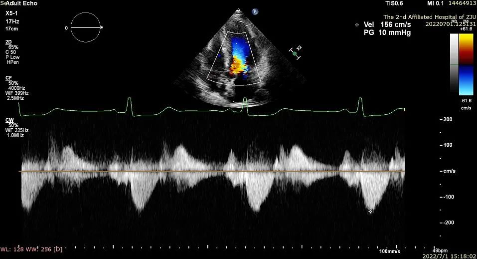
病例2
患者是一位58岁的女性。超声提示患者室间隔最大厚度为26.3mm,静息状态左室流出道压差为118mmHg,负荷状态下为233mmHg。
术后左室流出道压差
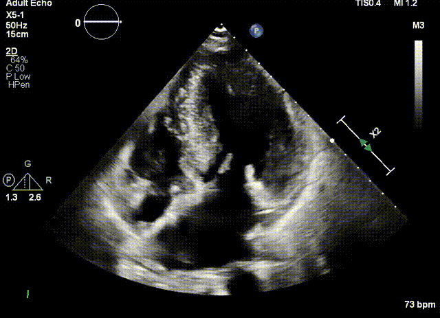
病例3
患者为一名40岁的女性。超声提示患者室间隔最大厚度为31.3mm,静息压差为102mmHg,负荷状态下为146mmHg。二尖瓣呈SAM征伴有少量反流。
术后左室流出道压差
浙江大学医学院附属第二医院蒲朝霞主任表示:
肥厚型心肌病是一种常见的遗传性心血管疾病,在过往年间,肥厚型心肌病的治疗主要依赖药物,在药物控制不佳之后,只能进行外科手术或经皮室间隔酒精消融再干预,但自2020年夏天,我院开展了新技术—“经皮心肌内室间隔射频消融术”(Liwen术式)。Liwen术式是一项全新的治疗肥厚型心肌病的微创手段,具有创伤小,痛苦小,恢复快等特点,得到国内外同行的广泛认可。为肥厚型心肌病患者,特别是药物治疗效果不佳,最大剂量用药后症状仍持续加重的患者提供全新的治疗手段。
专家简介
蒲朝霞
浙江大学医学院附属第二医院
主任医师,心血管内科学博士,浙大二院心内科副主任,心脏超声中心副主任,亚太结构性心脏病青年俱乐部黄金会员,中华医学会超声医学分会心脏学组委员,中国超声医学工程学会心超专委会委员,浙江省医师协会超声医师分会总干事,浙江省医学会超声医学分会常务委员,浙江省数理医学会超声医学分会副主任委员,主要从事心血管超声的诊断与教学,心血管介入超声的评估与术中指导,经心尖室间隔射频消融治疗肥厚型心肌病。
