7月3日,江西省人民医院洪浪副院长、江西省人民医院方哲副院长带领超声科顾平教授、心内科团队欧阳长生教授、曾洪教授、洪德志教授、周云英护士长等介入护理团队及麻醉科王少林教授,在浙江大学医学院附属第二医院王建安教授团队刘先宝教授、蒲朝霞教授的协助下,成功应用经导管二尖瓣瓣膜夹系统(DragonFly™),为一位二尖瓣大量返流患者完成二尖瓣缘对缘修复手术(TEER),该手术也成为江西省首例功能性二尖瓣关闭不全(FMR)缘对缘修复手术,此次TEER手术的成功再次标志洪浪教授带领的心脏瓣膜团队在二尖瓣修复领域取得突破性进展,正引领江西地区二尖瓣介入修复术式的高速发展,造福更多患者。
患者为62岁老年女性,因反复出现胸闷气促,行心脏超声等检查诊断为扩张型心肌病并二尖瓣大量返流(4+),在优化药物治疗后复查超声提示二尖瓣中大量返流(3+),且心衰症状仍未能明显改善,经心内、超声、心外、麻醉等MDT多学科讨论后,决定行二尖瓣缘对缘修复术。
手术难点:
患者前后瓣都严重拴系,对合缺失。反流束较宽,二尖瓣瓣口面积偏小增加了术后狭窄的风险。后瓣叶的长度较短,给抓捕带来非常大的挑战。
术前讨论
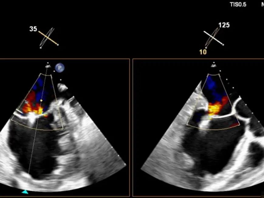
术前TEE(3+)
手术过程:手术采用经右侧股静脉入路,在TEE和DSA引导下完成房间隔穿刺,位置偏后偏上,穿刺高度为3.9厘米。置入瓣膜夹系统后,在左房调整瓣膜夹的轴向(orientation)和前进轨迹(trajectory),后进入左室进行瓣叶抓捕。由于两个瓣叶无法对合,后瓣叶较短,在尝试同时抓捕几次后,决定使用单独抓捕功能。先抓捕前瓣叶,再抓捕后瓣叶,确认瓣叶插入长度足够,缓慢关闭瓣膜夹。即刻返流程度降至轻度,跨瓣平均压差为2mmHg,最终成功释放瓣膜夹。采用“8”字缝合法关闭股静脉入路。术后肺静脉逆流和左房压都明显好转,预示着良好的预后。手术共耗时2小时,术后患者无明显不适,安返CCU继续观察。
术后TEE(≤1+)
2021年5月4日,中国第一款自主研发的经股静脉-房间隔入路的二尖瓣瓣膜夹系统DragonFly™正式进入临床试验,Dragonfly™通过穿刺股静脉跨越房间隔治疗二尖瓣关闭不全,术后仅在患者腿上有一个5mm的小切口。该系统能有效降低复杂手术难度,实现瓣叶的灵活夹合,精准定位释放亦减少严重并发症的发生,降低手术风险,提高手术成功率。此次手术的成功再次验证了股静脉-房间隔入路经导管二尖瓣缘对缘修复手术的安全性和有效性。
专家简介
洪浪
江西省人民医院
江西省心血管病医院
院长,主任医师,硕士,博士生导师,大心内科主任、心血管病中心主任,江西省心血管病研究所所长。擅长心血管疾病的诊治,特别是高危复杂冠心病的临床诊断及介入治疗,先天性心脏病、心律失常的介入治疗。现任卫健委“冠心病介入诊疗技术培训基地”、“心律失常介入诊疗技术培训基地”、“先心病介入诊疗技术培训基地”主任,中华医学会心血管介入培训江西基地主任,国家药物临床试验江西基地心血管专业主任,中国医师协会心血管分会先心病工作委员会委员,江西省介入心脏病学会理事长,江西省医师协会心血管内科医师分会会长,江西省“冠心病介入治疗质量控制中心”主任,江西省心血管病医院胸痛中心技术总监,江西省生物医学工程学会心电起搏分会常委,美国心脏节律协会会员,《中国介入心脏病学杂志》及《中国心脏起搏与心电生理杂志》编委,中国医疗保健国际交流促进会心血管健康医学分会委员,中国医疗保健国际交流促进会心血管病学分会委员,荣获2019年江西“最美医生”称号。
