近日,空军军医大学西京医院杨剑教授团队运用科凯(南通)生命科学有限公司研发生产的KoKaClip®经股二尖瓣瓣膜修复系统,单日内成功为三例重度退行性二尖瓣反流患者行经导管二尖瓣缘对缘修复手术,患者术后二尖瓣反流减少,血流动力学显著改善,临床症状明显好转。手术取得圆满成功,标志着KoKaClip®经股二尖瓣瓣膜修复系统全国多中心DMR注册临床试验在西北地区成功开展。
病例一
基本情况:老年男性,因“间歇性心悸、气短、胸闷、胸痛7年、加重7天”入院。患者于7年前劳累后感心悸、气短、胸闷、胸痛,休息后缓解,近7天患者加重,至西京医院就诊,超声心动图提示:二尖瓣后瓣脱垂伴关闭不全;左房、左室扩大,右房大;彩色血流示,二尖瓣瓣上反流(极重度),主动脉反流(少量),三尖瓣反流(少量);LVEF 51%。经手术专家评估该患者外科手术风险高,且患者拒绝行外科手术。术前诊断:心脏瓣膜病,二尖瓣关闭不全(极重度),心脏扩大,心房纤颤,心功能III-IV级(NYHA分级)。
术前评估:
Carpentier II,DMR,二尖瓣P2区域腱索断裂导致极重度二尖瓣反流,心脏扩大,脱垂宽度较大,间隙约10mm,瓣口面积13cm²,2区前叶长42mm,后叶长21mm。反流束来自于2区,呈偏心性,沿前叶走行,EROA=1.06cm² (r=1.5cm, av=0.3cm/s, pv=4.0m/s),VC 1.2 cm。PGmean 3mmHg,TR 2+。房间隔穿刺空间约6cm。
手术过程:
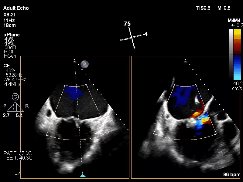
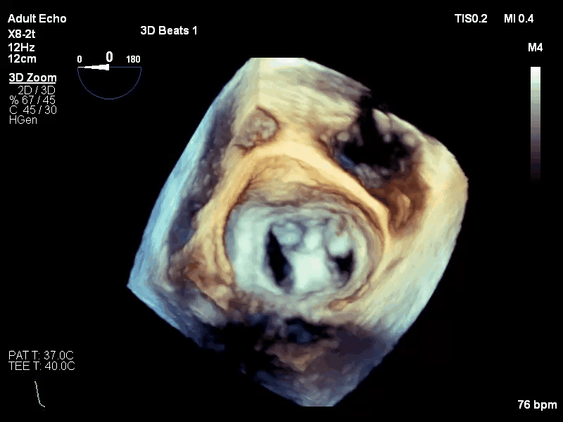
手术于全麻下进行,采用股静脉房间隔途径,房间隔穿刺后置入外径22F导管鞘及夹合器输送系统,在TEE引导下,将1枚长宽型号的KoKaClip®夹合器顺利植入到二尖瓣A2/P2区,夹合器位置稳定。彩色多普勒超声显示微少量残余分流,整体反流量改善2级以上,肺静脉多普勒波形由反向恢复正常。多切面证实夹合组织充分,双孔化形成,遂移除器械输送系统,手术顺利完成。
术前
术前
术后
术后
病例二
基本情况:71岁男性,入院超声心动图提示:心动过缓;二尖瓣后瓣脱垂伴关闭不全;左房大;彩色血流示,二尖瓣瓣上反流(大量),三尖瓣反流(少量);LVEF 56%。患者二尖瓣外科修复手术风险评分>6%,经多学科团队讨论建议行经导管缘对缘修复术。
术前评估:
Carpentier II,DMR,二尖瓣P2区域腱索断裂导致极重度二尖瓣反流,累及P1区,心脏扩大,脱垂宽度和间隙较高,瓣口面积5cm²,2区前叶长23mm,后叶长20mm。反流束来自于2区及1区,呈偏心性,沿前叶走行,EROA=0.39cm² (r=0.9cm, av=0.31cm/s, pv=4.0m/s),VC 0.83cm。PGmean 1mmHg,TR 2+。房间隔穿刺空间约5cm。
手术过程:
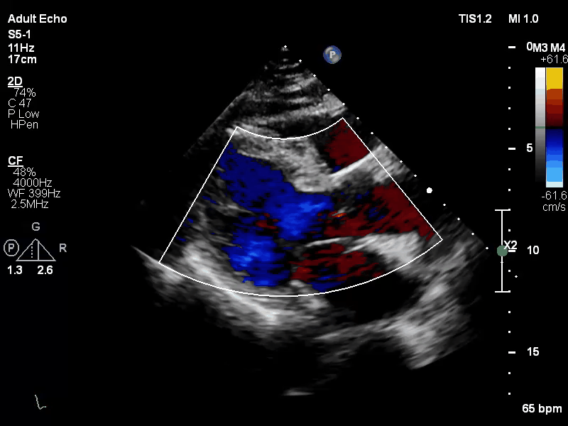
手术于全麻下进行,采用股静脉房间隔途径,房间隔穿刺后置入外径22F导管鞘及夹合器输送系统,在TEE引导下,将1枚长宽型号的KoKaClip®夹合器顺利植入到二尖瓣2偏1区,夹合器位置稳定。彩色多普勒超声未见明显残余反流,肺静脉多普勒波形由反向恢复正常。多切面证实夹合组织充分,双孔化形成,遂移除器械输送系统,移除后夹合器活动度小,手术顺利完成,患者已于近日出院,出院超声复查良好。
术前
术前
释放后
释放后
出院复查
病例三
基本情况:66岁男性,入院超声心动图提示:二尖瓣后瓣脱垂伴关闭不全;全心大;彩色血流示,二尖瓣瓣上反流(极大量);主动脉瓣反流(中量);三尖瓣反流(大量);LVEF 50%。
术前评估:
Carpentier II,DMR,二尖瓣P2区域腱索断裂导致极重度二尖瓣反流,心脏扩大,瓣口面积12cm²。反流束来自于2区,呈偏心性,沿前叶走行,EROA=0.51cm²,VC 0.97cm。
手术过程:
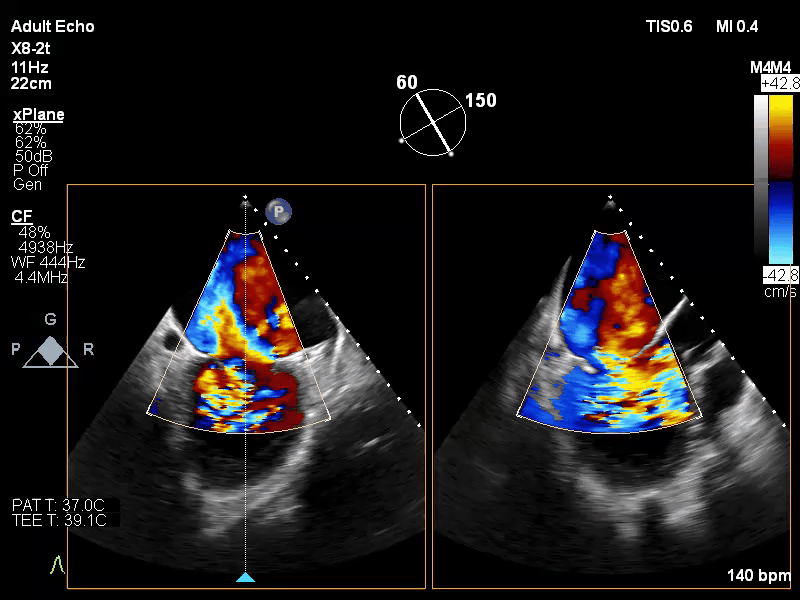
手术于全麻下进行,采用股静脉房间隔途径,房间隔穿刺后置入外径22F导管鞘及夹合器输送系统,在TEE引导下,将1枚长宽型号的KoKaClip®夹合器顺利植入到二尖瓣2区,夹合器位置稳定。彩色多普勒超声未见明显残余反流,肺静脉多普勒波形由反向恢复正常。多切面证实夹合组织充分,双孔化形成,遂移除器械输送系统,移除后夹合器活动度小,手术顺利完成,患者已于近日出院,出院超声复查良好。
术前
术后
二尖瓣病变是发病率最高、介入治疗难度最大的瓣膜疾病。据欧美流行病学显示,真实世界二尖瓣疾病治疗率不足5%,其主要由于较高的传统外科手术风险所致。在我国,据不完全统计,二尖瓣病变潜在患者人数逾千万,治疗缺口极大。同时,由退行性(DMR)及功能性(FMR)二尖瓣关闭不全构成的复杂二尖瓣反流疾病谱,也大大增加了该类瓣膜病变的治疗难度。介入二尖瓣诊疗器械的研发已成为全球心血管介入诊疗领域的热点及难点,而目前唯一成熟介入二尖瓣技术便是经股静脉途径经导管二尖瓣缘对缘修复系统,其已被包括FDA,CE,NMPA批准用于包括DMR及FMR的全二尖瓣疾病谱病变,临床技术体系已然极其成熟。
KoKaClip®经股二尖瓣瓣膜修复系统是由科凯(南通)生命科学有限公司研发的具有完全自主知识产权的经股静脉瓣膜介入修复系统,该产品已于2021年10月开展临床使用,目前该项目多中心临床试验正在稳步推进中。该系统的核心技术参数对标国际最新一代经导管缘对缘修复系统,其输送系统具备双向调弯性能,并且拥有多型号力学优化的二尖瓣夹设计及瓣叶独立捕获能力。随着KoKaClip®手术在我国西北部的首次成功开展,该系统必将为更多的二尖瓣反流患者带来福音。
专家简介
杨剑
空军军医大学西京医院
心血管外科一病区主任,博士研究生导师。曾于德国洪堡大学Charité医学院、德国柏林心脏中心、美国Cleveland Clinic医学中心等国际知名医学中心访问研修。担任美国心脏协会专家会员(FAHA)、 美国心脏病学会专家会员(FACC)、中国医师协会心血管外科医师分会结构性心脏病专业委员会副主任委员、中华医学会胸心血管外科分会第九届委员会青年委员、陕西省医疗器械不良事件监测专家咨询评价委员会专家。获聘陕西省中青年科技创新领军人才、陕西省科技创新团队带头人,为陕西省自然科学基础研究计划杰出青年科学基金项目获得者、西安交通大学兼职教授。担任Eur Heart J, BMJ,AJC等杂志特邀审稿人,《中华胸心血管外科杂志》、《心脏杂志》、《中国体外循环杂志》、《心血管外科杂志》、《精准医学杂志》编委。临床专长于复杂结构性心脏病的微创及介入治疗,在国内较先开展了经导管肺动脉瓣置换、主动脉瓣置换、二尖瓣修复、二尖瓣置换以及瓣周漏封堵等创新性技术。主要科研方向为结构性心脏病诊疗新技术以及心肌细胞损伤修复、重构和再生的临床转化研究。在微创心血管器械研发、临床转化及以3D打印为主的多模态影像学评估方面有一定建树。先后在Eur Heart J,JACC等国际期刊上以第一或通讯作者发表SCI论文30余篇,被Circulation,JACC等国际权威杂志引用500次,承担十三五国家重点研发计划、国家自然科学基金等10余项基金,经费1000余万元。荣获国家科技进步二等奖、中华医学科技一等奖、中华医学会胸心血管外科分会Lillehei奖学金“菁英奖”、中国医师协会胸心血管外科分会优秀青年医师“杏林奖”等奖励。授权国家专利20余项,出版专著、译著12部。
刘洋
空军军医大学西京医院
空军军医大学西京医院心血管外科博士,副主任医师,副教授,硕士研究生导师。微创结构性心脏病组组长,ECMO组组长。
美国马里兰大学医学院博士后。国家心血管病专家委员会微创心血管外科专业委员会委员。专注心血管疾病微创治疗。先后开展微创介入瓣膜病修复及置换术,瓣膜置换术后瓣周漏介入封堵术,主动脉缩窄球囊扩张支架成形术,冠状动脉漏介入封堵术等多项心血管疾病微创治疗新技术。在国内外发表研究论著70余篇,其中SCI论著28篇;主持军队重大专项子课题1项,国家自然科学基金1项,军队及省部级课题各3项;参加“863”重点课题,“十二五”、“十三五”国家重大科技专项等课题13项。获国家专利11项;主编专著1部,副主编专著3部,参编专著8部。获得省级科技进步一等奖1项,并先后获得美国ASAIO青年医师奖,欧洲Euro-ELSO青年研究者奖,中国医师协会心血管外科分会杏林奖,树兰卓越工程青年医师资助计划,中华医学会胸心血管外科分会Lillehei 奖学金及厄尔巴肯奖学金。现任中国医师协会心血管外科分会结构性心脏病专委会委员,中国研究型医院学会血管外科专委会青年委员,陕西省药理学会心血管药理学专业委员会常委,陕西省生物医学工程学会体外循环专业委员会委员,中国医疗保健国际交流促进会心脏重症分会陕西省工作委员会委员。

