截止2022年6月18日,洲瓴 (上海) 医疗器械有限公司(InterHill MED)自主研发的LomaPulse®脉冲电场消融产品在中南大学湘雅三医院成功完成了全国FIM入组,患者手术效果良好,均已康复出院。标志着中国自主研发的脉冲房颤消融系统正式步入大规模临床研究阶段,为一些终末期房颤患者治疗带来一项全新的治疗方案选择。该手术由中南大学湘雅三医院房颤中心主任张志辉教授、美国著名心脏学及电生理专家Dr.Huang及洲瓴医疗电子科学与技术首席科学家徐涛博士联袂完成,首批手术的成功标志着LomaPulse®脉冲电场消融产品在全国开展临床研究正式拉开帷幕!
(图1:主要手术人员术后合影)
001患者基本情况:
60岁,女性,主诉”心悸半年余”,入院诊断为心律失常(阵发性房颤)。
手术前:
术前经胸超声心动图检查,结果显示患者左心房前后28mm, 左心室内径(LVD)41mm,左心室射血分数(LVEF)67%,心室壁运动正常。术前CT肺静脉显影清晰,左心耳无血栓形成。
手术前需建立患者左心房三维模型图。在张志辉教授精湛的手术技巧及LomaPulse®导管良好操控性的双重保障下,构建的左心房模型精准度堪比CT,其各支肺静脉清晰可见,并进行了术前基质标测;
(图2:左心房三维模型图)
手术过程:
手术中,张志辉教授首先使用LomaPulse®标测电极来标测患者的腔内心电信号,接着采用LomaPulse®脉冲消融导管分别对患者的LSPV、LIPV、RSPV、RIPV四个肺静脉进行了脉冲消融,仅用50秒就成功实现了肺静脉隔离,最后使用CS S1S1 (S1S2) 起搏刺激,均没有诱发房颤。
(图3:张志辉主任在手术中)
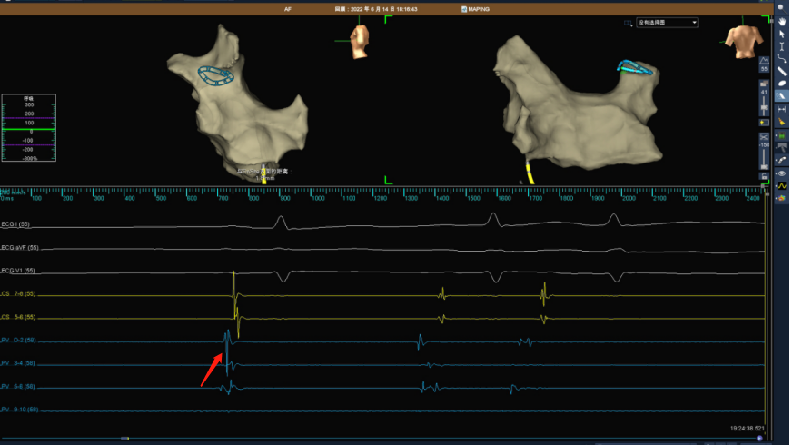
(图4:LIPV消融前后肺静脉电位图)
PFA消融术后,基质标测肺静脉低电压显示出四根肺静脉完全隔离,如图5。
(图5:术后基质标测图)
创新突破:
传统冷冻或射频消融方式存在耗时长、可能损伤神经及食道组织、肺静脉狭窄等缺点。而LomaPulse®脉冲电场消融产品的采用,大幅缩短了手术时间,同时实现了心肌细胞选择性消融,保持了组织基质的完整性,不会损伤周围组织,提高了消融手术的效率和成功率。
002患者基本情况:
72岁,女性,主诉”间歇性心悸、胸闷三年”,诊断为心律失常(阵发性房颤)。
手术前:
手术前经胸超声心动图检查,结果显示患者左心房前后30mm,左心室内径(LVD)44mm,左心室射血分数(LVEF)67%,心室壁运动正常。术前CT肺静脉显影清晰,左心耳无血栓形成。手术前同样进行了左心房三维重建,并进行术前基质标测,如图6。
(图6:左心房三维模型图)
手术后:
术后四根肺静脉点位完全消失,如图7示:RSPV消融后,肺静脉电位消失。
(图7:RSPV消融前后电位)
术后基质标测:肺静脉低电压,四根肺静脉完全隔离,如图8。
(图8:术后基质标测图)
术后患者反馈手术进行的很快,效率很高,术后恢复良好,原来的心悸感消失。术后患者复查心电图,结果显示为窦性心律。
心房颤动是最常见的快速性心律失常,我国总患病人数超过 1000万,不仅影响患者生活质量,还可导致患者心力衰竭,更是引发脑卒中(俗称“中风”)的重要原因之一。
研究表明导管消融是房颤患者恢复和维持窦性心律的有效手段,目前在全球范围内,导管消融主要有射频消融和冷冻消融两种方式,然而这些基于热/冷传导的消融方式具有一定局限性,对消融区域组织的破坏缺乏选择性,容易对临近的食管、膈神经等周围组织造成损伤,而脉冲消融在消融区域内能保持组织基质的完整性,并且不依赖消融导管的贴靠就可实现对组织的消融,不损伤周围组织。
洲瓴医疗自主研发的LomaPulse®脉冲电场消融产品采用了可实现心肌选择性消融的高压电脉冲能量,将其独特创新的导管设计技术、自学习检测技术及多模态极化融合消融技术应用于房颤治疗领域,进一步提高了消融手术的效率与成功率。LomaPulse®脉冲电场消融产品自问世之初就被房颤治疗领域和电气能量医用领域寄予厚望,其为国内乃至亚太房颤消融领域提供绿色健康“电能量”选择,更好地满足临床医生和患者的多元化治疗需求。
专家简介
张志辉
中南大学湘雅三医院
医学博士,教授,主任医师,中南大学博士生导师,中南大学湘雅三医院房颤中心主任、心衰中心主任、卫健委心律失常介入培训基地导师。中华医学会起搏与心电生理学分会暨中国医师协会心律学专业委员会青中年电生理专家委员会常委、中国医师协会心律学专业委员会全国委员,中华医学会起搏与心电生理学分会心房颤动工作委员会委员。从事心血管疾病医疗、教学与科研工作20余年,为中南大学湘雅三医院起搏与心电生理学、先心病介入治疗及心律失常专科奠基人,从事心脏介入诊治近20年,对复杂心律失常、先心病、难治性高血压病诊治有精深造诣。近10年成功完成各类心脏介入手术近7000台,其中完成房颤射频消融手术2000台,发表学术论文20余篇,主持国家自然科学基金一项、参与省、部级科研课题7项,参编学术专著5部。
