美国东部时间2022年6月17日,美国弗吉尼亚大学高级心脏瓣膜中心(University of Virginia Advanced Cardiac Valve Center)在四川大学华西医院心脏内科瓣膜团队的指导下成功完成了由中国自主研发的经导管肺动脉瓣(VenusP-Valve)在美国的首例人体植入。
该例手术由美国弗吉尼亚大学高级心脏瓣膜中心的Scott Lim教授团队在四川大学华西医院心脏内科冯沅教授的现场指导及陈茂教授的线上指导下完成,这是中国瓣膜病介入治疗专家首次受邀在美国指导瓣膜病介入手术,同时也创造了由中国自主研发的心脏瓣膜在美国临床使用的先例,这一突破性成绩在我国介入心脏病学发展史上具有里程碑意义。
2022年5月23日美国FDA批准弗吉尼亚大学高级心脏瓣膜中心进行两例VenusP-Valve的紧急人道主义使用,四川大学华西医院心脏内科瓣膜团队因在经导管肺动脉瓣植入领域及VenusP-Valve的临床应用方面具有丰富的经验,于2022年5月25日收到了来自美国弗吉尼亚大学高级心脏瓣膜中心的邀请,作为Proctor赴美国指导手术。经过紧锣密鼓的申请和准备,四川大学华西医院特别批准心脏内科冯沅教授6月14日出访美国。
术前心脏内科陈茂教授、冯沅教授同Scott Lim教授团队进行了多次深入的讨论,并结合患者的病情及肺动脉瓣解剖结构,制定了详尽的手术策略和预案。当地时间6月17日上午,完成器械体外模拟培训后,手术在弗吉尼亚大学高级心脏瓣膜中心的杂交手术室进行。
冯沅教授术前指导Scott Lim教授团队进行器械体外模拟培训
患者是一名21岁青年男性,既往行法洛氏四联症外科跨瓣补片修复术,患有重度肺动脉瓣反流且有显著的右心室、肺动脉扩张及左心室功能障碍。介入手术采用局部麻醉方式,患者清醒状态下穿刺右侧股静脉作为主入路,术中进行了造影及球囊测量,经中美2个团队的再次在线讨论,结合术前CT分析结果,最终精准的选用P34-25(瓣膜腰部直径34mm,长度25mm) VenusP-Valve瓣膜完成植入,即刻造影和超声综合评估显示瓣膜植入位置完美,无反流及残余压差,左右肺动脉分支血流未受影响。术后Scott Lim教授与冯沅教授就手术过程再次进行了讨论,并分享了植入体会。次日好消息传来,超声检查示右室明显变小,无任何肺动脉瓣反流,左室功能恢复正常。术后患者恢复迅速,无并发症发生,患者于术后24小时内,当地时间6月18日出院。
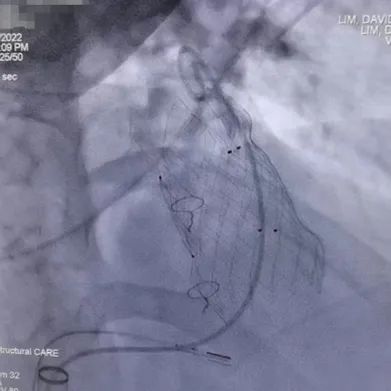
冯沅教授术中指导Scott Lim教授团队进行VenusP-Valve植入
瓣膜植入过程
瓣膜最终植入效果
关于四川大学华西医院及心内科瓣膜团队
四川大学华西医院(简称华西医院)是中国西部疑难危急重症诊疗的国家级中心、中国著名的高等医学学府,也是中国一流的医学科学研究和技术创新的国家级基地,综合实力处于国内一流、国际先进行列。华西医院心脏内科瓣膜团队作为国内最大的瓣膜中心之一,在主动脉瓣、肺动脉瓣、二尖瓣及三尖瓣疾病的介入治疗上有着丰富的经验,完成的瓣膜介入治疗超过2000例,多次完成全球、亚洲及国内的多种瓣膜器材的首例临床应用。作为国内先进梯队,陈茂、冯沅两位教授也曾作为带教专家远赴阿根廷,印度,中国香港及菲律宾等多国完成海外各种瓣膜督导手术。
专家简介
陈茂
四川大学华西医院
国家“万人计划”科技创新领军人才、四川省卫生健康首席专家、四川省卫生计生领军人才、四川省卫生厅学术技术带头人、四川省卫生厅“有突出贡献中青年专家”以及首届“国之名医”荣誉称号获得者。FCSC,FACC,FESC,中华医学会心血管病分会常委,中国医师协会心血管内科医师分会常委,中华医学会心血管病分会结构心脏病学组组长,中国医疗保健国际交流促进会心血管健康医学分会副主任委员,四川省国际医学促进会副会长,四川省医学会心血管病专委会前任及候任主任委员,长城国际心脏病学组委员会县域心血管医师联盟副理事长。PCR—CIT China Chengdu Valves会议、中国中西部心血管病会议执行主席,London Valves会议、Tokyo Valves会议联合国际主席,ESC、PCR、TCT、CSI等会议的专家会员。
冯沅
四川大学华西医院
主任医师,硕士研究生导师,华西医院先心病亚专业组长,中华医学会心血管病分会结构性心脏病学组委员,中国医师协会结构性心脏病学组委员,四川省心脏瓣膜联盟副主任委员,亚洲心脏瓣膜病学会中国分会心脏瓣膜病介入治疗技术学术委员会常委。

