2022年6月8日,广东省人民医院急诊科与体外循环科合作,采用one-site双腔插管技术,成功为EICU一例重度肺间质病变VV-ECMO支持患者实施清醒ECMO,这是广东省首次采用双腔ECMO插管。Crescent双腔插管产品及技术的成功应用,使需要长时间VV-ECMO支持的患者实现了更少创伤、更舒适、更好活动性和在清醒状态下更早启动肺功能康复的救治新模式!
Crescent双腔颈静脉ECMO插管
接受治疗的患者被诊断为“重症肺炎、心源性休克、ARDS、干燥综合征、肺间质病变”,由普通病房转入EICU时,已由江稳强主任带领的急诊ECMO团队行VA-ECMO支持,患者循环功能稳定后转为VV-ECMO, ARDS缓解后双肺间质性病变仍无明显改善,经院内MDT讨论后认为:患者需长期ECMO支持等待肺移植。EICU团队与体外循环团队讨论后认为:切换为单管双腔ECMO插管可有效降低院感发生率,为患者提供更舒适的救治方式,并尽早在清醒状态下进行康复治疗。经家属同意,立即为患者进行了经胸超声引导下双腔颈静脉插管,继续VV-ECMO支持治疗。
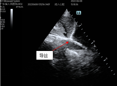
双腔插管置管成功
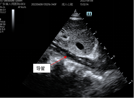
双腔插管支持过程中
患者ECMO支持过程中
体外循环周成斌主任介绍,相较于传统的单腔插管,双腔插管的技术要求更高,需在X线或超声的引导下穿刺置管。双腔插管优势明显:
❖
首先,该技术仅在颈静脉置入单根插管,对患者损伤小、减少感染及穿刺部位出血几率,并发症少。
❖
其次,可减少再循环,提升ECMO效率。
❖
更为重要的是,该项技术减少股静脉插管,有利于患者早期康复治疗,更有利于清醒ECMO。
此次使用的Crescent双腔颈静脉ECMO插管,通过创新的设计,即:在插管重要的引流和灌注部位设置不透射线标记marker,使得在X射线下(如DSA,床旁X光机等)进行置管及定位操作成为可能;为ECMO专家、医护提供了除超声外的更多、更灵活的选择。
Crescent不透射线标记:使得“X射线下的置管及日常定位”成为可能
团队介绍
广东省人民医院急诊科作为全国名列前茅的国家临床重点专科,在2020年复旦专科排行榜排名全国第10名,2020年度中国医院科技量值(STEM)排名第12名,在ECMO技术开展方面有丰富的经验。常规开展成人ECPR,全职引进的法籍学术带头人Bellou教授系前欧洲急诊学会主席,在法国院前ECPR方面享有盛誉。同时在符合适应症的ARDS患者中开展VV-ECMO,大力促进了患者康复及学科发展。该科目前借助南方急诊医学高峰论坛传授ECMO经验,帮助学员单位开展和提升ECMO技术。广东省人民医院急诊科与体外循环科合作率先应用双腔颈静脉插管技术,填补了广东体外生命支持技术的该项空白,是该院急诊科ECMO团队在精准治疗、减少医源性损伤方面做出的又一项积极尝试。
专家简介
胡北
广东省人民医院
急诊科副主任(主持工作),硕士研究生导师,广东省杰出青年医学人才,广东省人民医院杰出青年人才,中华医学会急诊医学分会青年委员、临床研究学组委员,中华医学会灾难医学分会青年委员,中国医学救援学会心肺复苏分会委员,中国老年学会急诊分会委员,中国医师协会急诊分会国际交流学组委员,广东省基层医药学会急诊医学专委会主任委员,广东省医学会急诊分会青委会副主任委员,广东省医师协会急诊分会委员,广东省预防医学会急症预防与救治专委会副主任委员。
江稳强
广东省人民医院
急诊ICU 副主任(主持工作),硕士研究生导师 ,中华医学会急诊医学分会卒中学组委员,广东省生物医学工程学会重症医学工程分会青年委员会副主委,广东省中医药学会热病专委会常委,广东省预防医学会急症预防与救治专委会常委,广东省病理生理学会重症专委会委员,广东省精准医学应用学会急危重症分会委员兼秘书,广东省临床医学会重症专委会委员,广东省医学教育学会重症专委会委员,《中国急救医学》杂志青年编委。

