结构时代看中国!潘湘斌教授团队2022 CSI大会转播全超声引导下二尖瓣修复手术

御剑之时,乘风而行

CSI 2022 北京·法兰克福

北京时间6月24日下午5:00,中国医学科学院阜外医院潘湘斌教授团队由中国北京向德国法兰克福正在举办的CSI(先天性、结构性和瓣膜性心脏病介入治疗大会)大会主会场转播了一例全超声引导下MitraClip 二尖瓣经导管缘对缘修复术(TEER),手术操作时间短且效果良好,有力展现了中国术者在TEER领域积累的经验和实力。

图片

此前潘湘斌教授团队曾多次带领团队于国际心血管学术大会上进行全超声引导下不同类型介入手术转播,对于此次转播,潘湘斌教授表示:“这充分说明了我们中国原创的全超声引导下的介入手术是一套技术体系、一个方法学系统,可以用于攻克不同类型的疾病。”

图片

中国原创

全超声引导技术完美制胜手术难点 

病例介绍

患者是一名79岁男性。主诉劳力性呼吸困难反复发作3月,入院心电图显示窦性心律,心率71次每分。冠脉造影提示患者前降支和右冠状动脉粥样斑块,未见明显狭窄。心脏彩超LVEF 65.0%,LVEDD 61mm,二尖瓣重度偏心重度反流,腱索断裂,后瓣脱垂,VC 6.1mm,EROA 1.0cm²,Rvol 130ml,二尖瓣环面积5.8cm²。

图片

术前三维超声评估

图片

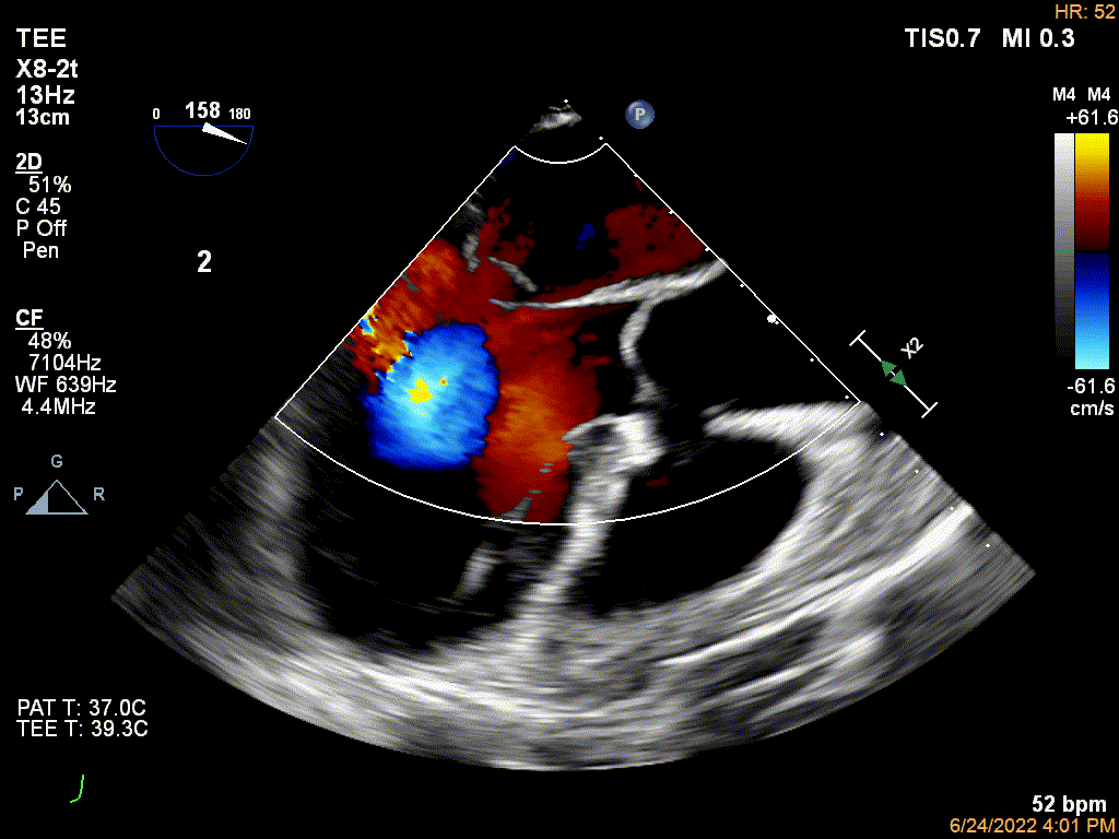
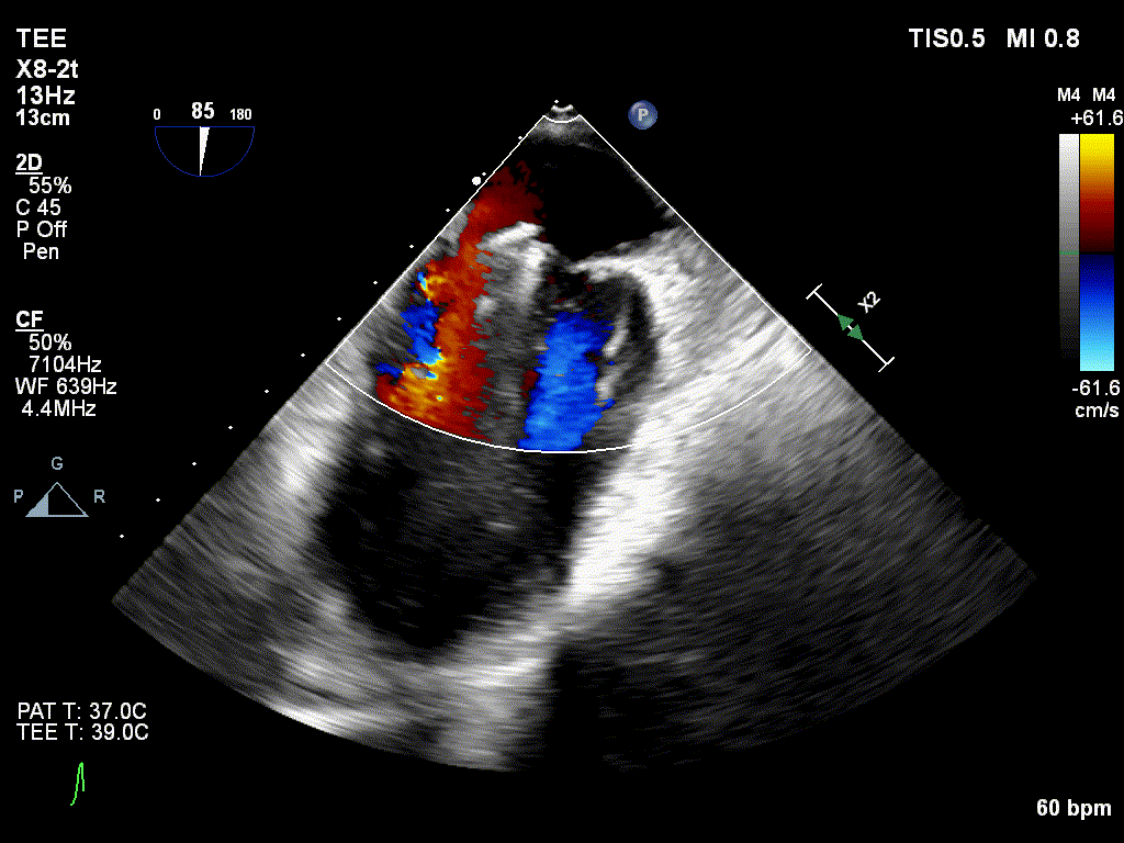
术前食道超声示二尖瓣大量偏心反流

图片

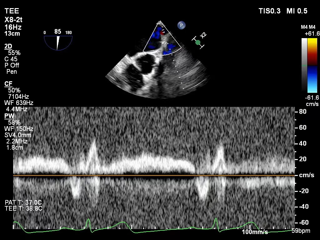
肺静脉血流频谱呈收缩期反向

图片

术前食道超声示二尖瓣大量偏心反流,腱索断裂伴后瓣脱垂

潘湘斌教授也于术后采访中指出了本例手术的难点所在:

患者年龄较大且病情十分严重,二尖瓣2区累及1区广泛脱垂,术前反流4+。同时患者还存在多种类型合并症,整体STS评分达7%,尤其是患者肺部的结节,正处于癌变前观察阶段,若采用常规造影剂指导二尖瓣介入,则意味着患者要长时间处于放射线的照射下,而放射线本身就是致癌效应,会为患者带来无法估量的医源性损伤。

因此,本例手术适合在通过超声引导下进行二尖瓣钳夹术。

手术策略

计划行全身麻醉,通过患者右侧股静脉入路在超声引导下植入一枚Mitraclip XTR,对患者二尖瓣进行修复。

手术过程

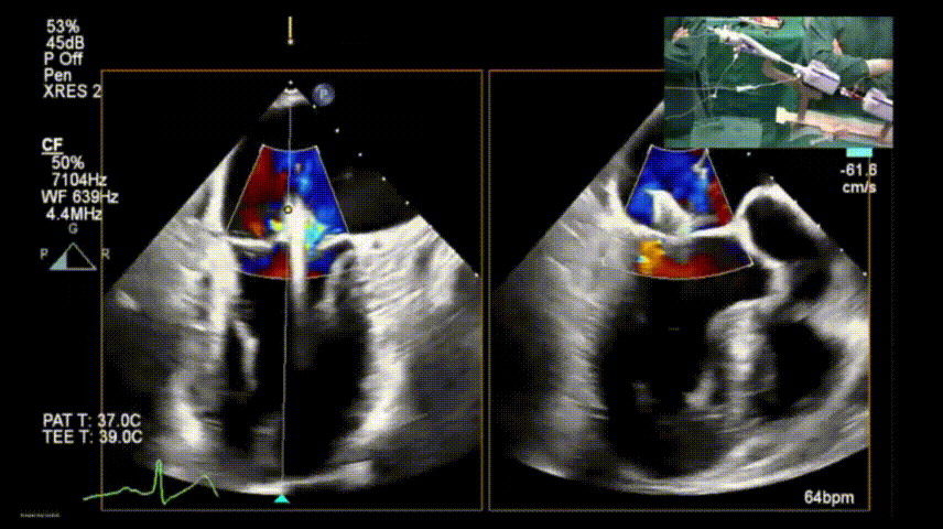
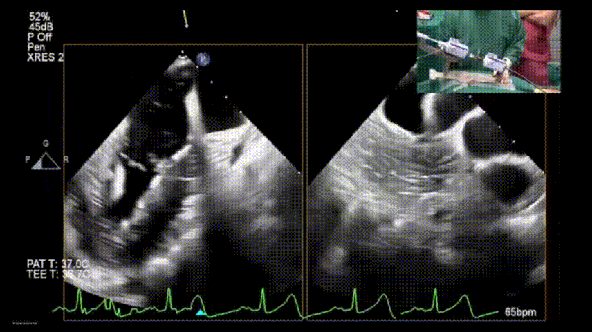
穿刺右侧股静脉,预埋血管缝合器,食道超声指导下房间隔穿刺成功,将导丝送至左房建立轨道,沿导丝将导引导管送入左房,经输送系统将Mitraclip瓣膜夹顺利到达二尖瓣目标位置,在食道超声辅助下,精确定位后,使用1个clip成功夹合二尖瓣A2-P2区,彩色多普勒超声显示少量残余分流,整体反流量改善2级以上,手术圆满完成!

图片

2D视图下输送CDS

图片

3D视图下调整夹子位置

图片

X-plane视图下对准反流束中心进入左室

图片

X-plane视图下完成夹子释放

单纯超声引导,时间短且效果优

转播过程中,潘湘斌教授与来自美国加利福尼亚大学的Randall Lee教授、德国Leipzig心脏中心的Marcus Sandri教授和丹麦哥本哈根Rigshospitalet心脏中心的Ole De BACKER教授等众多国际专家同台讨论,就超声引导介入技术展开了深度交流。

其中讨论较多的问题包括如何在超声引导下判断导管位置、确保穿刺安全性,辨别导丝前进方向、导丝深度等,潘湘斌教授在手术过程中为在场专家一一作了详细解答。

此外,他在术后采访中补充说到,大家关心更多的是手术的安全性和操作难度,而本例手术的顺利完成则用实例表明了全超声引导二尖瓣钳夹手术的可行性和手术优势,手术全程潘教授边操作边与线上专家交流,在半个小时内完成了手术,这远比常规引导方法要快得多

术后超声

图片

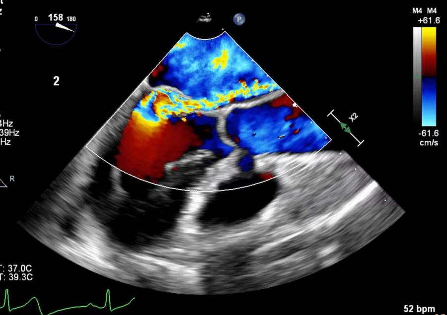
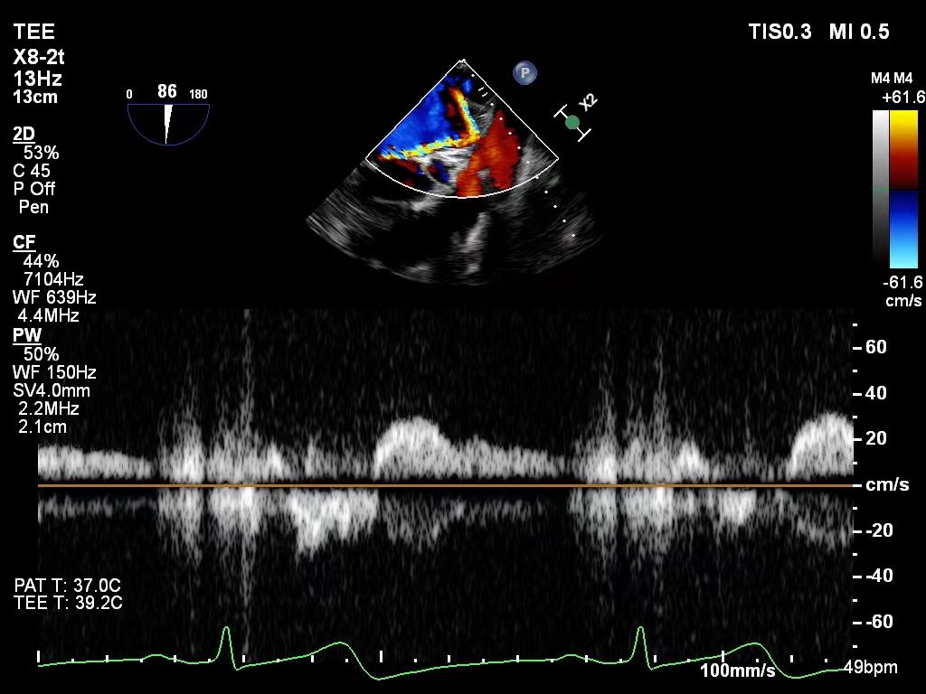
彩色多普勒显示夹子位于A2-P2区,少量残余反流

图片

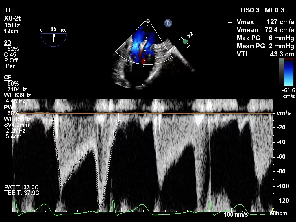
二尖瓣口平均跨瓣压差:2mmHg

图片
肺静脉血流频谱恢复正向

中国的也是世界的

好技术一定是大家都会

“通过直播这项技术不是为了单纯展现阜外医院的医生的手术技巧,而是希望大家能和我们一起,看看真实世界中这项技术会遇到什么困难,群策群力,大家一起想办法解决。”

虽然手术所使用的二尖瓣修复器械为国外产品,但潘湘斌教授在超声引导的基础上进一步改良了手术方式,超声引导的经皮介入技术也是潘湘斌教授团队领先于世界的独家原创术式,该技术主要有三大优势

1.无需导管室,普通手术室即可开展。相较于欧美国家大多使用放射线与超声混合引导的方式开展经皮介入手术需要在导管室内进行,潘湘斌教授开展的单纯超声引导的介入手术于普通手术室内即可开展。

2. 保护病人,同时也保护医护人员。医护人员和患者均不需要接受放射线的照射,医生也无需再穿沉重的铅衣。

3.可普及性强。我国2700多家三家医院中仅有600~700家医院覆盖导管室,这就意味着还有许多病人在当地医院不具备接受手术的条件,而单纯超声引导的介入手术仅需要一台超声机即可开展手术,无需复杂的设备和复合手术室,技术的普及推广对设备要求低,十分适合我国医疗国情,同样适合广大的第三世界国家。

“我一直认为任何一项技术只有少数人能做,那一定不是一个好技术,能做的人很少,就代表这项技术能救的人就少。”一路秉承着“好技术一定是大家都会”这一理念,多年来潘湘斌教授一直在坚持普及带教这项技术。

在此之前,潘湘斌教授团队还曾多次受邀为CSI类似的大型国际会议转播单纯超声引导的经皮介入手术,涵盖房缺、室缺封堵术、肺动脉瓣置换术、左心耳封堵术等。同时,他和团队也曾多次前往法国、加拿大、俄罗斯等20多个国家进行带教,针对单纯超声引导的二尖瓣修复手术在国内开展了40多期培训班,转播了60余例手术。通过培训,国内已有300~400名介入医生通过考试取得了培训合格证书,于当地医院开展此类术式。

“我们希望广大同道们能打破学科与学科、医院与医院之间的壁垒,让更多的人能学习掌握并能熟练的开展这项技术,造福世界各地更多患者。”

结合当前结构性心脏病各类诊疗技术的飞速发展,潘湘斌教授于采访最后说到,未来肯定会有越来越多、越来越先进的技术和方法,这特别需要世界的同道团结起来一起做更多的工作。

中国-德国-世界


潘湘斌教授团队精彩的手术直播演示,向世界展示了中国结构性心脏病医生先进的手术技巧和风采,同时也向世界心血管同仁展现了来自中国心血管病医生独特的创造力和经验智慧,相信未来随着中国结构性心脏病介入技术的深入发展,不同医院医生对复杂病例的挑战和各类新器械的开发,中国医生还将带来各式各样的新术式、新技术和新的惊喜。

阅读数: 3490