2022年6月18日,桂林医学院附属医院王海永主任团队成功完成TaurusElite经导管主动脉瓣系统首例植入。患者是一位66岁的老年女性,胸闷、气促2月余,于6月6日门诊入院,入院后完善心脏CT提示患者为Type 1型中度钙化三叶式病变中度主动脉瓣狭窄并重度关闭不全,其外周入路走行迂曲,散在钙化,预估术中入路穿刺难度较大,存在入路血管损伤及相关并发症风险。王海永主任带领手术团队术前反复讨论、精准评估,鉴于患者心功能较差,若行普通开胸换瓣手术,体外循环不耐受,故给患者制定了TAVR手术策略,手术圆满成功,瓣膜植入后即刻血流动力学改善,无位移及瓣周漏,无血管损伤及并发症,为患者后续生命生存质量带来极大获益,保障了患者的远期预后。经导管主动脉瓣置换术是当前结构性心脏病领域介入治疗的热点,此次手术由沛嘉医疗的第二代可回收主动脉瓣系统TaurusElite保驾护航。
患者基本信息:
患者为66岁老年女性,因”胸闷、气促2月余”6月6日门诊入院。患者2月余前活动后出现胸闷、气促,休息后可稍缓解,夜间可平卧,伴干咳,无痰无心慌、胸痛,无头晕、头痛,无畏寒、发热,无恶心、呕吐,无腹痛、腹泻等不适,曾至当地医院行心脏彩超提示∶老年性退行性心脏瓣膜病变∶1.主动脉瓣中度狭窄并重度关闭不全,当时未予特殊治疗。现为求进一步诊治至桂林医学院附属医院门诊就诊。
入院后心脏彩超提示:EF:44%,Vmax=3.79m/s。主动脉瓣中度狭窄并重度关闭不全,左房、左室增大,左室节段性收缩活动异常,左室舒张功能减低。初步诊断:主动脉瓣中度狭窄并重度关闭不全。
术前评估:
三叶式主动脉瓣,中度钙化,钙化主要分布于瓣叶附着缘及对合缘,钙化分布不均,左冠窦相对较重,右窦和无窦瓣叶对合缘处存在增厚及钙化粘连;
双侧冠脉开口高度可,左冠切线角度测量瓣叶大于LCA开口下缘到根部距离;
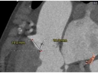
瓦氏窦内径尚可、窦管交界内径可、升主动脉内径可;
左室腔内径偏大、心室壁稍增厚,心尖部较薄,室壁瘤膨出不排除;
主动脉瓣环水平夹角68度,横位心,主动脉弓宽度、角度尚可,弓部存在散在钙化;
外周入路走行迂曲,左侧髂总存在67度锐利夹角,胸主和右侧髂总存在少量散在钙化,血管内径可,血管内壁存在钙化和不规则纤维增厚。
主动脉根部CTA:
根部概览
ANNULUS
SOV DIAMETER
LVOT
STJ
LEFT CORONARY
RIGHT CORONARY
LCA&LEAFLET
RCA&LEAFLET
2mm SUPRA ANNULUS
4mm SUPRA ANNULUS
6mm SUPRA ANNULUS
8mm SUPRA ANNULUS
10mm SUPRA ANNULUS
12mm SUPRA ANNULUS
HU850
虚拟瓣环与水平夹角
外周血管及主动脉弓解剖:
手术策略讨论:
术前考虑右侧股动脉为主入路,左侧为辅助入路。三叶式主动脉瓣,中度钙化,钙化主要分布于瓣叶附着缘及对合缘,钙化分布不均,瓣膜锚定难度适中,瓣膜植入受瓣叶及钙化挤压存在少量瓣周漏风险。双侧冠脉幵口高度可,左冠切线角度测量瓣叶大于LCA开口下缘到根部距离,结合瓦氏 窦及STJ尺寸预估,冠脉风险适中,建议术中密切灌注左冠灌注情况。水平夹角68度,横位心,主动脉弓宽度、角度尚可,弓部存在散在钙化;左室腔内径偏 大、心室壁稍增厚,心尖部较薄,室壁瘤膨出不排除,建议超硬导丝塑形大一点,注意 不要过度用力顶到心尖部位。外周入路走行迁曲,左侧髂总存在67度锐利夹角,胸主和右侧髂总存在少量散在钙化, 血管内径可,血管内壁存在钙化和不规则纤维增厚,入路穿刺规范操作,小心通过,避免入路血管损伤及相关并发症。为避免手术并发症,手术预装AV29瓣膜,根据23mm球囊预扩结果选择瓣膜型号,计划瓣环下零位幵始释放。
手术过程:
主动脉根部造影
23mm球囊预扩
AV29瓣膜定位
AV29瓣膜释放到工作位
AV29瓣膜回收调整后定位
AV29瓣膜再次释放到工作位
AV29瓣膜释放后造影,形态良好
术后血管造影,无血管损伤
本例手术为中度钙化三叶式病变中度主动脉瓣狭窄并重度关闭不全TAVR手术,外周入路走行迂曲,散在钙化,预估术中入路穿刺难度较大,存在入路血管损伤及相关并发症风险,术前手术团队对患者进行了全面细致的评估,确定假体瓣膜锚定区域范围,制定术前释放策略,入路穿刺规范操作,小心通过,避免了入路血管损伤及相关并发症。王海永主任团队通力配合、精准释放,充分利用TaurusElite可回收功能,在瓣膜释放至2/3时,多角度评估瓣膜植入深度、锚定力以及冠脉灌注情况,确认瓣膜植入深度合适、锚定力稳定,缓慢逐个脱钩,进行瓣膜释放,瓣膜释放后造影显示瓣膜膨胀良好,无明显瓣周漏,手术圆满完成。
专家简介
王海永
桂林医学院附属医院
外科教授,主任医师,学术带头人,医学博士。硕士研究生导师。2013年曾在德国卡尔斯鲁厄心脏中心进修学习。2015年到2016年,到美国耶鲁大学学习。主要开展先天性心脏病、瓣膜病、冠心病、大血管外科治疗。近年来独立实施胸腔镜下心脏手术,率先开展TAVI手术。曾获得省部级科技进步奖、市厅级科技成果奖多项。
杨仕垚
桂林医学院附属医院
硕士研究生,主治医师,熟练掌握心外科体外循环及重症监护技术,熟悉各种心外科常见手术。

