清华长庚心血管中心顺利完成精准评估Shockwave球囊钙化斑块碎裂术

介入治疗新阶段

近日,清华大学附属北京清华长庚医院在副院长、心血管中心主任张萍的指导下,由心内科特聘专家王伟民带领副主任医师薛亚军,主治医师韩治伟、张鸥等,通过冠脉内光学相干断层成像( OCT)与冠脉造影融合技术,精准评估并顺利完成冠状动脉血管内钙化碎裂系统(Shockwave IVL,以下简称“Shockwave冲击波球囊技术”)治疗冠脉严重钙化病变一例,成为全国率先开展此项技术的医院之一,同时标志着华长庚心血管中心钙化病变介入治疗进入新阶段。

图片

冠状动脉钙化随年龄增加而增加,由于钙化病变导致血管高阻力,且多伴有血管成角、扭曲等,对血管扩张的反应较差,增加了冠状动脉介入(PCI)的难度和风险,它也是支架血栓形成和再狭窄等不良结果的主要因素。针对冠脉钙化病变,现有的治疗方式均存在一定的局限性。Shockwave冲击波球囊技术则提供了新的治疗选择,可通过声压力波,选择性作用冠状动脉内膜及中膜下的钙化病灶,在不影响血管内膜完整性的情况下将钙化病变震裂,使血管恢复弹性,为后续药物支架的置入提供更理想的管腔,安全性较高,同时可以缩减手术时间,降低风险。

患者为一位65岁的男性冠心病患者,先期因急性心肌梗死行左回旋支介入治疗,此次造影显示,前降支近中段有重度狭窄伴有严重钙化及血管迂曲等,需要进一步介入干预。经讨论,心脏内科介入团队制订了细致的手术计划:首先通过OCT与冠脉造影融合技术,进一步准确评估冠脉钙化范围及深度,必要时采用Shockwave冲击波球囊技术方案,精确冲击冠状动脉内膜或中膜下钙化病灶后,再次使用OCT评估治疗效果并精准定位释放支架。

图片

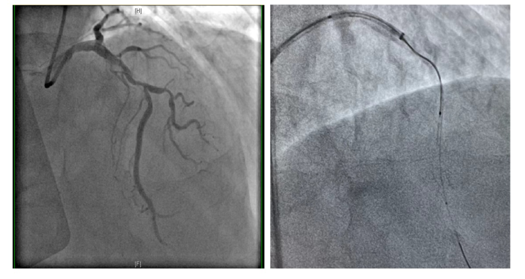
LAD造影提示近中段钙化严重(左)

导管支持下通过OCT导管(右)

图片

OCT-冠脉造影融合技术评价钙化病变并实时定位

经过充分的术前准备,6月21日,手术正式开始。术中,如术前预判,OCT检查提示患者前降支近中段多处偏心钙化及环形钙化,钙化厚度1.2mm以上,钙化严重导致多种介入器械难以通过,旋磨或激光等处理方法也难以实施,因此,在OCT及冠脉造影融合技术精准指导下,启动Shockwave冲击波球囊技术方案。

图片

导管支持下通过Shockwave球囊(左)

初始Shockwave不能完全膨胀(中)

冲击治疗后Shockwave球囊完全膨胀(右)

图片

Shockwave球囊冲击波治疗冠状动脉钙化病灶前后造影及支架植入术后造影

延长导管支持下,3.0mmx12mm Shockwave冲击波球囊精准定位于前降支近段钙化最重处,先后触发60次脉冲冲击波(6个周期),实施钙化斑块碎裂术,对治疗段进行低压球囊扩张成形,随后通过OCT及冠脉造影融合技术证实,部分钙化病变得到松解,但中段成角病变处OCT提示仍有严重偏心钙化斑块,再次进行了20次脉冲冲击波(2个周期)治疗后,随着shockwave球囊能量的逐步释放,再次复查OCT显示原钙化环断裂,深层钙化碎裂。经过充分的冲击波球囊预处理,顺利完成进一步介入治疗。用时约40分钟,在患者无明显不适的情况下顺利完成介入治疗。术后患者顺利转入病房,并计划于近日出院。

图片

Shockwave球囊冲击波治疗前后OCT成像对比

图片
术前OCT(左)Shockwave球囊冲击波后(中)支架植入术后OCT(右)

“北京清华长庚医院心血管中心冠脉介入治疗团队,针对冠脉严重钙化病变,根据冠脉钙化部位、范围、深度及病变程度,结合钙化积分,通过多种腔内影像学技术深入评估,采取专业的个体化治疗策略,为患者提供优质医疗守护。”张萍说。未来,清华长庚心内科将不断创新,以精准安全、优质高效作为团队宗旨,勇于担负守卫心血管健康的神圣使命。

图片

文章:心内科  薛亚军  韩治伟  张鸥

排版:宣传中心  于悦超

转自公众号:“清华大学附属北京清华长庚医院

阅读数: 605