2022年5月,梅州市人民医院顺利召开了申淇淇麟®经导管二尖瓣夹及可操控导引导管FMR(功能性二尖瓣反流)和DMR(退行性二尖瓣反流)两项上市前注册临床试验启动会,标志着由韩雅玲院士牵头的两项全国多中心研究正式在梅州市人民医院开启。近日,由梅州市人民医院钟志雄院长带领的结构心团队顺利完成了该注册临床试验在本院首例患者入组工作。
2022年6月中旬,经过术前充分的评估和准备,在云南省阜外心血管病医院潘湘斌教授团队的现场指导下,由钟志雄教授领导,心血管内科钟炜教授、黄常镜教授,超声科钟敏教授、张又红教授,运用全新一代经导管二尖瓣缘对缘修复系统 – 申淇淇麟®系统,为一位高龄退行性二尖瓣反流患者成功实施了股静脉途径经导管二尖瓣介入修复术。团队配合密切,手术过程顺利,获得成功,标志着申淇淇麟®全国多中心DMR注册临床试验在梅州市人民医院正式启动入组。
患者基本信息:
入组患者为71岁男性,既往有短暂性脑缺血发作,高血压,二尖瓣后叶脱垂,重度二尖瓣关闭不全等病史。此次主诉“于22月余前无明显诱因开始出现头晕不适”入院。
术前经胸超声显示:左心增大,右心房增大,二尖瓣反流(重度),主动脉瓣退行性变合并主动脉瓣反流(轻度),三尖瓣反流(中度),肺动脉高压(轻度)。少量心包积液,心律失常,EF 64.2%;
经食道超声显示(术前):二尖瓣前叶长度32mm,后叶长度19mm,脱垂高度10mm,脱垂宽度为11mm,VC3.2mm, MVA 4.0cm²。
诊断:二尖瓣重度关闭不全,考虑DMR。
患者经心脏团队综合评估为外科手术高危,STS评分为9.5%。经云南省阜外心血管病医院潘湘斌教授团队,钟志雄院长团队会诊后决定采用申淇淇麟®经导管二尖瓣夹及可操控导引导管,在心脏超声指导下施行经皮二尖瓣钳夹术。
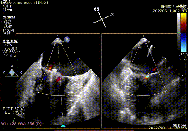
术前TEE显示二尖瓣重度反流,反流位置位于A2/P2区
手术于全麻下进行,采用经典股静脉房间隔途径,房间隔穿刺后置入24F导引导管及二尖瓣夹输送系统,在TEE引导下准确植入一枚二尖瓣夹至A2/P2区,瓣膜夹位置稳定,植入后反流下降至1+,二尖瓣跨瓣平均压力阶差1mmHg,双孔化形成,遂移除器械输送系统。超声心动图评估瓣膜夹位置和功能良好,瓣膜夹活动度低,手术顺利完成。
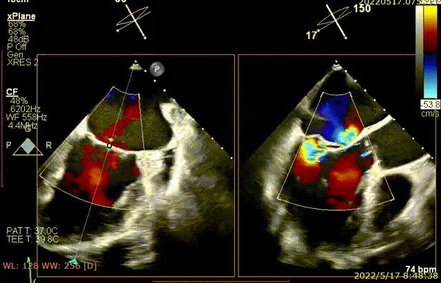
术后TEE显示,二尖瓣夹植入后反流减少
二尖瓣病变是发病率最高、介入治疗难度最大的瓣膜疾病。据不完全统计,我国二尖瓣病变潜在患者人数逾千万,治疗缺口极大。同时,由DMR及FMR二尖瓣关闭不全构成的复杂二尖瓣反流疾病谱,也大大增加了该类瓣膜病变治疗难度。介入二尖瓣诊疗器械的研发已成为全球心血管介入诊疗领域的热点及难点,而目前唯一成熟的介入二尖瓣技术便是经股静脉途径经导管二尖瓣缘对缘修复(TEER),以雅培的MitraClip™系列产品为代表,其已被FDA、CE和NMPA批准用于包括DMR及FMR的全二尖瓣反流疾病谱病变,临床技术体系已然成熟。
申淇淇麟®经导管二尖瓣夹及可操控导引导管是由上海申淇医疗科技有限公司研发的具有完全自主知识产权的经股静脉瓣膜介入修复系统,该产品已于2021年9月通过《创新医疗器械特别审查程序》,进入国家药监局创新产品"绿色通道"。该系统的核心技术参数对标国际最新一代经导管缘对缘修复系统,其输送系统具备在三个方向稳定调弯,并且拥有多型号力学优化的二尖瓣夹设计及瓣叶独立捕获能力。希望该系统的问世为我国广大的二尖瓣反流患者提供了更多新的治疗选择。
专家简介
钟志雄
梅州市人民医院
梅州市人民医院院长、心血管病中心主任、心血管病研究所所长、主任医师、博士生导师、硕士生导师、享受国务院特殊津贴专家、广东省医学领军人才、梅州市专业技术拔尖人才。梅州市心血管病介入诊断和治疗创始人,国家临床重点专科建设项目--梅州市人民医院心血管内科的奠基人、领路人,在医疗、教学、科研方面取得突出成就,获得全国先进工作者、全国卫生计生系统先进工作者、广东医师奖、广东医院优秀院长等荣誉。
技术专长:擅长冠心病、大血管、结构性心脏病、心脏起搏的介入诊疗以及心脏重症的抢救治疗。
钟炜
梅州市人民医院
副主任医师、科教科科长、技能培训中心主任、心脏瓣膜病中心主任、硕士研究生导师、国家冠心病介入培训导师。
技术专长:擅长冠心病、结构性心脏病(先心病和瓣膜病)的介入诊疗以及心脏重症的抢救治疗。

