近日,重庆市人民医院陈灏主任团队应用TaurusElite系统成功为一例患者完成经导管主动脉瓣置换(TAVR)手术,该病例极具挑战,患者R-L融合,瓣叶增厚,重度反流,横位心,升主轻微扩张,左、右冠瓣叶长度>瓣叶附着缘到冠脉开口距离,左室内径偏大,患有房颤等特点加大了手术难度,对术者及假体瓣膜有着较高的要求,术中使用TaurusElite可回收瓣膜优异的径向支撑力协助术者顺利完成手术,术后即刻患者血流动力学得到了显著改善,为患者带来更长久生存期受益和更高生活质量。
术前评估:
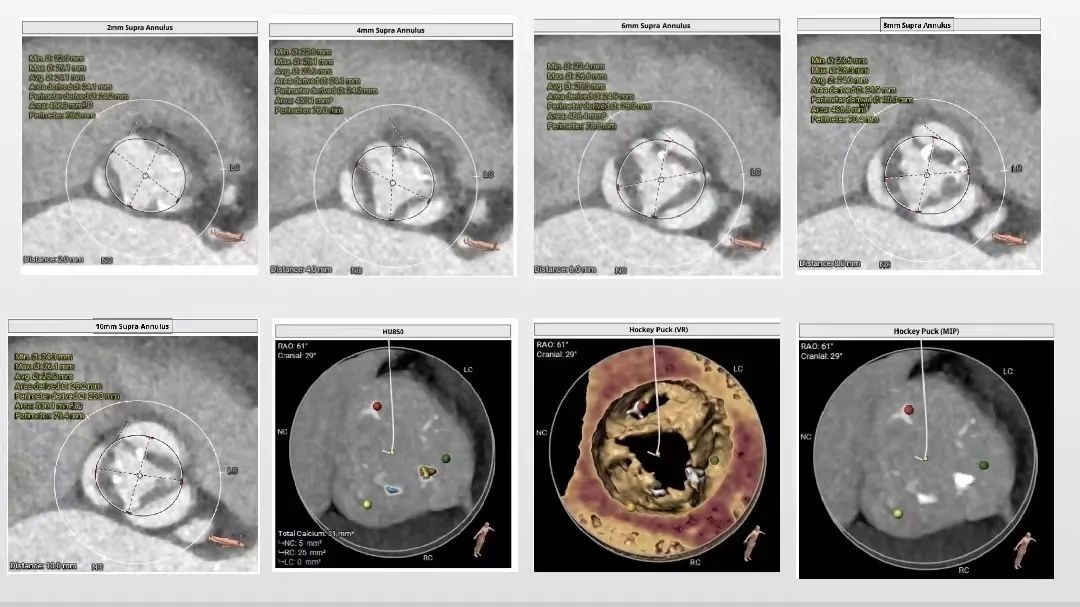
1. 主动脉瓣瓣环周长78.6mm,平均周长径25mm;
2. 功能型型二叶式主动脉瓣,R-L纤维融合嵴,瓣叶增厚,左室流出道开口呈直筒状;
3. 左右冠开口高度可,瓣叶冗长,左、右冠瓣叶长度>瓣叶附着缘到冠脉开口距离;
4. 瓦式窦内径、窦管交界内径可,升主动脉轻微扩张;
5. 主动脉瓣环与水平夹角62°,横位心,主动脉弓距及弓部夹角尚可;
6. 双侧股髂动脉无明显钙化迂曲、官腔内径可,整体入路直径良好。
病例特点:
该病人为一例功能型二叶式主动脉瓣重度狭窄重度反流患者,横位心,结合瓣叶增厚及钙化情况,人工瓣膜定位及锚定难度大;
1.功能型二叶式主动脉瓣,L-R存在粘连融合,轻度钙化,瓣叶增厚增长,综合预估存在人工瓣膜形变、瓣 环撕裂及根部损伤风险;并且受瓣口限制及瓣叶钙化影响人工瓣膜移位风险较高、瓣膜锚定难度较大, 存在瓣周漏及瓣中瓣风险;
2.冠脉开口高度可,左右冠窦瓣叶长度>瓣叶附着缘到冠脉开口距离,结合瓦氏窦、STJ内径及钙化粘连情 况综合预估左侧冠脉堵塞风险偏高,术中关注冠脉血流灌注;
3.横位心,预计输送系统可顺利过弓、跨瓣,升主动脉稍有增宽,必要时Snare辅助;
4.左室腔内径偏大,术中密切关注血流动力学变化,警惕循环崩溃风险;
5.双侧股髂动脉无明显钙化迂曲,管腔内径可,整体血管入路直径良好,穿刺入路时小心谨慎,避免发生 外周血管相关并发症。
主动脉根部评估:
瓣环上解剖结构评估:
外周血管及主动脉弓解剖:
手术策略讨论:
1.推荐右侧股动脉为主入路,左侧为辅助入路;
2.根据当前影像及测量数值,推荐 LAO 30° CRA 10°(右窦中心位)左右跨瓣;
3.可考虑不预扩,若预扩推荐23mm球囊预扩,预扩角度为 LAO 37° CRA 20° 左右 (左冠切线位),关注冠脉灌注;
4.预装AV29瓣膜,推荐瓣环下0-2mm定位释放,释放角度 LAO 11° CAU 20° (左右重合位)左右,建议释放至工作位(瓣膜2/3高度)后,调整至LAO 37° CRA 20°左右进一步确定冠脉冠灌注及人工瓣膜展开形态。释放后可再次多角度进一步评估瓣膜形态;建议充分利用瓣膜系统部分及完全可回收功能,确认瓣膜基本稳定及瓣周漏效果后再完全释放;
5.上述角度仅供参考,因体位及心动周期等原因,术中实际角度会存在偏差,具体情况由手术医师根据术中实际进行选择;
6.瓣膜植入成功后,建议常规造影评估入路血管情况,避免遗漏血管并发症情况。
手术过程概览:
主动脉根部造影
检查挂角
导丝跨瓣
测术前压差
AV29瓣膜定位
释放下滑回收
位置偏高回收
轻微瓣周漏
释放后无瓣周漏,微量反流
术后即刻评估:
术后平均压差在10mmHg左右,从重度反流变为微量反流,瓣膜正常工作。
手术难点及心得:
瓣叶增厚、轻度钙化、横位心、重度反流,加大了手术难度,瓣膜锚定力差易下滑,锚定范围在瓣上2mm-3mm,低了容易下滑,高了容易上跳,需要团队密切配合精准定位释放。
专家简介
陈灏
重庆市人民医院
主任医师、教授、心血管外科主任
重庆市学术技术带头人(心血管外科)、重庆市中青年高端医学人才;获2017重庆市首届“最美医务工作者”提名、2019“重庆好医生”等荣誉称号。先后毕业于四川大学华西医学中心和重庆医科大学,从事心血管外科临床工作23年,曾赴北京阜外心血管病医院、德国卡尔斯鲁厄心脏外科医院、美国康奈尔大学威尔医学中心和克利夫兰诊所学习、访问、交流。中国研究型医院学会心脏瓣膜学专业委员会委员、国家微创心血管外科专委会委员、重庆市中西医结合学会心血管内外科联合专委会副主任委员、重庆市医学会心胸外科专委会委员、重庆市医师协会心血管外科专委会委委员、重庆市医学会微创外科专委会微创心血管外科学组副组长、国际微创心胸外科协会会员、中华医学会胸心血管外科学分会全国青年委员会第七、八届委员。
